栏目分类
新闻中心
小孔径,大乾坤——神经内镜下脑内血肿清除术
来源: 发布时间:2024/2/26 作者:叶衍宏 阅读数:8108
76岁的古大爷因“突发左侧肢体乏力伴言语不清3小时余”入院,进行头颅CT检查示“右侧基底节区、岛叶急性脑出血”收住我院神经外科一区,我科主任杨建雄、副主任医师郑达理手术团队进行术前讨论:如果选择以往的开颅去骨瓣减压治疗手术,不但切口大、时间长,而且会对周围脑组织造成较大的损伤,患者家属担心老人能否承受开颅手术;除此之外,在局麻下行脑内血肿穿刺置管引流术,可能存在血肿清除效果缓慢,且引流不彻底等情况,一旦出血增加,需要再次选择开颅手术,造成不可逆的损伤。
相较之下,运用神经内镜技术可以避开这些风险,只需在患者头部做一个3—5cm长的小切口,操作范围为一个仅略大于一元硬币面积的骨孔,手术时间缩短,创伤大大减少,血肿清除更彻底,是一种有效的微创手术。
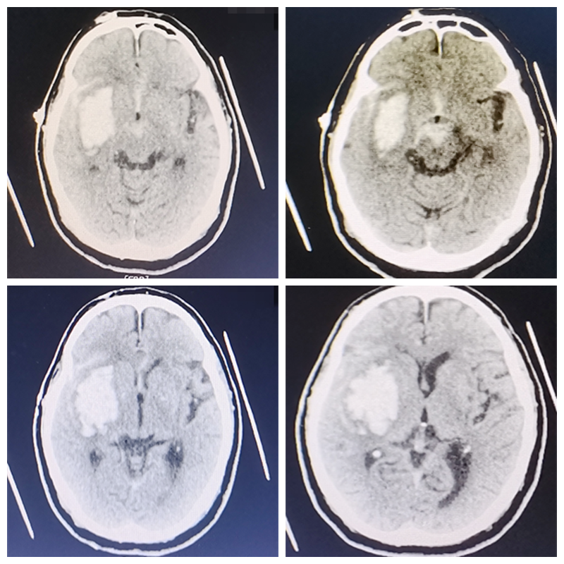
▲术前颅脑CT
在征得家属及患者的同意后,手术团队决定为患者行神经内镜下脑内血肿清除术。手术顺利实施,术后复查颅脑CT血肿清除顺利,术后第1天患者神志即转清,经积极治疗后目前处于康复治疗中。
▲术中使用神经内镜清除血肿
▲术后复查颅脑CT
目前,我院神经外科依托省医平台,在神经外科学科带头人王鹏副院长的带领下已常规开展开颅血肿清除、小骨窗显微镜下颅内血肿清除术、方体定向颅内血肿穿刺引流术,高血压脑出血神经内镜下脑内血肿清除术等手术,神经内镜手术为脑出血的患者提供了更多的手术方式,相信将来定能造福更多的患者!
脑出血又称出血性脑卒中,是高血压、糖尿病等慢性疾病患者常常伴发的严重脑血管疾病,多发于中老年人,其发病率、致残率、死亡率高,常常给社会和家庭带来沉重的负担。传统的脑出血开颅手术,创伤大,恢复时间长,常常遗留严重的神经功能障碍,而且有些患者需要去除骨瓣,术后数月还需再行颅骨修补术,加重了患者的痛苦和经济负担。在省医神经外科的支持下,神经外科一区已为10余位高血压脑出血患者成功实施了神经内镜下脑内血肿清除术,突破了传统手术方法的局限,效果好,恢复快,实现了我院手术治疗脑出血的技术创新,得到了患者及家属的高度赞扬。
专家简介
王鹏
副院长、神经外科学科带头人
主任医师、医学博士、教授、硕士研究生导师
主要社会任职:
●广东省人民医院神经外科功能与脊柱脊髓亚专业组组长
●广东省杰出青年医学人才
●中国研究型医院协会脊柱脊髓专业委员会委员
●广东省医学会神经外科分会青年委员会副主任委员
●广东省医学会创伤委员会委员
●广东省医师协会神经外科分会第三届青委会副主任委员
擅长显微手术治疗颅内和椎管内各种肿瘤如脑膜瘤、胶质瘤、颅咽管瘤、听神经瘤、转移瘤、海绵状血管瘤、神经鞘瘤、室管膜瘤、胆脂瘤、血管母细胞瘤等。在三叉神经痛、面肌痉挛的微血管减压术、复杂脑积水等疾病的外科治疗上具有丰富的临床经验。专长于脊髓脊柱疾病的微创手术治疗。
门诊时间:每周四上午
杨建雄
神经外科主任兼一区主任
主任医师
主要社会任职:
●河源市医学会神经外科分会主任委员
●广东省基层医药学会神经外科专委会副主任委员
从事神经外科工作20多年。获得市科学技术进步奖一等奖1次,二等奖2次,三等奖1次。发表专业学术论文10多篇。专长:颅脑损伤、脑肿瘤、脑血管、先天畸形等神经外科疾病的诊治,对重型颅脑损伤、高血压脑出血等有丰富的临床经验。
门诊时间:每周二上午
郑达理
神经外科副主任医师
主要社会任职:
●河源市医学会神经外科分会常委
●广东省基层药学会神经外科分会委员
擅长颅脑损伤、脑血管病、神经系统肿瘤等疾病的诊治,对重型颅脑损伤、高血压脑出血、颅内肿瘤等疾病的外科治疗有丰富的临床经验。熟悉神经显微镜、神经内镜等治疗技术。曾主持及参与多项河源市科学技术新项目的开展,发表专业著作1本及论文10余篇。
门诊时间:请在河源市人民医院官网或官方微信公众号上提前查询







