栏目分类
新闻中心
泌尿外科成功救治双侧结石梗阻性脓肾的脊柱侧弯患者
来源: 发布时间:2024/1/6 作者:许子豪 阅读数:6249
省医在河源 名医在身边
近日,我院泌尿外科在省医派驻专家、科主任毕学成主任的带领下,多学科精诚协作,分期采用经皮肾镜碎石取石术(PCNL)及经尿道输尿管软镜碎石术(RIRS)成功救治一名双侧结石梗阻性脓肾的脊柱侧弯患者,患者现已康复出院。
1
患者病情介绍
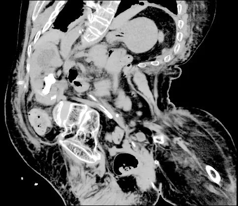
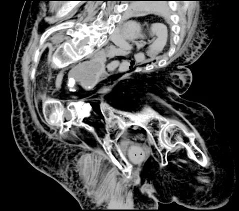
患者因“发现血肌酐升高1月余,发热1周”在我院肾内科住院治疗。住院期间行CT等检查明确肌酐升高、发热的原因是双侧输尿管存在结石梗阻。患者既往因小儿麻痹后遗症导致严重的脊柱侧弯畸形,直视下患者出现明显“驼背”,身体呈“折刀样”,X光平片下原本应该直立的脊柱呈“S”型改变,同时CT显示双肾明显异位、双侧输尿管明显扭曲,其中左肾甚至停留在脊柱偏右侧位置,与大血管十分贴近,给输尿管镜手术入镜及经皮肾手术穿刺带来极大困难和风险,稍有偏差就可能损伤到重要脏器及大血管。患者的脊柱侧弯畸形还合并有严重的胸廓畸形,畸形的胸廓导致肺和心脏的活动空间被大幅压缩,直接会引起心脏和肺的功能减退,麻醉过程中一旦出现意外,患者的心功能和肺功能衰竭会危及生命。不仅如此,患者还合并有重度贫血、高血压、脑萎缩、膀胱多发憩室等多种严重影响手术安全或操作的基础病。
▲患者的脊柱、胸廓明显畸形
▲患者右肾结石
▲患者左侧输尿管上段结石
2
诊断精准、制定方案、及时救治
患者转入我院时已高热多日,体温最高达40.3℃,病情十分危重,手术难度极大。泌尿外科主任毕学成、泌尿外科主任医师李钟获悉情况后组织科室进行疑难病例讨论,同时邀请麻醉科、呼吸内科等相关学科医师会诊,共同参与手术方案制定。因患者情况比较危急,毕学成主任当机立断指示立即安排急诊手术,由毕学成主任,温世和副主任医师,许子豪主治医师组成的手术团队马上做好术前准备并按术前拟定的计划进行手术,先后行彩超引导下双侧经皮肾镜穿刺造瘘术解除梗阻,术后第一天患者发热症状完全缓解,至此医护团队终于松了一口气。
▲治疗后相关指标下降至正常
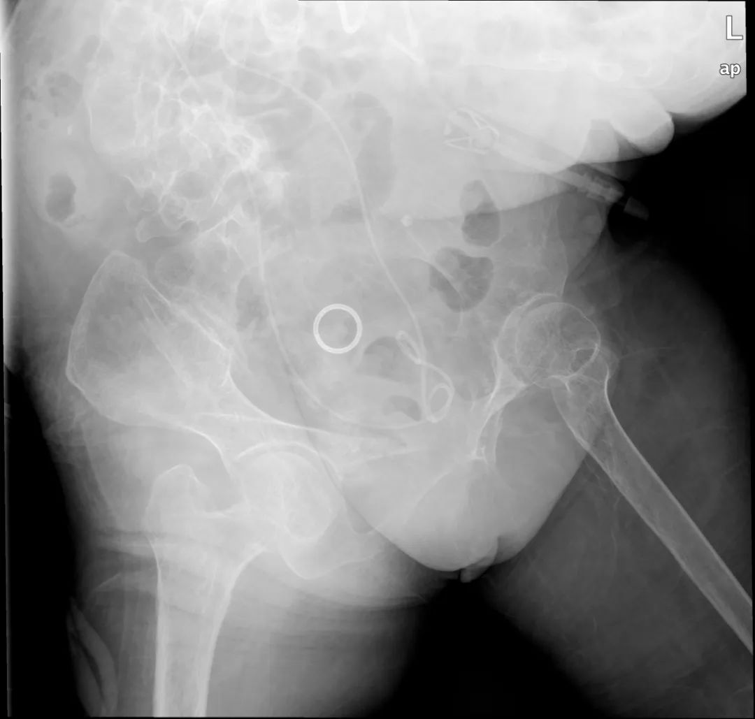
▲治疗后复查KUB双侧尿路未见明显结石影
虽然危急情况解除,但是患者的结石病情还需继续治疗,否则拔出造瘘管后患者病情仍会复发甚至加重,毕学成主任组织科室医护多次讨论并多次携带彩超机到床旁模拟手术体位,将手术治疗方案反复斟酌、完善,选择最适合患者的手术方式,在感染控制后先后安排右侧经皮肾镜碎石取石术、经尿道输尿管软镜下左肾结石碎石术等治疗,将患者体内结石取净。经过精心的治疗,患者终于取得满意的疗效出院。
近年来,随着输尿管软镜、经皮肾镜设备的更新及技术的成熟,我院对复杂性肾结石及危重症患者的治疗更加熟练,术后恢复更快,能帮助患者安全解决泌尿系结石梗阻,最大程度减轻患者痛苦。
专家简介
毕学成
泌尿外科主任、副主任医师、医学博士
南方医科大学/广东医科大学硕士导师
●广东省医学会泌尿外科学分会基层学组副组长
●英国伯明翰大学医学院研究员
●华南理工大学医学院教师
●广东省医师协会泌尿生殖肿瘤学分会常务委员
先后毕业于中山医科大学及南方医科大学,从事泌尿外科临床工作二十余年。主要从事泌尿外科各种疾病的诊治。擅长前列腺增生;泌尿系统结石(肾结石,输尿管结石,膀胱结石及尿道结石);泌尿系统肿瘤(肾上腺肿瘤,肾癌,肾盂、输尿管肿瘤,膀胱癌,前列腺癌,睾丸癌及阴茎癌等);泌尿系统先天性畸形的开放和微创手术以及其综合治疗。
多次参与国家级,省部级和厅局级科研课题;主持省级课题3项,市级课题1项。获中华医学科技三等奖(国家级)一项,广东省科学技术奖三等奖(省部级)两项,广州市科学技术奖一等奖(市级)一项。在国内外主流专业杂志发表论文50余篇,以第一及通讯作者发表SCI论文6篇。以副主编身份编写人民卫生出版社版《膀胱癌流行病学》专著。
门诊时间:每周一、周四全天
温世和
泌尿外科副主任医师
●广东省医学会泌尿外科分会委员
●广东省医院管理协会泌尿外科分会委员
2002年毕业于广东医学院,在市人医院从事泌尿外科工作多年。2009年在中三大学附属第三医院进修1年,2011年晋升副主任医师。曾在国家级专业医学杂志上发表论文多篇,主持省级、市级科研立项多项。在我院首先开展了腹腔镜肾根治性切除术、腹腔镜肾上腺切除术、腹腔镜肾盂癌根治术等手术,擅长泌尿系结石、前列腺增生、泌尿系统肿瘤等疾病的微创手术治疗,有丰富的临床工作经验。
门诊时间:每周一全天








