栏目分类
新闻中心
科普:不明原因偏头痛,也许是一场“心病”,让右心声学造影帮忙按迹循踪
来源: 发布时间:2023/6/12 作者:诸建梅 阅读数:6186
偏头痛不是病,疼起来要人命?经常性的反复发作非常影响日常生活及工作,严重的时候只能卧床休息。为了治好这个恼人的偏头痛,很多人已经对自己的脑袋和神经系统做了“地毯式检查”,但仍然一无所获。这时不妨让右心声学造影检查帮您寻找病因。
什么是偏头痛?
偏头痛是一种很常见的慢性神经血管性疾患,以反复发作的搏动性头痛为主要特点,是世界第三大常见疾病,世界卫生组织将它列为第七位致残性疾病。全球范围内受其困扰的男女比例为6%和18%,女性年患病率为3.3%~32.6%,男性年患病率为0.7%~ 16.1%,所以说差不多每10个人里面就有1个偏头痛患者,并且有遗传倾向,60%的偏头痛患者都有家族性。可见,饱受偏头痛困扰的人不在少数,还可能代代相传。在起初,由于某些原因头疼症状较轻,往往得不到重视,随着时间的流逝,症状加重了,再去想方法就比较晚了。因此,大家一定要重视偏头痛的防治。
偏头痛典型特点:
偏头痛分类:
那头痛又与右心有什么关系,为何要做右心声学造影检查呢?
俗话说,头痛医头,脚痛医脚,但是现在这种观念要更新了。因为有很多头痛的人,做了相关的头部CT、MR及实验室检查后,都没有找到明确病因。其根源不在头上而是在“心里”,这类人的偏头痛其实很可能是由于心脏里多了一个小洞造成的,此洞称之——卵圆孔未闭(PFO)。而“右心声学造影”检查能够快速辨别,是否因为心脏问题造成的顽固性头痛。当然,这项检查还适用查找不明原因的隐匿性脑梗、短暂性脑缺血发作晕厥、无高危因素的缺血性脑卒中、肺血管病、房间隔缺损等疾病的病因。
什么是卵圆孔未闭?
对于普通人来讲,是个很陌生的话题,但其导致的后果,如偏头痛、脑卒中,却是常见疾病。胎儿出生后,卵圆孔就发生功能性闭合,1年内达到解剖上的闭合。幼儿大于3岁时卵圆孔仍未闭合,称卵圆孔未闭(PFO)。PFO在人群中的发生率约为25%,是最常见的心脏解剖结构异常。当各种原因(如剧烈运动、咳嗽、潜水等)使患者右心房压力升高,当超过左心房时,卵圆孔未闭通道可出现右向左的异常分流。静脉血(含氧量低)混入动脉血、反常栓塞等原因可引起脑卒中、偏头痛、减压病、斜卧呼吸-直立性低氧血症等血管临床综合征。患者可能出现头痛、头晕、呼吸困难或肢体无力等临床表现。
有研究显示,在偏头痛患者中卵圆孔未闭的检出率是增高的,尤其是有先兆偏头痛患者,卵圆孔未闭检出率是健康人群的3倍。
偏头痛一定程度上增加了缺血性卒中特别是青年卒中的发生风险,而卵圆孔未闭在偏头痛性脑梗死的发生机制中起了重要作用。
右心声学造影检查怎么做?
听到“造影”,很多人就已经开始害怕,这是不是一个“手术式”的检查?事实上,右心声学造影是一种无创、无辐射,是简便经济的造影技术。
检查时,就像静脉输液一样,经外周静脉注入造影剂(振荡无菌生理盐水),联合超声心动图检查,就可以了解到右心系统的解剖和血流情况,帮助判断病因。而且右心声学造影检查时间短,患者在较舒适的状态下就能完成检查。目前我院超声科已成熟开展此项技术。
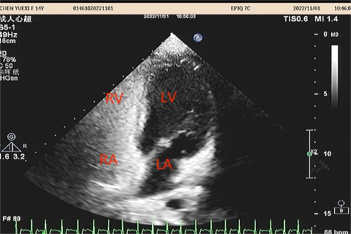
图1:正常情况下左心房压力比右心房压力高3-5mmHg,卵圆孔处于关闭状态,不出现心房间血液分流,如上图所示。
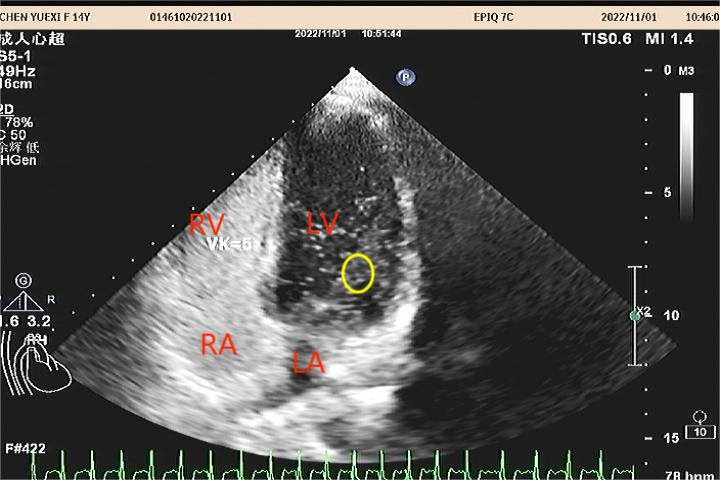
图2:在某些情况下如咳嗽、大笑、打喷嚏、“Valsalva动作”时,出现一过性的右房压力升高、超过左房压,导致左侧薄弱的原发隔被推开,出现右向左分流,如上图,黄色圈内为由右心分流至左心的微气泡。
如果您有以下这几项情况,建议做“右心声学造影”检查:
高兴
副主任医师
超声医学科副主任
社会学术任职:河源市医学会超声分会副主任委员;广东省基层医药学会超声诊疗专业委员会常委;广东省健康管理会超声医学专业委员会委员。
从事超声诊断工作20年来,在心血管、妇科疑难病例、产科复杂胎儿畸形、超声造影诊断方面有较丰富的经验。能熟练行经食管超声心动图、右心声学造影检查;主持及参与多项市级科研立项,发表论文多篇。
出诊时间:周一至周五全天
殷旭辉
医师
中共党员。2017年毕业于广东医科大学医学影像专业,参加工作5年余;于2022年至广东省人民医院进修成人心脏超声;能熟练行经食管超声心动图、右心声学造影检查;于2022年评为优秀进修生。
出诊时间:周一至周五全天









