栏目分类
新闻中心
脑外伤后反复头痛不缓解,神经外科妙手解难“瘤”
来源: 发布时间:2024/3/1 作者:叶锦欢 钟云天 阅读数:6159
省医在河源 名医在身边
近期我神经外科二区收治一例颅脑损伤超40多天,反复头痛不缓解,经检查发现外伤导致颅内假性动脉瘤的病例。患者陈某某,女,49岁,40多天前因为车祸伤,在当地医院住院治疗,当地医院诊断:蛛网膜下腔出血,经治疗后头痛好转,但1天前头痛症状又再次加重,伴呕吐,复查头颅CT发现右额叶脑出血,从当地人民医院转至我院神经外科。检查患者身体状况:神志清,视力视野正常,颈软无抵抗,四肢肌力V级,肌张力正常。
▲CT示病灶扩大、出血
因患者突发症状加重,神经外科二区立即启动疑难病例讨论,经分析,患者颅内外伤40余天,再迟发出血,出血原因不明,此出血位置与大脑前动脉邻近,不排除外伤导致的颅内假性动脉瘤破裂,进一步行颅脑CTA检查提示:右侧大脑前动脉A1段缺失、双侧A2共干,A2远端重度狭窄并出现囊瘤样突出,大小约4mmx7mm。
▲CTA可见瘤样病灶
由此可以明确出血原因:车祸时出现载瘤动脉损伤(大脑前动脉胼周段),在血流动力学影响下损伤血管壁不断囊性扩大,最后破裂出血,并出现相关临床表现。此类情况患者病情危急,需尽快治疗,以免大出血危及生命。
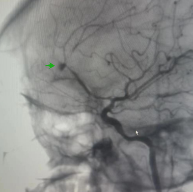
▲DSA下瘤体显影不完全
经神经外科介入手术团队充分知情告知、签字同意后,紧急启动治疗方案:全麻下实施脑血管造影及血管内治疗。脑血管造影(DSA)显示瘤体显影不完全,我们称之为“鬼影”或“幽灵”动脉瘤,是创伤性动脉瘤的显影特征,提示瘤体不稳定、易破裂出血。
▲弹簧圈致密填塞呈现完整瘤体形态
微导管精准到位后予使用弹簧圈小心填塞,达到致密栓塞(Raymond1级),填塞后可见完整瘤体形态。近端多处狭窄为血管痉挛,可用药物治疗后改善。术后患者无不适,恢复迅速,目前已步行出院。
疾病小科普
创伤性颅内假性动脉瘤(intracranial pseudoaneurysm 简写IPAs)是由创伤导致颅内血管破裂出血,血肿机化成瘤壁,从而形成与血管相通的动脉瘤。由此形成的假性动脉瘤因为不具有完整的血管壁结构,容易反复破裂出血。文献报道平均再出血时间为三周左右。
颅内假性动脉瘤(IPAs)比较少见,不到颅内动脉瘤的1%,多见于年轻男性患者,部分见年轻女性。IPAs多发生于颈内动脉的虹吸段、海绵窦段和大脑前动脉胼周段,也有颈外动脉如脑膜中动脉形成假性动脉瘤的报道。IPAs的最初表现通常反映潜在的头部损伤。IPAs引起的蛛网膜下腔出血(SAH)与普通动脉瘤破裂引起的蛛网膜下腔出血相似:头痛、脑膜刺激征、颅神经麻痹和其他局灶性神经功能缺损以及意识水平下降。足够大的IPAs可因周围结构的占位效应而引起局灶性缺损。颈内动脉破裂的IPAs出血蔓延至海绵窦段可引起大量的鼻出血和单侧失明。通常SAH发生在几天或更长时间后,反映IPAs形成和生长的一段时期;再出血率很高。医源性IPAs也可能以延迟的方式出现。
基于创伤性IPAs的特殊性,神经外科副主任医师钟云天早在2017年就有相关研究总结,并发表论文《早期DSA在创伤性脑血管病患者诊治中的临床研究》,该论文提示:早期DSA应用于创伤性脑血管病变诊治具有十分积极的作用,通过对病症进行早期诊断及干预,不仅能及时患者患者临床症状,改善病痛,同时也能减少创伤继发性脑血管病变事件的发生风险,避免继发性脑损伤,从而提高患者生存率及生存质量。如患者条件允许,并高度怀疑创伤性脑血管病,建议早期行DSA诊治。
▲神经外科二区集体照
专家简介
陈光忠
河源市人民医院神经外科客座教授
神经介入培训基地主任、医学博士、硕士研究生导师
主要社会任职:
●国家卫健委脑卒中防治专家委员会缺血性卒中外科专家委员会常务委员
●国家卫健委能力建设与继续医学教育中心神经介入专委会委员
●广东省医师协会神经介入医师分会主任委员
●广东省基层医药学会脑血管病介入专委会首届主任委员
●《中国脑血管病杂志》、《介入放射学杂志》编委
擅长脑、脊髓血管疾病的血管内介入治疗和外科手术治疗。尤其对颅内动脉瘤、脑动静脉畸形、硬脑膜动静脉瘘、脑动脉狭窄和颅内静脉窦血栓等脑血管疾病的微创介入治疗及颈动脉狭窄的内膜剥脱和介入、颈动脉慢性闭塞再通的复合手术等具有较深的造诣。
王鹏
副院长、神经外科学科带头人
主任医师、医学博士、教授、硕士研究生导师
主要社会任职:
●广东省人民医院神经外科功能与脊柱脊髓亚专业组组长
●广东省杰出青年医学人才
●中国研究型医院协会脊柱脊髓专业委员会委员
●广东省医学会神经外科分会青年委员会副主任委员
●广东省医学会创伤委员会委员
●广东省医师协会神经外科分会第三届青委会副主任委员
擅长显微手术治疗颅内和椎管内各种肿瘤如脑膜瘤、胶质瘤、颅咽管瘤、听神经瘤、转移瘤、海绵状血管瘤、神经鞘瘤、室管膜瘤、胆脂瘤、血管母细胞瘤等。在三叉神经痛、面肌痉挛的微血管减压术、复杂脑积水等疾病的外科治疗上具有丰富的临床经验。专长于脊髓脊柱疾病的微创手术治疗。
门诊时间:每周四上午
杨建雄
神经外科主任兼一区主任
主任医师
主要社会任职:
●河源市医学会神经外科分会主任委员
●广东省基层医药学会神经外科专委会副主任委员
从事神经外科工作20多年。获得市科学技术进步奖一等奖1次,二等奖2次,三等奖1次。发表专业学术论文10多篇。专长:颅脑损伤、脑肿瘤、脑血管、先天畸形等神经外科疾病的诊治,对重型颅脑损伤、高血压脑出血等有丰富的临床经验。
门诊时间:每周二上午
叶志其
神经外科一区副主任兼神经外科二区负责人
主任医师、外科第三党支部书记
主要社会任职:
●河源市医学会神经外科分会副主任委员、秘书长
●广东省基层医药学会神经外科专委会常委
对神经外科常见疾病的诊治有丰富的临床经验,如:脑肿瘤、颅脑损伤、脑出血、三叉神经痛、面肌痉挛、颅内感染、各种先天畸形等,对重型颅脑损伤的手术救治、高血压脑出血的各种手术治疗有深度造诣和独到见解,能开展脑肿瘤、三叉神经痛、面肌痉挛等疾病在显微镜或神经内镜下微创手术。
门诊时间:每周一上午
钟云天
神经外科副主任医师
2004年广东医科大学临床医学系本科毕业,暨南大学医学院在职研究生结业;专业擅长:颅脑创伤及神经重症的临床救治,脑出血的病因学诊断及手术治疗,脑动脉瘤、脑AVM、DAVF、烟雾病等脑血管病的DSA诊断及相关介入治疗。主持或参与多项市级相关专业的科研立项课题,在省级及国家级刊物上发表专业论文多篇。
门诊时间:每周五全天
叶锦欢
神经外科副主任医师
2007年毕业于中山大学中山医学院临床本科,2019年于广州南方医科大学南方医院神经外科脑血管介入组进修一年。从事神经外科十余年,擅长脑血管疾病、颅脑损伤及神经外科重症等专科疾病的诊治。
门诊时间:每周一下午












