栏目分类
新闻中心
河源首例!超声支气管镜引导下的经支气管细针穿刺活检术助力确诊肺结节病
来源: 发布时间:2023/9/8 作者:张雯 阅读数:5478
近期,我院呼吸与危重症医学科收治一例体检发现胸部淋巴结增大的患者,以超声支气管镜引导下经支气管针吸(EBUS-TBNA)淋巴结活检,病理提示非干酪样坏死,排除其他疾病后,确诊为结节病,让患者及家属的担忧消失,这也是河源地区首例通过EBUS-TBNA纵隔淋巴结活检确诊的肺结节病。
黄色箭头为肿大的纵隔淋巴结及穿刺部位
患者为54岁女性,既往生活作息规律,1年前我院体检发现淋巴结肿大,近期有间断咳嗽,后到我科门诊复诊,胸部增强CT显示纵隔及双侧肺门淋巴结多发肿大。结合患者病史、胸部增强CT,我科省医派驻学科带头人罗少华主任查房后指出:患者中年女性,慢性病程,轻度咳嗽,纵隔及肺门对称性淋巴结肿大,综合考虑肺结节病可能性大,但要排除淋巴瘤、肺结核、肺癌等容易混淆的疾病,为了明确诊断,可行EBUS-TBNA,直接、全面了解肿大淋巴结性质,同时,完善肿瘤标志物、风湿免疫、肺结核等相关检查;其咳嗽要注意结节病的气道累及,患者部分气管、支气管管壁充血及散在黄白色小结节。
EBUS-TBNA
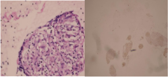
罗少华主任带领呼吸内镜介入团队,为患者行超声支气管镜引导纵隔淋巴结活检,获得满意组织标本,病理提示为:多个肉芽肿结节,边界清,无明显坏死,抗酸染色(-),倾向结节病。
本例患者及家属在淋巴结活检前,对于恶性疾病的忧虑未曾停止,在病理诊断明确以后,终于如释重负。患者肺实质未累及,肺结节病分期属于I期,大约有55%-90%可自行缓解,暂无激素使用指征,故予对症治疗,咳嗽减轻,嘱规律随访。
罗少华主任指出:超声支气管镜引导下经支气管针吸活检术(EBUS-TBNA),为胸部恶性肿瘤的诊断及分期提供重要依据,另外,对不常见的纵隔良性病变,也能发挥关键作用,是呼吸科医生手中的诊断利器。我院呼吸与危重症医学科诊治疾病覆盖常见病、多发病,兼顾少见或罕见病,以呼吸内镜介入技术为重点发展方向,不断开拓进取,服务于更多有需要的患者。
病理科提示组织改变为肉芽肿改变
倾向结节病
结节病
结节病,是一种病因及发病机制尚未明确的系统性肉芽肿性疾病,以中青年发病为主,女性发病率略高于男性。美国白种人年发生率49.8/10万人,日本的年发生率为1.01/10万人。几乎可以累及全身各个器官,但以肺及胸内淋巴结最易受累。干咳、胸闷、气短、胸痛、喘息是其常见的症状。结节病的诊断主要靠非干酪样坏死性上皮样肉芽肿+抗酸染色+六胺银染色等特殊染色,必要时行免疫组化,同时除外感染、异物、肿瘤等其他原因引起的肉芽肿性炎。大多数患者预后良好,约25%患者表现为慢性、进展性病程,最终导致肺纤维化、肝硬化、致死性心律失常、失明等不可逆病变,严重影响患者的生活质量和寿命。
专家简介
罗少华
广东省人民医院派驻专家
呼吸与危重症医学科学科带头人
主任医师、硕士研究生、在读博士
对于肺部阴影、肺部结节、淋巴结肿大等征象,具有敏锐的鉴别能力,熟练掌握呼吸科常见疾病的诊治,对少见或罕见病也有着丰富的临床诊疗经验,擅长以呼吸内镜介入为主的多种技能及肺部肿瘤的全程综合管理。
门诊时间:每周二上午及周四上午
杨龙峰
呼吸与危重症医学科呼吸二区主任
主任医师
擅长对肺癌、肺结节、慢阻肺、哮喘、肺心病、肺部感染性疾病、呼吸衰竭、间质性肺病、胸膜疾病等呼吸系统疾病的诊治和呼吸介入诊疗技术。
门诊时间:每周一全天
陈勇
呼吸内镜中心主任
副主任医师
擅长呼吸内科常见病、疑难病例的诊治,如:慢性咳嗽、上呼吸道感染、慢性阻塞性肺疾病、支气管哮喘、支气管扩张、肺炎、肺部肿瘤、气胸、肺结节、间质性肺炎等;擅长呼吸内镜介入治疗、内科胸腔镜、经皮肺穿刺活检等。
门诊时间:每周日全天
张雯
呼吸与危重症医学科主治医师
临床经验丰富,擅长呼吸系统常见疾病的诊疗;熟练掌握呼吸内镜检查及相关诊疗技术,如CT/B超下经皮肺穿刺、超声支气管细针活检术等微创检查。
门诊时间:请在河源市人民医院官网或官方微信公众号上提前查询








