栏目分类
新闻中心
消化内科ERCP团队自主开展首例ERCP
来源: 发布时间:2023/10/19 作者:黄懿波 阅读数:6091
近日,我院消化内科ERCP团队自主开展首例ERCP(经内镜逆行胰胆管造影)下胆管结石取出术,成功为一名胆总管结石患者取出结石。ERCP技术的开展使得我院在治疗胰胆管结石疾病又多了一项更微创的技术,标志着我院消化内镜技术又迈上了一个新台阶,更好地为老百姓健康服务。
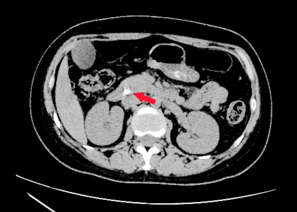
患者为年轻女性,反复腹痛3天入院,腹部CT显示:胆总管下段结石、肝内外胆管轻度扩张;肝功能多项指标明显升高。经保守治疗后,患者腹痛症状仍反复。李捷壮主任医师、刘烈辉副主任医师带领的ERCP团队对患者做了详细的体格检查、仔细判读相关辅助的检查,明确诊断:胆总管下段结石伴胆管炎。经过全面的术前讨论及科室团队反复商酌,决定为患者实施“经内镜逆行胰胆管造影+胆总管结石取出术”治疗。
▲术前CT
▲X线下结石
患者术程顺利,术后患者安返病房,患者自诉无腹痛等不适,术后2天复查肝功能较前明显好转,术后3天患者无特殊不适,予出院。
▲首次ERCP团队照
ERCP的相关知识
1
ERCP的定义
Endoscopic retrograde cholangiopancreatography,即经内镜逆行胰胆管造影, 是在内镜下经十二指肠乳头插管进入胆管或胰管, 注入造影剂,逆行显示胰胆管的造影技术,是目前公认的诊断胰胆管疾病的金标准,在技术水平上号称消化内镜治疗“皇冠上的明珠”。
2
ERCP的发展
自 1968 年 Mecune 开展首例 ERCP 以来, 1974 年 Classen(德国)和Kawai(日本)相继开展了内镜下十二指肠乳头括约肌切开术(EST), 从而开辟了治疗性 ERCP 的时代。1979 年 Soehendra(德国)通过 ERCP 在内镜下放置鼻胆管引流 (ENBD)治疗急性胆管炎,以及后面开展的胆道、胰管支架引流、胆总管、胰管取石术等微创治疗,先已成为肝胆胰疾病重要的治疗手段。
3
ERCP 检查及治疗适应征
1.原因不明的阻塞性黄疸疑有肝外胆道梗阻者。
2.可疑或确定各种胆道疾病如结石、肿瘤、硬化性胆管炎等诊断不明者。
3.疑有先天性胆道异常或胆囊术后症状再发者。
4.胰腺疾病:胰腺肿瘤、慢性胰腺炎、急性但原先胰腺炎、特发性胰腺炎,特发性复发性胰腺炎,胰腺囊肿等。
5.胆胰需内支架治疗者。
6.胰管结石或狭窄者。
专家简介
李捷壮
消化内科主任
消化内科主任医师
1995年毕业于广东医学院临床医学专业,学士学位,毕业后经过三年的正规内科轮转培训,于1998年从事于消化专业。2002年在南方医院全国重点学科消化研究所进修。擅长于消化性溃疡、上消化大出血、肝硬化并腹水、肝性脑病、急性胰腺炎、炎症性肠病的诊断及治疗。并对胃肠镜检查及诊断有较高的造诣。
门诊时间:每周二全天
刘烈辉
消化内镜中心主任
消化内科副主任医师
从事消化内科10余年,在临床、教学、科研方面全面发展。对消化内镜及消化内科疾病诊治有较深的见解,尤其擅长消化内镜下早癌筛查、消化内镜检查、诊断及内镜下治疗(消化道异物取出、消化道出血内镜下止血、胃肠息肉钳除、EMR、并逐渐开展ESD、ERCP);并对消化内科常疾病如消化道出血、肝硬化、肝癌、炎症性肠病、幽门螺旋杆菌感染诊治、胆胰疾病及危重症患者抢救有丰富的临床经验。
门诊时间:每周五全天
黄懿波
消化内科主治医师
2008年毕业于遵义医学院临床医学系。擅长危急消化道出血的各种内镜下止血术,掌握消化内镜的ERCP、ESD、EMR、内痔套扎等技术。在消化内科疾病的诊治上亦有较丰富的临床经验,熟练掌握胰腺炎、消化道出血、肝硬化、消化性溃疡、慢性胃炎等消化系统疾病的诊断和治疗。
门诊时间:请在河源市人民医院官网或官方微信公众号上提前查询







