栏目分类
新闻中心
【创新突破 生命守护】呼吸与危重症医学科成功开展支气管动脉化疗栓塞术(BACE)
来源: 发布时间:2024/8/21 作者:张 雯 阅读数:6501
在医疗技术的不断进步与创新中,呼吸与危重症医学科再次迈出坚实的步伐,成功实施了科内首例支气管动脉化疗栓塞术(BACE),为肺癌患者带来了新的治疗希望。
患者,男,57岁,4月余前入院,经CT引导经皮肺穿,病理证实为腺癌,基因检测未发现常见驱动基因突变。患者有吸烟史40余年,每日2包,已戒3月余。患者已经接受了5次的免疫+化疗治疗,最佳疗效为PR(部分缓解),但最近复查肺部CT,提示病情进展。
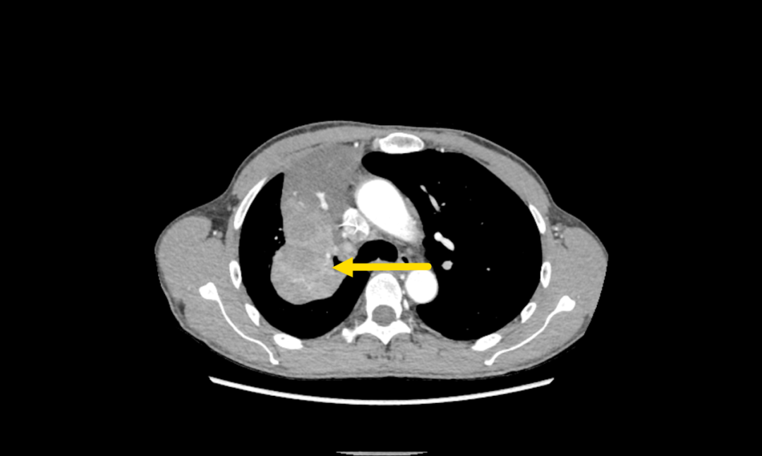
▲胸部增强CT提示右肺肿块(黄色箭头为肿瘤)
面对复杂的病情,呼吸与危重症医学科学科带头人、省医派驻专家罗少华指出,患者基线肿瘤分期属IIIB期,常规的免疫+化疗方案疗效不佳,存在肿瘤耐药情况,可尝试载药微球支气管动脉化疗栓塞术,以期缩小病灶,为手术创造机会,呼吸介入团队经过缜密的术前讨论和评估,认为患者有BACE适应证。征得患者及家属充分知情同意后,呼吸介入团队成功为患者实施了BACE手术,术后造影显示肿瘤区造影剂滞留,血流速度明显减慢,封堵效果满意,标志着手术取得圆满成功。
▲省医派驻专家时丰带领呼吸介入团队行BACE术
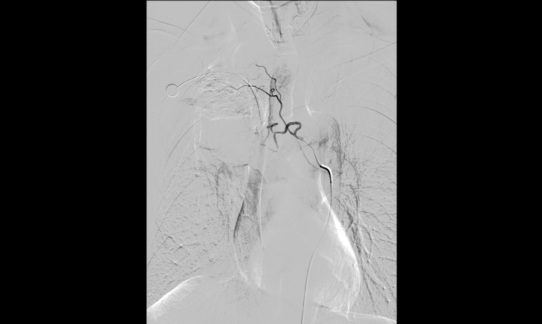
▲BACE术前肿瘤血供丰富(黄色箭头为肿瘤血供丰富处)
▲BACE术后肿瘤血流速度明显减慢
▲BACE术后肿瘤明显缩小
此次BACE手术的成功实施,不仅展现了我院呼吸与危重症医学科在肺部肿瘤治疗领域的专业实力,也体现了我院在精准医疗道路上的坚定步伐。我们将继续以患者为中心,不断探索和引进新技术,为患者提供更安全、更有效的治疗方案。
支气管动脉化疗栓塞术(BACE)
BACE是一种微创的介入治疗方法,通过将化疗药物直接输送到肿瘤的供血动脉,并结合栓塞材料阻断肿瘤血供,达到控制肿瘤生长的目的。与传统的全身化疗相比,BACE手术能够提高肿瘤局部的药物浓度,减少对正常细胞的损害,从而降低副作用,提高治疗效果。
BACE技术优势
1.精准靶向治疗:BACE通过将化疗药物直接灌注到肿瘤的供血动脉,实现对肿瘤细胞的精准打击。这种局部给药方式可以显著提高肿瘤区域的药物浓度,同时减少药物对全身其他正常组织的影响,降低系统性毒副作用。
2.微创性:与传统的开胸手术相比,BACE是一种微创治疗方法。它通过皮肤上的小切口进行血管穿刺,无需开刀,减少了患者的创伤和术后疼痛,加速了患者的恢复过程,尤其适合身体状况较差或不适合手术的患者。
3.综合治疗效果:BACE可以与其他治疗方法如手术、放疗、系统化疗、免疫治疗等联合应用,形成综合治疗方案。这种综合治疗策略可以针对不同阶段和类型的肺癌患者,提供个性化的治疗方案,提高治疗效果,延长患者生存期,并可能改善患者的生活质量。
呼吸与危重症医学科始终秉承“创新技术,精准医疗”的理念,以专业的技术、温馨的服务,为每一位患者的生命健康保驾护航。我们期待与您携手,共创健康未来。咨询预约电话:0762-3185659。
专家简介
罗少华
呼吸与危重症医学科学科带头人
主任医师
在广东省人民医院工作至今,长期从事呼吸内科方面的诊疗工作。对于肺部阴影、肺部结节、淋巴结肿大等征象,具有敏锐的鉴别能力,熟练掌握呼吸科常见疾病(如哮喘、慢阻肺、支扩、肺部肿瘤、胸腔积液、气胸、间质性肺病等)的诊治,对少见/罕见病也有着丰富的临床诊疗经验,擅长以呼吸内镜介入为主的多种技能及肺部肿瘤的全程综合管理(如气道支架置入、球囊扩张、活瓣肺减容、冷冻肺活检、热凝切、EBUS-TBNA、气道瘘封堵、硬质气管镜、内科胸腔镜、经皮肺穿刺活检术、输液港植入术、肺结节消融术等)。主持或者参与国家级或省级医学研究课题多项,发表论文十余篇。
门诊时间:每周二、周四上午
时丰
呼吸与危重症医学科副主任、人事科副科长
医学博士
在广东省人民医院工作至今,长期从事肺肿瘤介入方面的诊疗工作,精通肺结节消融、放射粒子植入、支气管动脉灌注术、支气管动脉化疗栓塞术等先进技术。他主持了多项国家级或省级医学研究课题,并在Radiology (IF 19.7)、Internal Journal of Surgery (IF 15.3)等国际专业权威杂志上发表了十余篇论文。
门诊时间:每周四全天
杨龙峰
呼吸与危重症医学科呼吸二区主任
主任医师
擅长对肺癌、肺结节、慢阻肺、哮喘、肺心病、肺部感染性疾病、呼吸衰竭、间质性肺病、胸膜疾病等呼吸系统疾病的诊治和呼吸介入诊疗技术。
门诊时间:每周一全天
刘国栋
呼吸与危重症医学科一区主任
主任医师
从事呼吸内科临床工作二十余年,具有深厚的专业理论知识和丰富的临床经验。擅长对支气管扩张、肺部真菌病、肺脓肿、支气管哮喘、慢性阻塞性肺疾病、肺血管疾病、间质性肺病、肺部肿瘤等呼吸系统疾病进行诊治,在呼吸内科常见病和疑难危重症的诊治方面积累了丰富经验。
门诊时间:每周五全天
陈勇
呼吸内镜中心主任副主任医师
擅长呼吸内科常见病、疑难病例的诊治,如:慢性咳嗽、上呼吸道感染、慢性阻塞性肺疾病、支气管哮喘、支气管扩张、肺炎、肺部肿瘤、气胸、肺结节、间质性肺炎等;擅长呼吸内镜介入治疗、内科胸腔镜、经皮肺穿刺活检等。
门诊时间:每周日全天











