栏目分类
新闻中心
【科普】肺原位癌到底是什么
来源: 发布时间:2023/8/2 作者:彭勇 阅读数:10766
随着现代人对健康体检的重视,CT检查发现肺磨玻璃结节的患者相比以前是明显增多了,部分结节需要手术,而术后诊断为肺原位腺癌的病例也不少,以年轻女性居多。
那么,到底什么是原位腺癌?严重吗?它和浸润性肺癌又有什么不同?需要怎样的科学治疗和随诊?带着这些常见的问题,我院胸外科张广云主任进行了相关专业知识的解答,希望让普通大众对肺原位癌有一个系统的认识。
问:什么是肺原位癌?
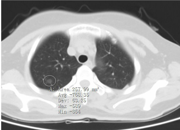
答:通俗的说,肺原位癌指的是发生在支气管或肺上皮层,并且没有突破基底膜的癌。肺原位癌一般肿瘤较小,大小基本上都在1cm以内,胸部CT上多提示为纯磨玻璃结节或混合磨玻璃结节。在临床肿瘤分期中,肺原位癌为0期,属于极早期癌。这类肿瘤细胞生长缓慢,贴壁生长。部分人随访数年,结节并没有明显增大,部分人结节在数年后才加速增长。所以,肺原位癌不用担心短期内出现快速生长,甚至转移到其他地方。
肺原位癌常见CT表现
问:既然肺原位癌生长极为缓慢,那可以不需要手术干预吗?
答:在2021年诊疗指南中,WHO将肺原位癌归入腺体前驱病变,相当于癌前病变,不再属于肺腺癌中的一类。原位癌生长极为缓慢,大部分保持稳定10年以上。虽然切除后不会复发,不影响生存期。但是,由于CT影像判断只是经验判断,并不是金标准,会有误判的可能。CT影像上的肺结节是不是原位癌一定是要切下来的病理结果才能最终确诊。医生在临床工作中影像判断是原位癌,手术切下来是微浸润甚至有胸膜侵犯的例子时有发生。因此,碰到此类情况,仍需及时就诊,让专科医生来判断结节的风险以及是否需要手术干预。
问:肺原位癌应该如何科学治疗?可以治愈吗?
答:如果结节有较多高危特征,与胸膜关系紧密,有较高进一步累及胸膜的风险,或者结节在随访过程中有增大表现。此类情况,即使考虑原位癌,仍建议直接胸腔镜手术切除。手术只需要在腔镜下肺段切除或楔行切除术就可以,可以最大程度地保留肺组织。肺原位癌切除后即达到治愈效果,不会复发,不需要术后辅助治疗,5年生存率接近100%,切除后就和正常人一样。可以说只是做了个“前驱病变切除”的手术,术后再也不必将自己当作肺癌患者。
问:为什么肺原位癌术后不用担心复发转移?
答:因为肺原位癌的肿瘤细胞没有突破基底膜,肿瘤细胞很难侵犯到血管而发生转移,在切除后不会有残存的肿瘤细胞。所以,肺原位癌的术后预后都是非常好的,通过手术切除可以达到治愈的效果。
问:既然肺原位癌手术可以治愈,为什么还要定期复查?
答:不少患者的肺结节并不是单独一个的,而是存在着多发磨玻璃结节,结节有大有小。当较大的结节切除后,小结节都有可能逐渐增大。其实,这种情况并不是表示发生了肺内转移,而是多点的原位癌。也就是表示,这些癌结节都是原发的,独立存在的。肺原位腺癌术后随访定期复查,就是为了尽早发现是否会有新的癌结节出现。
以上就是有关肺原位癌的相关知识的科普问答。总结起来就是:肺原位癌不会复发转移,手术是可以根治的。
专家简介
张广云
胸外科和乳腺外科主任、主任医师
毕业于中山医科大学临床医学专业,广东省医师协会胸外科分会常委,广东省基层医药协会健康管理专业委员会委员,广东省医学会肺部肿瘤学分会委员,广东省医学教育学会肺肿瘤中西医康复治疗专委会常委,广东省基层医药学会乳腺癌专业委员会常委,广东省健康管理学会乳房重建再造及美学专业委员会常委,河源市医学会乳腺病分会主委,河源市医学会肿瘤学分会常委,河源民主促进会第四支部主委。曾在中山大学肿瘤医院胸外科进修一年,广东省人民医院心研所进修心外科半年。擅长胸腔镜下纵隔肿瘤、肺癌、肺结节、漏斗胸、手足多汗症微创手术、食物癌手术及乳腺癌手术为主的综合治疗。
门诊时间:每周一全天
邬艺忠
副主任医师
广东省医师协会乳腺专科分会委员,广东省医师协会胸外科分会委员,广东省医学教育协会肺肿瘤中西医康复治疗专业委员会委员,河源市医学会乳腺病分会委员;2008年到高州市人民医院进修心脏外科专业,2018年—2019年到广州医科大学附属第一医院胸外科进修1年;从事胸外乳腺外科临床工作10余年,临床经验丰富,擅长胸腔镜下纵隔肿瘤、肺癌、肺结节、漏斗胸、手足多汗症微创手术治疗,以及胸外伤等抢救治疗。
门诊时间:请在河源市人民医院官网或官方微信公众号上提前查询
江振强
副主任医师
毕业于广东医科大学,全日制本科临床医学专业,在职研究生学历,胸外科、乳腺外科临床工作10余年,胸心外科副主任医师,广东省医师学会肿瘤外科分会委员,广东省医学教育学会肺肿瘤中西医康复治疗专委会委员,广东省医疗行业学会乳腺分会委员,广东省医学会乳腺分会委员。2019年在广州医科大学附属第一医院胸外科进修一年,擅长肺部肿瘤、肺小结节、纵膈肿瘤、食管肿瘤、手汗症、自发性气胸、乳腺癌、乳腺良性肿瘤等疾病的微创治疗,在国内期刊发表论文10余篇。
门诊时间:请在河源市人民医院官网或官方微信公众号上提前查询





