栏目分类
新闻中心
我院首例!妇科接诊一例罕见的子宫肌瘤破裂患者
来源: 发布时间:2023/7/4 作者:曾秋兰 李克红 阅读数:8001
近日,我院妇科从急诊科接诊一例腹腔内大出血患者,经绿色通道急诊手术,术中考虑为罕见的子宫肌瘤破裂出血,术后病理结果确诊为子宫平滑肌瘤坏死、出血、粘液样变及玻璃样变。
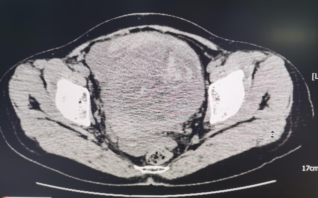
患者为40岁女性,平时没有体检的良好习惯,近日因“下腹痛6小时,晕厥2次”由外院转入我院急诊科,外院妇科超声提示患者有一巨大的子宫肌瘤,我院急诊盆腔CT提示患者存在大量腹腔内出血及子宫占位性病变破裂出血的可能。妇产科住院总李燕辉主治医师和妇科当班医生曾秋兰主治医师接诊后对患者进行了腹腔内穿刺,抽出不凝血证实了患者的腹腔内出血,初步考虑引起出血的原因是常见的卵巢黄体破裂或异位妊娠破裂,其他问题也还有待排查。情况刻不容缓,急诊科团队马上与患者及其家属谈话经绿色通道手术探查,并立即汇报妇产科学科带头人胡洁媚和妇产科主任李克红进行急诊手术。
术前盆腔CT截图
术中发现这名患者并非是因为常见问题导致的腹腔内出血,而是罕见的子宫肌瘤破裂出血。子宫肌壁间突出于浆膜层的肌瘤大小约10x9cm,肌瘤左侧壁见一破裂口大小约2x2cm,见较多的新鲜活动性出血。术中与患者家属再次谈话后决定行子宫肌瘤切除术,术后患者恢复良好,病理结果为:子宫平滑肌瘤坏死、出血、粘液样变及玻璃样变。
切除的子宫肌瘤
子宫肌瘤为妇科常见的一种疾病,但肌瘤破裂却是非常罕见的,近年来国内外偶有相关病例报告,在发达中国家子宫破裂的发病率占0.4%~0.1%,在发展中国家,子宫破裂的发病率占0.1%~0.55%。我院为第一例。
术后病理结果
子宫肌瘤患者均可能发生变性,肌瘤变性是指肌瘤失去原有的典型结构,非妊娠期子宫肌瘤最常见的变性为玻璃样变,又称为透明样变,肌瘤剖面漩涡状结构消失,由均匀透明样物质取代。镜下见病变区肌细胞消失,为均匀透明无结构区。
肌瘤变性导致子宫破裂实属少见,但发现子宫肌瘤并不难,平时按时体检妇科超声均可发现,提前干预可防止肌瘤变性减少对人体产生不必要的伤害。
科普小知识:什么是子宫肌瘤变性?
1.玻璃样变:为最常见变性,肌瘤剖面漩涡状结构消失,由均匀透明样物质取代。镜下见病变区肌细胞消失,为均匀透明无结构区。
2.囊性变:是玻璃样变的继续发展,肌细胞坏死液化即可发生囊性变,出现大小不等的囊腔,也有可能出现数个囊腔融合为一个大囊腔,腔内为无色液体或胶冻状物。此时子宫肌瘤就会变软。
3.红色变性:多见于妊娠期或产褥期,是一种特殊类型坏死。患者可有剧烈腹痛伴恶心、呕吐、发热,白细胞计数升高,检查发现肌瘤增大、压痛。肌瘤剖面为暗红色,如半熟的牛肉,质软,漩涡状结构消失。
4.肉瘤样变:发生几率仅为0.4%~0.8% ,多见于绝经后子宫肌瘤伴疼痛和出血的患者。肌瘤恶变后,组织变软且脆,切面灰黄色。镜下见平滑肌细胞增生活跃,排列紊乱,漩涡状结构消失,核分裂像易见(>10个/ 10HPF),并可出现肿瘤细胞凝固性坏死。
5.钙化:多见于蒂部细小、血供不足的浆膜下肌瘤以及绝经后妇女的肌瘤。x线摄片可清楚看到钙化阴影。镜下可见钙化区为层状沉积,呈圆形,有深蓝色微细颗粒。
妇科专家团队介绍
胡洁媚
广东省人民医院妇科副主任医师、医学硕士
广东省人民医院河源医院妇产科学科带头人
第一届广东省女性整体健康促进专业委员会副主委;广东省医师协会第二届妇科内镜分会常委;第十二、十三届广东省医学会盆底组委员;第三届广东省泌尿生殖协会盆底分会常委。
在广东省人民医院妇产科工作22年,熟练掌握妇科良恶性疾病诊疗(子宫阴道脱垂、压力性尿失禁、子宫肿瘤、子宫肌瘤、女性不孕症、围绝经期综合征、阴道松弛症、卵巢良性肿瘤、宫颈疾病、子宫内膜病变、肿瘤化学治疗及综合治疗等疾病),致力妇科微创手术(宫腔镜、腹腔镜、单孔腹腔镜)及盆底功能障碍性疾病综合治疗(全盆重建术、半盆重建术、TVT-O术、骶棘韧带固定术、高位骶韧带悬吊术、盆底磁电联合及激光康复治疗)。
门诊时间:每周二全天
李克红
主任医师、医学硕士
广东省人民医院河源医院妇产科主任
广东省基层医药学会妇科专业委员会副主任委员;广东省预防医学会宫颈癌防治委员会常务委员;广东省基层医药学会妇科肿瘤专业委员会常务委员;广东省医学会妇产科学分会第十二届、第十三届委员;广东省医学会妇产科学分会第十三届委员会内异症学组组员;广东省医学会妇科肿瘤学分会委员;广东省肿瘤性疾病医疗质量控制中心卵巢癌专家委员会委员;广东省医疗行业协会妇产科管理分会委员;河源市医学会妇产科分会副主任委员。
从事妇产科临床、教学及科研工作近20年,主要研究方向是妇科肿瘤、妇科微创、妇科内分泌等疾病的规范化诊治,擅长妇科微创手术及妇科良恶性肿瘤的手术治疗等。曾进修学习妇科肿瘤、妇科内镜等。熟练掌握妇产科各种常见病及多发病的诊治,对于妇产科疑难病例及急危重症的处理具有丰富经验。曾主持及参与市级科技课题8项,在省级、国家级专业期刊发表论文三十余篇。
门诊时间:每周一、周四全天
曾秋兰
主治医师、医学学士
从事妇产科临床、教学及科研工作10余年,曾获得院级教学查房及技能操作指导一等奖。主要研究方向是妇科内分泌、宫内疾病的规范化诊治,擅长妇科月经病、异常子宫出血、宫内疾病等诊治。曾在广东省妇幼保健院进修学习妇科内镜、妇科内分泌、不孕不育诊治等,多次参加中山大学附属医院组织的宫内疾病诊治培训班。熟练掌握妇产科常见病的诊治。
门诊时间:每周四及周六全天
李燕辉
主治医师、医学学士
2012年毕业于江西省赣南医学院,主要领域:熟练掌握妇产科各种常见病及多发病的诊治,对于妇产科疑难病例及危急重症的处理具有丰富经验。擅长妇科腔镜手术,如腹腔镜全子宫切除术,腹腔镜下子宫肌瘤剔除术、腹腔镜卵巢囊肿剥除术、腹腔镜子宫内膜异位症手术、腹腔镜不孕不育诊治、宫腔镜下子宫内膜病变诊治等手术,参与省级科研项目两项及多项市级科研项目。
门诊时间:每周三全天








