栏目分类
新闻中心
【精准影像 设备先行】放射科多功能动态平板DR正式投入临床使用
来源: 发布时间:2024/5/30 作者:黄志明 陈伟业 阅读数:10267
临床发现,脊柱侧弯畸形多发生于青少年,若得不到及时治疗将会影响生长发育,严重者还有可能导致心肺功能受损;而骨性关节炎、风湿性关节炎以及双下肢畸形(膝关节内外翻、X型腿、O型腿等)为骨科常见病,且发病率呈现逐年升高的趋势,常常累及下肢髋、膝、踝等负重关节,影响患者生活,甚至丧失工作能力。在脊柱及下肢畸形诊断、治疗中,均需要拍摄X线平片以便分析病情、明确诊断和观察治疗效果。
▲多功能DR脊柱全长片:脊柱侧弯畸形
我院放射科顺应新趋势,购置高性能多功能动态平板DR。动态DR具有全身拼接功能,尤其适用于全脊柱和全下肢摄影,辅助脊柱畸形矫形治疗、关节置换手术、康复检查,为临床提供高精度图像。
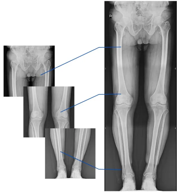
▲传统DR与多功能DR拍片对比
动态平板DR是一台高度综合完整的设备,它不仅是一台传统的DR,而且是一台新一代的数字胃肠机,还是一台全幅面(17*17英寸)的透视机,可实现数字化摄影功能、数字化造影功能、数字化透视功能等检查。
▲多功能DR
多功能DR的启用、相应检查的开展,能使患者得到便捷精准的诊断与及时治疗,极大提升了硬件水平、方便了患者,先进的检查手段也将会为每一位患者带来更加高效、贴心的服务。
放射科简介
我院放射科专业技术人员有88人,其中高级职称13人,中级职称38人;拥有各种高性能影像诊疗设备:256排能谱CT1台、螺旋CT4台,3.0T高场磁共振1台、1.5T磁共振1台,数字减影血管造影系统(DSA)2台,DR6台、乳腺钼靶DR1台。在充足的高端设备、高级专业技术人才支持下,放射科可以当天完成所有门诊/急诊患者的影像检查,不断解决群众就医难的问题。放射科是河源市唯一的放射住培教学基地,源源不断培养人才的同时,也是河源地区最大远程影像医疗诊断中心,下属医联体成员单位共16家,全年24小时为联盟医院服务,年诊疗人次达4万例,极大地解决了基层医疗机构资源短缺的问题,提升了基层医疗服务能力。
专家简介
黄志明
放射科主任、主任医师
主持或参与省、市科技立项多项,发表专业论文10余篇,从事放射影像诊断20余年,熟悉各系统影像诊断,对神经、心胸影像诊断有较深入的研究。
门诊时间:每周二上午
刘向华
放射科党支部书记、行政副主任
主任医师
曾发表专业论文10多篇,市科学技术项目3项,2015年获得河源市科学技术进步“三等奖”。从事放射影像诊断20多年,影像诊断经验丰富,尤其擅长于腹部CT、MR诊断。
门诊时间:每周四上午







