栏目分类
新闻中心
神经内科三区确诊河源首例神经元核内包涵体病
来源: 发布时间:2024/3/20 作者:马国奋 阅读数:5604
近日,神经内科三区诊治1例罕见病——神经元核内包涵体病,这是河源地区运用基因检测、病理学检查首次确诊该病例。
▲何锦照副院长主持多学科会诊
60多岁的李阿姨今年2月前发现行走不稳,浑身有僵硬感觉,多次在外院诊治,均未能明确诊断,进行相关治疗后症状无缓解且有加重倾向,以致生活无法自理。后患者慕名前来我院神经内科就诊,神经内科三区主任马国奋详细了解患者病情并安排入院。
▲肌电图神经传导示周围神经
弥漫性髓鞘受损
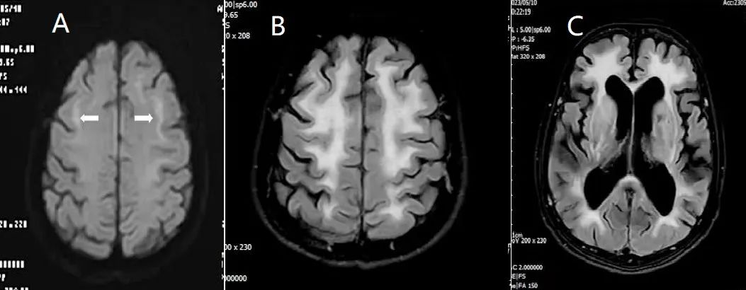
▲双侧脑白质及皮髓交界区
对称性异常信号影
患者入院后,通过询问相关病史,详细查体,考虑患者并非简单的帕金森病或帕金森综合症,而是累及中枢神经、周围神经、自主神经多系统病变。在何锦照副院长的带领主持下,由神经内科三区马国奋主任医师、童永堂主治医师、神经内科电生理室马国重副主任医师、病理科温达雄主任医师、影像科黎艳主任医师、普外科司丕成主任医师组成的多学科会诊小组对患者病情进行了全面、细致评估,拟定方案,进行针对性的肌电图、头部影像学、皮肤活检、基因测序等检查,最终明确诊断为神经元核内包涵体病(NIID)。
▲汗腺细胞内见包涵体
▲基因检测示
NIID是一种罕见的、进展缓慢的神经系统退行性疾病,临床常表现肢体运动感觉异常、意识障碍、癫痫样发作、智能减退、共济失调、周围神经病变、自主神经功能障碍等。
何锦照副院长指出:NIID其病理学特征是在中枢神经系统、周围神经系统以及内脏器官的细胞中存在嗜酸性玻璃样核内包涵体。由于NIID临床表现不典型,临床表现多样且复杂,给临床医生的诊疗带来挑战并容易造成误诊,易将误诊为多系统萎缩症、帕金森病、脊髓小脑共济失调型、代谢性脑病、阿尔茨海默病等,尤其以周围神经病变起病患者,早期更易误诊为吉兰-巴雷综合征、自主神经病变,漏诊或误诊导致病情延误。
我院神经内科是广东省临床重点专科,在与省医合作共建高水平医院以来,在科主任何锦照副院长带领下,我院神经内科团队快速发展,该例病的明确诊断反映了我科对疑难罕见病较强的诊治能力。神经内科三区于2017年8月成立,开放床位数39张,专科方向定位为神经肌肉病、神经变性与感染性疾病,并高度关注神经内科疑难疾病诊治,开区以来诊断出一系列罕见病,获得良好的社会效应。
神经内科咨询电话
神经内科一区:3185646 神经内科二区:3185785 神经内科三区:3185061
专家简介
何锦照
党委委员、副院长
神经内科主任、主任医师
从事神经内科临床医疗、教学、科研工作近30年,对神经内科疾病有较深入的研究,擅长各类脑血管疾病、颅内感染性疾病、周围神经病、头痛、头晕等疾病的抢救与治疗,率先在我市开展了缺血性脑血管病的规范化治疗,包括尿激酶、rt-PA静脉溶栓治疗及脑血管病介入手术诊断治疗等,填补了河源市的空白,取得了良好的治疗效果。2016年获河源市科学技术进步奖二等奖、2018年获“河源好人”荣誉称号、2021年获“南粤好医生”称号、2022年获河源市卫健局、人社局记功表彰、2022年获评广东省医院协会广东医院优秀管理干部。
马国奋
神经三区病区主任、神经内科主任医师
曾在中山大学第一附属医院神经内科、广州医科大学附属第二医院癫痫中心进修。擅长脑血管病、癫痫、中枢神经系统脱髓鞘疾病、帕金森病及神经内科疑难病的诊治。参加多项市级立项、科技研究课题的开展,并获2016年市科技进步二等奖;先后在国家及省级医学期刊发表论文多篇,并获得河源市第十一届、十二届、十三届自然科学优秀学术论文三等奖。
门诊时间:每周二全天
温达雄
病理科主任、主任医师
1995年毕业于苏州医学院临床医学,从事临床病理工作28年,擅长病理学诊断。广东省医学会病理学分会常务委员,广东省基层医药学会病理学专业委员会常务委员。
门诊时间:请在河源市人民医院官网或官方微信公众号上提前查询
黎艳
放射科主任医师
从事CT及MRI影像诊断工作二十余年,具有丰富的临床经验,尤其擅长神经系统及头颈部疾病的CT及MRI诊断。发表专业论文多篇,主持及参与多项市级科研立项,曾获河源市科学技术进步奖三等奖。多次在国家级与省级神经影像技能大赛中获奖。
门诊时间:请在河源市人民医院官网或官方微信公众号上提前查询










