栏目分类
新闻中心
老人反复跌倒,原因竟然是这个
来源: 发布时间:2023/11/24 作者:叶锦欢 阅读数:4323
近日,我院神经外科二区收治了一名反复跌倒的老年患者,患者为男性,68岁,“行走不稳6年,加重伴反复摔伤2年”。查看其既往史有:因双侧股骨头坏死,分别于2020、2021年行左、右髋全髋置换术,2022年因摔伤行左股骨髁间髁上骨折切开复位固定术;今年1月再次摔倒致颅脑损伤瘫痪在床。
患者入院后我院专家团队为患者做进一步检查:患者神志清,言语障碍,认知能力明显下降,记忆力、计算力检查不能配合,双上肢肌力4级,右下肢肌力3+级,左下肢肌力3﹣级,双下肢肌张力高,无法在床上坐稳及完成站立动作。10月24日我院颅脑CT:左侧额颞叶低密度影,考虑脑挫伤后遗症改变;脑积水并间质性脑水肿,左侧顶骨骨折,矢状缝后部缝离骨折。
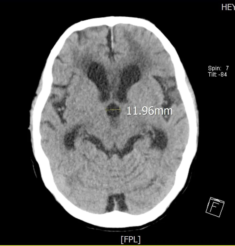
▲术前CT 三脑室直径>1cm
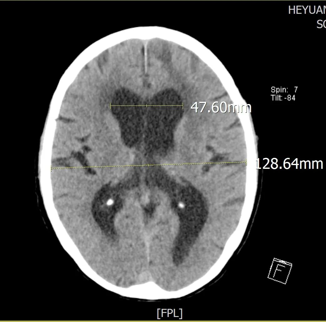
▲术前CT Evan指数>0.3
患者完善相关检查后,我院专家团队为患者行2次腰椎穿刺测压、释放脑脊液试验,患者之后语言及认知明显改善。
经科内专家团队讨论分析:该患者可能是6年前已出现脑积水病情,因脑积水影响下出现多次跌倒、致骨折伤情、颅脑损伤,神经功能损害,并呈缓慢加重趋势,结合腰椎穿刺压力及脑脊液释放试验有效情况下,制定手术方案,在全麻下完成脑室-腹腔分流术(V-P)。
▲神经外科二区负责人叶志其为患者进行手术
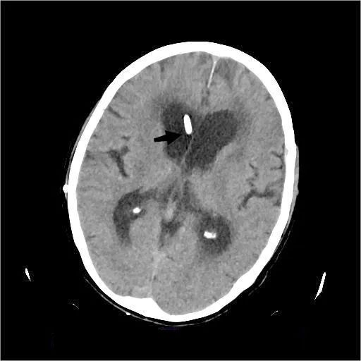
▲术后CT可见分流管脑室端
术后患者次日即精神好转,言语流利、反应敏捷,能站立扶行,神经功能改善立竿见影。
▲患者术后精神状态恢复良好
我院神经外科是具有综合救治能力的区域神经外科中心,如有老人出现上述步态障碍甚至反复跌倒、认知障碍等症状,需警惕并尽快联系我科就诊。
科普
正常压力脑积水(NPH)是脑积水的一种,主要表现为步态障碍、认知障碍和排尿异常临床三联征,影像学上脑室扩大,脑脊液压力正常,脑脊液分流手术可有效地改善临床症状。NPH最早由Adams等于1965年报道,主要分为继发性NPH(sNPH)和原因不明的特发性NPH(iNPH)。sNPH在任何年龄都可发生,多在蛛网膜下腔出血、脑出血、脑炎及颅脑创伤等之后出现,因其有明确病因且症状出现在原发疾病之后,有明确时间相关联,容易判断。iNPH多见于老年人,病因往往不明,且由于认知障碍、步态障碍和排尿异常症状不具有特异性,可见于任何其他老年性疾病,其影像表现有时也很难与脑萎缩鉴别,因此临床上易漏诊或误诊为阿尔茨海默病(AD)、帕金森综合征等神经变性病或其他老年性疾病。不同于神经变性疾病,iNPH早期诊断及干预可显著地改善,甚至可完全逆转症状,提高患者生活质量。
专家简介
王鹏
副院长、神经外科学科带头人
主任医师、医学博士、教授、硕士研究生导师
主要社会任职:
●广东省人民医院神经外科功能与脊柱脊髓亚专业组组长
●广东省杰出青年医学人才
●中国研究型医院协会脊柱脊髓专业委员会委员
●广东省医学会神经外科分会青年委员会副主任委员
●广东省医学会创伤委员会委员
●广东省医师协会神经外科分会第三届青委会副主任委员
擅长显微手术治疗颅内和椎管内各种肿瘤如脑膜瘤、胶质瘤、颅咽管瘤、听神经瘤、转移瘤、海绵状血管瘤、神经鞘瘤、室管膜瘤、胆脂瘤、血管母细胞瘤等。在三叉神经痛、面肌痉挛的微血管减压术、复杂脑积水等疾病的外科治疗上具有丰富的临床经验。专长于脊髓脊柱疾病的微创手术治疗。
门诊时间:每周四上午
杨建雄
神经外科主任兼一区主任
主任医师
主要社会任职:
●河源市医学会神经外科分会主任委员
●广东省基层医药学会神经外科专委会副主任委员
从事神经外科工作20多年。获得市科学技术进步奖一等奖1次,二等奖2次,三等奖1次。发表专业学术论文10多篇。专长:颅脑损伤、脑肿瘤、脑血管、先天畸形等神经外科疾病的诊治,对重型颅脑损伤、高血压脑出血等有丰富的临床经验。
门诊时间:每周二上午
叶志其
神经外科一区副主任兼神经外科二区负责人
主任医师、外科第三党支部书记
主要社会任职:
●河源市医学会神经外科分会副主任委员、秘书长
●广东省基层医药学会神经外科专委会常委
对神经外科常见疾病的诊治有丰富的临床经验,如:脑肿瘤、颅脑损伤、脑出血、三叉神经痛、面肌痉挛、颅内感染、各种先天畸形等,对重型颅脑损伤的手术救治、高血压脑出血的各种手术治疗有深度造诣和独到见解,能开展脑肿瘤、三叉神经痛、面肌痉挛等疾病在显微镜或神经内镜下微创手术。
门诊时间:每周一上午









