栏目分类
新闻中心
【创新技术 精准医疗】呼吸与危重症医学科团队成功实施河源首例肺结节微波消融术
来源: 发布时间:2024/6/11 作者:张雯 阅读数:9610
近日,我院呼吸与危重症医学科团队成功实施了河源首例肺结节微波消融术,为患者提供了一种全新的微创治疗方案,标志着我院在肺部肿瘤治疗领域迈出了重要的一步。
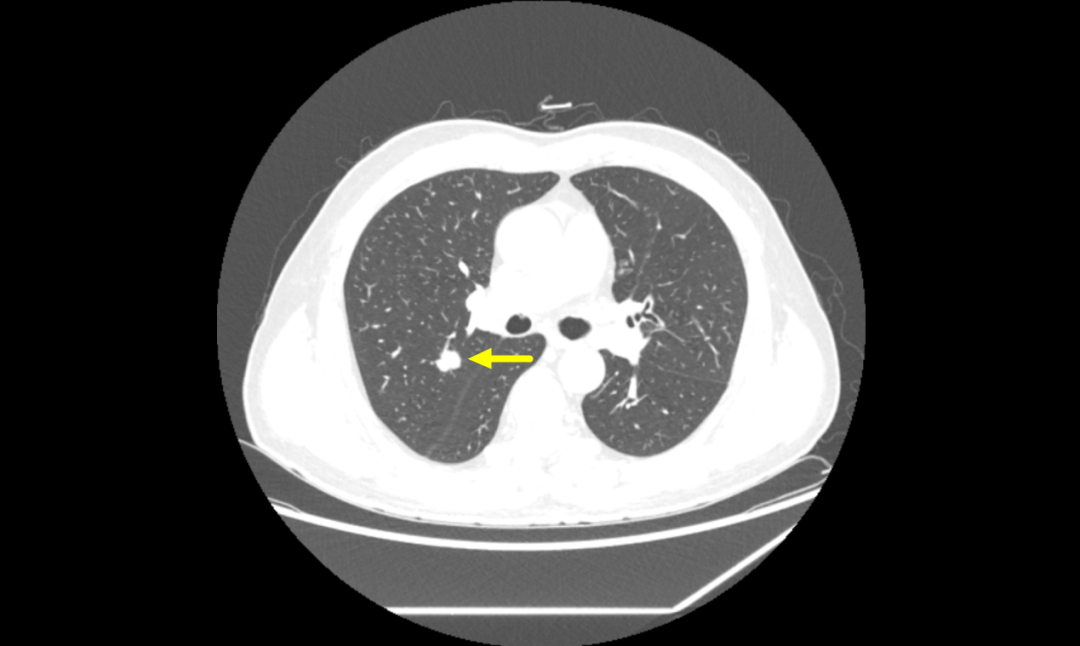
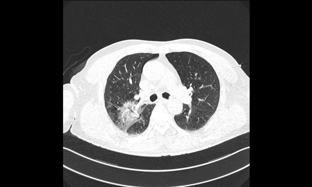
患者李伯,70岁,因“咳嗽、咳痰3月,发现肺部结节20天”入院。患者有慢性阻塞性肺病史,曾因膀胱结石行微创手术治疗,有30余年吸烟史。入院后查体发现双肺呼吸音低,胸部CT显示右肺上叶后段实性结节,有分叶、短毛刺,与血管相连,中度强化,考虑恶性可能性大。
▲胸部增强CT提示右肺结节,恶性可能性大
呼吸与危重症医学科学科带头人罗少华指出:患者既往长期、大量吸烟史,肺CT提示肺气肿、肺大疱,肺功能检查示通气功能重度减退,患者拒绝外科手术,在综合考量了患者的整体状况、意愿及具体病情后,我们决定采用微创的微波消融技术,对该肺结节进行治疗。手术决定是在与患者及其家属进行深入沟通,并得到他们理解与同意后作出的。微波消融技术是一种新兴的肿瘤治疗方式,它通过微波能量的局部热效应,能够在不开刀的情况下对肿瘤组织进行有效治疗。
在治疗前,我们对患者进行了全面的评估,包括肺功能测试、心肺耐力评估以及必要的影像学检查,确保患者能够安全地接受微波消融治疗。治疗过程中,我们采用了先进的CT引导技术,确保消融电极精准地作用于肺部结节,最大限度地减少对周围正常肺组织的损伤。
▲时丰主任带领团队行微波消融术
在罗少华主任统筹下,省医派驻专家时丰主任带领呼吸介入团队于5月28日为患者成功实施了微波消融术。手术过程中,我们密切监测患者的生理参数,确保治疗的安全性。经过精心治疗与护理,患者已顺利出院,目前病情稳定,恢复状况良好。
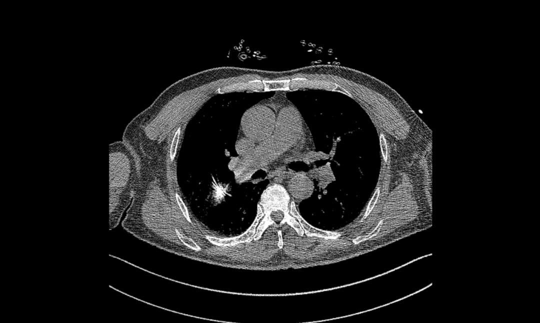
▲术中微波消融
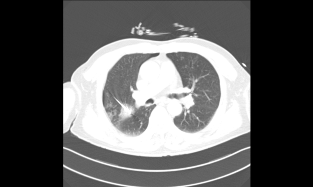
▲微波消融术后复查胸部CT
时丰主任介绍:在现代医学中,对于不能耐受或拒绝手术切除的肺部肿瘤患者,CT引导下的肺肿瘤消融治疗提供了一种有效的替代方案。这是一种微创治疗技术,通过计算机断层扫描(CT)的精确定位,医生能够在不开刀的情况下,对肿瘤进行局部治疗。肺肿瘤消融主要有多种方法,微波消融(MWA)是较为经典的一种,它利用微波能量转化为热能,迅速升温使肿瘤组织发生凝固性坏死。
治疗过程中,医生会在CT的实时监控下,将消融电极精确地插入肿瘤中心,随后,通过控制消融区域的温度,确保肿瘤细胞被有效杀灭,同时尽量减少对周围健康组织的损伤。整个治疗过程通常可以在局部麻醉下完成,术后恢复较快,患者通常在短时间内就能出院。
微波消融技术优势
1.微创治疗:与传统手术相比,微波消融术创伤小,恢复快,较大限度保留肺功能。
2.精准定位:CT引导下精确定位,确保消融效果。
3.适用范围广:适用于无法手术或拒绝手术的患者,尤其适合老年患者或有严重合并症的患者。
我院呼吸与危重症医学科属于河源市重点建设专科,以呼吸介入为立科之本,不断探索和引进适宜新技术,致力于为患者提供更安全、更有效的诊治方案。首例肺结节微波消融术的成功实施,不仅为患者带来了新的希望,也为河源市肺部肿瘤治疗领域树立了新的里程碑。
呼吸与危重症医学科咨询预约电话:0762-3185659。欢迎广大市民咨询预约,我们将以专业的技术和温馨的服务,为您和家人的健康保驾护航!
专家简介
罗少华
呼吸与危重症医学科学科带头人
主任医师
在广东省人民医院工作至今,长期从事呼吸内科方面的诊疗工作。对于肺部阴影、肺部结节、淋巴结肿大等征象,具有敏锐的鉴别能力,熟练掌握呼吸科常见疾病(如哮喘、慢阻肺、支扩、肺部肿瘤、胸腔积液、气胸、间质性肺病等)的诊治,对少见/罕见病也有着丰富的临床诊疗经验,擅长以呼吸内镜介入为主的多种技能及肺部肿瘤的全程综合管理(如气道支架置入、球囊扩张、活瓣肺减容、冷冻肺活检、热凝切、EBUS-TBNA、气道瘘封堵、硬质气管镜、内科胸腔镜、经皮肺穿刺活检术、输液港植入术、肺结节消融术等)。主持或者参与国家级或省级医学研究课题多项,发表论文十余篇。
门诊时间:每周二上午及周四上午
时丰
呼吸与危重症医学科副主任、人事科副科长
医学博士
在广东省人民医院工作至今,长期从事肺肿瘤介入方面的诊疗工作,精通肺结节消融、放射粒子植入、支气管动脉灌注术、支气管动脉化疗栓塞术等先进技术。他主持了多项国家级或省级医学研究课题,并在Radiology (IF 19.7)、Internal Journal of Surgery (IF 15.3)等国际专业权威杂志上发表了十余篇论文。
门诊时间:每周四全天
杨龙峰
呼吸与危重症医学科呼吸二区主任
主任医师
擅长对肺癌、肺结节、慢阻肺、哮喘、肺心病、肺部感染性疾病、呼吸衰竭、间质性肺病、胸膜疾病等呼吸系统疾病的诊治和呼吸介入诊疗技术。
门诊时间:每周一全天
刘国栋
呼吸与危重症医学科一区主任
主任医师
从事呼吸内科临床工作二十余年,具有深厚的专业理论知识和丰富的临床经验。擅长对支气管扩张、肺部真菌病、肺脓肿、支气管哮喘、慢性阻塞性肺疾病、肺血管疾病、间质性肺病、肺部肿瘤等呼吸系统疾病进行诊治,在呼吸内科常见病和疑难危重症的诊治方面积累了丰富经验。
门诊时间:每周五全天
陈勇
呼吸内镜中心主任
副主任医师
擅长呼吸内科常见病、疑难病例的诊治,如:慢性咳嗽、上呼吸道感染、慢性阻塞性肺疾病、支气管哮喘、支气管扩张、肺炎、肺部肿瘤、气胸、肺结节、间质性肺炎等;擅长呼吸内镜介入治疗、内科胸腔镜、经皮肺穿刺活检等。
门诊时间:每周日全天












