栏目分类
新闻中心
一“管”到底——神经外科优化解决颅内动脉瘤合并脑动静脉畸形出血
来源: 发布时间:2024/1/23 作者:杨文佼 叶锦欢 阅读数:5409
省医在河源 名医在身边
近日,一位患者因脑出血辗转到我院神经外科就诊,入院后完善颅脑CT、CTA等检查,诊断考虑:颅内巨大多发动脉瘤合并脑动静脉畸形破裂出血,再次出血的风险极大,患者高龄,手术难度大,风险高,且患者家属经济困难。
▲入院CT显示的病灶及脑出血
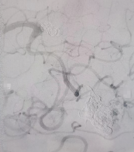
▲箭头为颅内动脉瘤及动静脉畸形
我院副院长、神经外科学科带头人王鹏,神经外科客座教授陈光忠,介入手术团队联合进行术前讨论认为:患者多发动脉瘤,右侧颈内动脉海绵窦段动脉瘤巨大,右侧大脑前动脉瘤A4段动脉瘤载瘤动脉与右侧枕顶叶交界区动静脉畸形主要供血动脉密切相关,出血责任血管为:右侧枕顶叶交界区动静脉畸形,建议进一步完善脑血管造影(DSA)辨别。
全脑血管造影提示大脑前动脉为主要供血动脉,大脑后动脉参与供血(同时可见动脉瘤及动静脉畸形),大脑前动脉A4动脉瘤瘤体不规则、但瘤壁尚平滑,非破裂形态;远端动静脉畸形为大脑前动脉、大脑中动脉、大脑后动脉分支等多支血管供血,巢里可见动脉瘤样改变,瘤顶突出,考虑为出血病灶。
结合患者身体情况和手术意愿,副院长王鹏邀请影像科、麻醉科等科室进行多学科联合会诊。最后拟定治疗方案:经右侧大脑前动脉部分栓塞右侧枕顶叶交界区动静脉畸形,达到栓塞瘤巢内动脉瘤为止血目的,因近端动脉瘤为动静脉畸形引起的血流动力学改变所致,有较高破裂风险,可由同一通路一并解决;右侧颈内C4段巨大动脉瘤非本次出血责任灶,暂不予处理。考虑患者年龄大,手术及麻醉时间应尽量缩短,较少操作步骤,减轻手术风险,结合Marathon漂浮导管恰好可与Visee弹簧圈兼容,决定使用一根Marathon导管同时解决动脉瘤及动静脉畸形,一“管”到底,同时也能减少手术耗材费用,减轻患者经济负担。
▲注胶前后对比
▲致密填塞的动脉瘤及动静脉畸形
手术由我科客座教授陈光忠亲自主刀,术中先使用弹簧圈单栓动脉瘤,然后将漂浮导管送至动静脉畸形瘘口,采用液态材料栓塞。Marathon微导管精准到位后使用兼容的弹簧圈小心填塞A4动脉瘤,达到致密栓塞。然后微导管继续朝远端超选,精准到位动静脉畸形巢,使用液体栓塞材料弥散栓塞,畸形巢内动脉瘤被胶水填充后不再显影。因已达到止血治疗目的,按计划决定不再予更改通路栓塞其他供血动脉。术后患者无不适,恢复迅速,目前已顺利出院。
科普小知识
脑动静脉畸形(arteriovenous malformation,AVM)是指脑内动脉与静脉直接交通,并相互缠绕形成结构紊乱的畸形血管巢(nidus)。镜下血管壁平滑肌增生、成纤维细胞(纤维母细胞)浸润及结缔组织增多。血管巢内一般无脑组织,可见胶质增生及不同时期的出血,但弥漫性AVM者病变区内仍可见脑组织。血管巢为3cm及以下者易出血,病死率与致残率均约30%。发病率约1.3/10万人,常于20—40岁出现症状,反复头痛、癫痫、脑出血为最主要临床症状,也可出现其他脑神经功能障碍及合并脑积水。
颅内AVM合并动脉瘤占比约18%,其发生颅内出血及再出血概率远比只存在AVM或者动脉瘤的几率高。颅内AVM合并动脉瘤的机制目前仍存在争议,主要有三种学说:偶然巧合学说、存在先天性两种缺陷学说、血流动力性相关学说。
目前用于诊断AVM合并动脉瘤并不困难,检查方式主要有CT、MRI、DSA,DSA-3D是诊断的金标准
因颅内AVM合并动脉瘤出血几率高,有较高的致残率及致死率,建议一经发现均应采取积极的手术治疗。颅内AVM与动脉瘤二者之间如何处理,或者先处理谁,成为手术的关键与争论所在。此病例精彩之处在于能结合血管形态、病灶构筑、材料学性能,一条通道一“管”到底栓塞治疗,让手术变得简约、艺术、安全。
专家简介
陈光忠
河源市人民医院神经外科客座教授
神经介入培训基地主任、医学博士、硕士研究生导师
主要社会任职:
●国家卫健委脑卒中防治专家委员会缺血性卒中外科专家委员会常务委员
●国家卫健委能力建设与继续医学教育中心神经介入专委会委员
●广东省医师协会神经介入医师分会主任委员
●广东省基层医药学会脑血管病介入专委会首届主任委员
●《中国脑血管病杂志》、《介入放射学杂志》编委
擅长脑、脊髓血管疾病的血管内介入治疗和外科手术治疗。尤其对颅内动脉瘤、脑动静脉畸形、硬脑膜动静脉瘘、脑动脉狭窄和颅内静脉窦血栓等脑血管疾病的微创介入治疗及颈动脉狭窄的内膜剥脱和介入、颈动脉慢性闭塞再通的复合手术等具有较深的造诣。
王鹏
副院长、神经外科学科带头人
主任医师、医学博士、教授、硕士研究生导师
主要社会任职:
●广东省人民医院神经外科功能与脊柱脊髓亚专业组组长
●广东省杰出青年医学人才
●中国研究型医院协会脊柱脊髓专业委员会委员
●广东省医学会神经外科分会青年委员会副主任委员
●广东省医学会创伤委员会委员
●广东省医师协会神经外科分会第三届青委会副主任委员
擅长显微手术治疗颅内和椎管内各种肿瘤如脑膜瘤、胶质瘤、颅咽管瘤、听神经瘤、转移瘤、海绵状血管瘤、神经鞘瘤、室管膜瘤、胆脂瘤、血管母细胞瘤等。在三叉神经痛、面肌痉挛的微血管减压术、复杂脑积水等疾病的外科治疗上具有丰富的临床经验。专长于脊髓脊柱疾病的微创手术治疗。
门诊时间:每周四上午
杨建雄
神经外科主任兼一区主任
主任医师
主要社会任职:
●河源市医学会神经外科分会主任委员
●广东省基层医药学会神经外科专委会副主任委员
从事神经外科工作20多年。获得市科学技术进步奖一等奖1次,二等奖2次,三等奖1次。发表专业学术论文10多篇。专长:颅脑损伤、脑肿瘤、脑血管、先天畸形等神经外科疾病的诊治,对重型颅脑损伤、高血压脑出血等有丰富的临床经验。
门诊时间:每周二上午
叶志其
神经外科一区副主任兼神经外科二区负责人
主任医师、外科第三党支部书记
主要社会任职:
●河源市医学会神经外科分会副主任委员、秘书长
●广东省基层医药学会神经外科专委会常委
对神经外科常见疾病的诊治有丰富的临床经验,如:脑肿瘤、颅脑损伤、脑出血、三叉神经痛、面肌痉挛、颅内感染、各种先天畸形等,对重型颅脑损伤的手术救治、高血压脑出血的各种手术治疗有深度造诣和独到见解,能开展脑肿瘤、三叉神经痛、面肌痉挛等疾病在显微镜或神经内镜下微创手术。
门诊时间:每周一上午
钟云天
神经外科副主任医师
2004年广东医科大学临床医学系本科毕业,暨南大学医学院在职研究生结业;专业擅长:颅脑创伤及神经重症的临床救治,脑出血的病因学诊断及手术治疗,脑动脉瘤、脑AVM、DAVF、烟雾病等脑血管病的DSA诊断及相关介入治疗。主持或参与多项市级相关专业的科研立项课题,在省级及国家级刊物上发表专业论文多篇。
门诊时间:每周五全天
叶锦欢
神经外科副主任医师
2007年毕业于中山大学中山医学院临床本科,2019年于广州南方医科大学南方医院神经外科脑血管介入组进修一年。从事神经外科十余年,擅长脑血管疾病、颅脑损伤及神经外科重症等专科疾病的诊治。
门诊时间:每周一下午











