栏目分类
新闻中心
粤东北首例!为高出血风险复杂冠心病患者带来最优介入方案!
来源: 发布时间:2023/11/14 作者:罗德谋 阅读数:4572
近日,我院心内科团队对一名年近八旬的高出血风险复杂冠心病合并肠道肿瘤术后的患者进行救治。在对该患者进行诊疗的过程中,何鹏程院长带领心内科团队对患者病情进行个体化评估,精准施策,制订合理的策略,利用过硬的技术,为该情况复杂的冠心病患者顺利实施了冠脉介入手术,让病人重焕“心”生。
1
病情介绍
年近八旬的邬先生,一个月前在我院确诊肠道肿瘤并顺利接受了肠道肿瘤根治手术,术后康复很顺利。老人家2周前出现劳累后胸闷、胸痛不适,并且发作的次数愈发增加,慕名到我院就医,影像学评估后发现老人家的心脏血管(冠状动脉)病变非常严重:三根血管的其中一根严重狭窄,另一根完全闭塞。针对特殊的伴发疾病和复杂高难的冠脉病变,只有综合、全面的治疗方案,才能让患者获益,心内科团队为此进行了充分的术前讨论。
2
个体化评估,制定精准化诊疗策略
病人基础情况:心内科团队在术前对患者的诊疗方案进行缜密的讨论,考虑患者全身情况和血管情况都比较复杂:①患者近八旬高龄,基础病多(贫血、患有肠道肿瘤并且近期接受了肿瘤手术),血栓风险和出血风险都比较高;②冠状动脉病变复杂(三根血管的其中一根严重狭窄,另一根完全闭塞,同时伴有钙化、分叉、扭曲等),手术风险高、难度大。
治疗的问题所在:治疗上存在两难:冠脉堵塞必须解决,解决后如何能够在最低出血风险下维持血管通畅?
解决方案:治疗的关键点是通过介入手术解除血管堵塞后,如何优化药物治疗方案,做到既可以防止日后血栓形成,也可以降低药物治疗带来的出血风险。经过详细研判,心内科团队决定使用一种目前对抗血小板药物要求最低的支架:既能保持对狭窄血管的支撑和扩张作用,又仅需要双联抗血栓药物一个月后,转为单个抗血栓药长期治疗即可,从而最大程度减少患者出血风险,使患者得到极大获益。经过周密的准备,手术当天,手术团队仅耗时1小时左右即同时开通两条严重堵塞的血管,顺利完成手术,术后患者恢复良好,术后第三天顺利安排出院。本次手术,是粤东北地区的首例植入新型冠脉支架手术的病例。
3
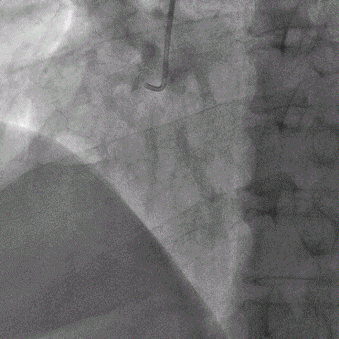
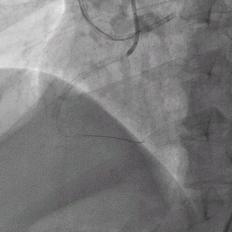
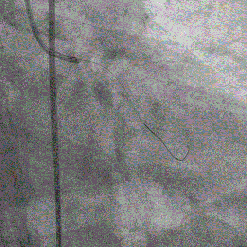
冠脉介入手术过程
▲右冠脉近中段弥漫严重狭窄及远段完全闭塞
▲左回旋支弥漫严重狭窄
▲右冠脉开通成功并植入支架
▲左回旋支干预成功病变消失
4
病例点评:高出血风险冠心病患者的精准化治疗
目前全国心血管疾病患者数量突破3.3亿,是我国居民首位死亡病因。其中登记在册的冠心病病人至少1100万,潜在的冠心病患者数量可能更多,并且呈现老年人和年轻人患病率均增加的趋势,同时血管狭窄或堵塞的复杂程度也显著增加,患者的病情也更为复杂。在手术开通血管时,需充分考量出血与缺血风险,制定个体化方案,做到精准化治疗,让患者能够最大程度受益。
专家简介
何鹏程
广东省人民医院河源医院党委副书记、院长
主任医师、医学博士、博士研究生导师
毕业于广东省心血管病研究所,博士研究生,擅长心血管病介入治疗。
美国心脏病学会Fellow(FACC)、欧洲心脏病学会Fellow(FESC)、亚太心血管介入学会Fellow(FAPSIC)、美国心血管造影和介入学会Fellow(FSCAI)、亚太心血管介入治疗大会课程副总监、国家心血管病专业质控中心委员、中国医师协会心血管内科医师分会青年委员、中国心胸血管麻醉学会精准医疗分会青年委员会副主任委员、广东省医学会心血管病学分会常务委员影像学组组长。
2022年获广东省科技进步奖二等奖、2019年获广东医院最强科室(心内科)“实力中青年医生”称号、2018年获“广东省岭南名医”称号、2016年获中国青年医师冠脉分叉病变大赛全国总冠军、2015年获欧洲介入心脏病大会(EuroPCR)挑战性介入治疗病例、2013-2015年连续3年获中国介入心脏病学大会(CIT)挑战性介入治疗病例、2012年获美国经导管心血管治疗年会(TCT)挑战性介入治疗病例。
门诊时间:每周四上午
乐建华
心血管内科二区(CCU)主任、内科第一党支部书记
主任医师、医学硕士、中共党员
从事心血管内科专业二十余年,积累了冠心病、心律失常、心力衰竭、高血压病、心包疾病、心瓣膜病、结构性心脏病等疾病临床诊治经验。擅长冠心病的临床和介入手术诊治,对冠心病介入诊疗技术及心脏急危重症诊治有深入研究。
门诊时间:每周一全天
罗德谋
广东省人民医院派驻心血管内科专家
心内科主治医师、医学博士
从事心血管内科工作十余年,熟悉心血管内科常见病、多发病包括冠心病、高血压、心律失常、心功能不全等疾病的诊治,熟悉冠心病介入手术治疗和心脏重症的诊治。曾作为主要执行者参与“国家十三五重点研发计划”的科研工作,先后发表包括SCI、国内核心期刊文章20余篇。作为编者参与编写2022年欧洲心血管指南解读、冠心病介入诊疗等教材。
门诊时间:每周一全天、每周二下午
刘恒
心内科主治医师、中共党员
从事心血管内科诊疗、科研、教学工作十余年,擅长冠脉介入诊疗,对高血压、冠心病、心力衰竭、恶性心律失常、心瓣膜病等心血管急危重患者的救治有丰富临床经验。2018年12月至2019年12月于中山大学第一附属医院参加卫生部冠心病介入诊疗培训班,取得冠心病介入资质。
门诊时间:每周五全天









