栏目分类
新闻中心
【省医在河源,名医在身边】呼吸与危重症医学科罗少华:开展河源市首例超声支气管镜纵隔淋巴结穿刺活检术
来源: 发布时间:2023/6/13 作者: 阅读数:5510
近期,在省医派驻学科带头人罗少华主任带领下,我院呼吸与危重症医学科成功在河源地区开展首例超声支气管镜引导下经支气管针吸活检术(EBUS-TBNA),填补了我市此项技术的空白。
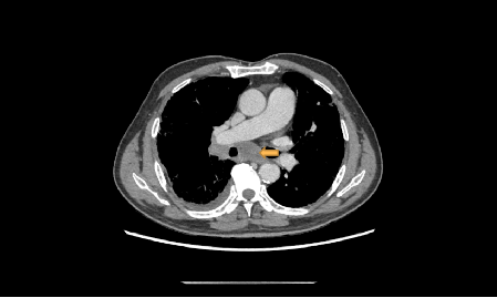
一名70岁的男性患者因“反复咳嗽、咳痰3年,加重2月余”到我院就诊,胸部增强CT提示双肺间质性肺炎、右肺下叶肺癌并纵隔淋巴结转移。
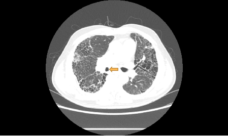
右主支气管狭窄,肺间质纤维化(黄色箭头为隆突下淋巴结肿大)
黄色箭头为隆突下淋巴结肿大
图二:罗少华主任(左二)及呼吸内镜介入团队在手术中
图三:支气管镜下实时显示的超声图像(黄色箭头所示为穿刺针)
结合患者病史、胸部增强CT和支气管镜结果,罗少华主任指出:患者反复呼吸困难,是间质性肺炎导致肺功能下降所致;咳嗽、咳痰情况加重与右肺占位及纵隔淋巴结转移有关,因此,及早取得病变组织进行病理检查是进行下一步治疗的关键。经呼吸内科团队讨论及充分准备后,在麻醉科的协助下,决定行超声支气管镜引导下经支气管针吸活检术,整个检测过程患者只有少量出血,送检病理结果为鳞状细胞癌,为下一步治疗指明了方向。
什么是超声支气管镜引导下经支气管针吸活检术(EBUS-TBNA),它的优点是什么?
罗主任介绍,近年来,随着胸部CT在临床上的普及,肺结节发现率明显增加,位于中央气道腔内的病变,常规支气管镜较易获取组织。然而,一些位于气管或支气管外的病变是常规支气管镜检查的“盲区”,如何精准、高效、安全明确诊断极为重要。CT引导下经皮肺穿刺活检,出现并发症如气胸 、出血的风险较高;开胸及纵隔镜检查手术风险高,患者需承受手术痛苦。而支气管内超声 (EBUS) 可作为常规支气管镜的延伸,它提供实时成像,使医生能够轻松查看难以到达的区域,并使用穿刺针进入更多、更小的淋巴结进行活检,同时,EBUS-TBNA还能帮助医生通过超声定位支气管腔外病变的具体位置,并避开血管,降低现有技术的风险和创伤。EBUS-TBNA可重复,且能够获取足量组织用于分子检测,可以更好地指导肺癌等分子靶向个体化治疗。肺癌的准确诊断和分期对于预后和治疗决策至关重要,而EBUS-TBNA正是呼吸科医生手中的“秘密武器”。
此次治疗的患者虽然在电子支气管镜检查及胸部CT均已明确肺占位性改变,但由于支气管内未见异常组织增生及浸润,无法取得病理组织,而超声引导下淋巴结穿刺活检,避开血管,精确定位异常淋巴结组织,因此能够减少出血的风险。
我院呼吸与危重症医学科诊治疾病不仅覆盖常见病、多发病,而且兼顾少见或罕见病,以呼吸内镜介入技术为重要诊治手段,不断开拓、进取,服务于更多有需要的患者。超声支气管镜引导下经支气管针吸活检术(EBUS-TBNA),为支气管内无异常伴纵隔淋巴结肿大患者治疗提供了新的治疗方法和手段,填补了河源地区该医疗技术领域的空白,为河源及周边地区患者提供了便利。此例EBUS-TBNA技术在我院的成功开展,标志着呼吸内科支气管内镜诊断技术提升了一个新的台阶!
罗少华
广东省人民医院河源医院呼吸与危重症医学科学科带头人
主任医师、硕士研究生、在读博士
社会任职
• 省基层医药学会呼吸病专委会常委兼秘书
• 省基层医药学会肺癌专委会常委
• 省临床医师协会肺血管及介入专委会常委
• 省精准医学应用学会肿瘤综合治疗分会常委
• 省精准医学应用学会抗感染分会委员
• 中国呼吸肿瘤协作组南区(泛大湾区呼吸肿瘤联盟)委员
• 民进广东省委会社会服务工作委员会副主任委员
• 第六届“羊城好医生”
长期从事呼吸内科方面的诊疗工作。对于肺部阴影、肺部结节、淋巴结肿大等征象,具有敏锐的鉴别能力,熟练掌握呼吸科常见疾病(如哮喘、慢阻肺、支扩、肺部肿瘤、胸腔积液、气胸、间质性肺病等)的诊治,对少见/罕见病也有着丰富的临床诊疗经验,擅长以呼吸内镜介入为主的多种技能及肺部肿瘤的全程综合管理(如气道支架置入、球囊扩张、活瓣肺减容、冷冻肺活检、热凝切、EBUS-TBNA、气道瘘封堵、硬质气管镜、内科胸腔镜、经皮肺穿刺活检术、输液港植入术等)。主持或者参与国家级或省级医学研究课题多项,发表论文十余篇。
门诊时间:每周二上午及周四上午。






