栏目分类
新闻中心
“红眼”为何久不愈?神经介入擒顽凶!
来源: 发布时间:2024/10/17 作者:叶锦欢 阅读数:5058
近日,我院神经外科成功治愈一位“红眼”患者。28岁的冼女士反复出现红眼症状,多次在其他医院眼科求诊,但一直没有取得很好的治疗效果,经我院神经外科门诊检查发现,患者右侧眼球较明显突出、球结膜充血,为进行进一步检查,门诊医生将冼女士收治入院。经颅脑、颈部CTA提示,最终确诊为:右侧海绵窦区硬脑膜动静脉瘘。
▲硬脑膜动静脉瘘口及扩张的眼上静脉
患者签字同意手术后,神外手术团队先予局麻下完成脑血管造影DSA,提示:右侧海绵窦区硬脑膜动静脉瘘(CS-dAVF),供血动脉为颈外动脉脑膜分支,引流静脉为眼上静脉,动静脉之间多个瘘口,动脉血直接灌入海绵窦,导致静脉高压,眼上静脉扩张迂曲,为球结膜充血、眼球外突的原因。脑血管造影DSA与入院颅脑颈部CTA结果不同,脑血管造影为诊断金标准。
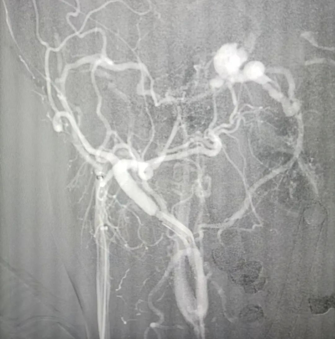
▲多角度造影,确认静脉通路
结合脑血管造影结果及临床表现,责任“顽凶”明确,有手术指征,责任病灶血管构筑复杂、手术难度大,我科术前召开多学科会诊为手术保驾护航。经讨论,拟全麻下行:右侧海绵窦区硬脑膜动静脉瘘弹簧圈联合Onyx胶栓塞术。
▲经颈外静脉通路微导管到达瘘口,弹簧圈联合Onyx胶成功栓塞
手术在气管插管全麻下进行,DSA造影下寻找到经右颈外静脉-眼上静脉通路,在微导丝辅助下将Marathon漂浮导管“翻山越岭”超选送至瘘口处,填入弹簧圈令静脉血缓慢、并起到“钢筋”固定作用,然后经同一根导管注入Onyx胶,胶水缓慢往瘘口及附近引流静脉弥散,最后多角度造影,提示瘘口已被“钢筋混泥土”栓塞。
▲患者术前、术后眼球对比
术后患者苏醒,右侧眼球充血及突眼症状立即明显减轻,近日已顺利出院。颅内硬脑膜动静脉瘘(dAVF)的治疗相对复杂、难度大,患者顺利出院表明我科神经血管介入水平再上新台阶。
▲手术专家团队
我院神经外科是具有综合救治能力的区域神经外科中心,依托广东省人民医院平台,我院神经外科得到高速长足发展,如有相关专科疾病,尽可移步至我科就诊。其中神经外科二区诊治范围:动脉瘤性蛛网膜下腔出血、颅内未破裂动脉瘤、脑动静脉畸形、颈内动脉海绵窦瘘、硬脑膜动静脉瘘、烟雾病等神经血管性疾病。
疾病科普
海绵窦区硬脑膜动静脉瘘(简称CS-dAVF):指累及海绵窦壁硬脑膜的异常动静脉“短路”,是较少见的神经血管病变,成人型dAVF年检出率约为0.16/10万人。发病机制不明,中年女性多见,可能与雌激素水平的改变、静脉窦炎及硬膜窦血栓、血管结构发育不良等有关。临床表现多样且缺乏特异性。部分病人最初的表现多是红眼,常就诊眼科,很多病人按结膜炎治疗,极少于神经外科门诊首诊。
CS-dAVF使高压动脉血直接灌入海绵窦,使海绵窦内压力增高,由于海绵窦向前通过眼眶静脉引流,眼静脉高压导致突眼、球结膜充血红肿。海绵窦向后通过岩下窦引流,由于海绵窦与颈内静脉存在较高的压力差,临床上还可以表现为颅内杂音(颅内与脉搏一致的吹风样杂音)。或海绵窦内的颅神经受到压迫,导致相关神经功能损伤,出现头痛、复视、面部疼痛麻木、眼球运动障碍等症状。
CS-dAVF诊断并不难,可通过临床表现、查体、CTA、MRI/MRA、DSA等确诊,同时要与颈动脉海绵窦瘘等血管病变鉴别。
CS-dAVF是一个动态性疾病,部分病人可自限,但其有瘘血向皮层引流而诱发颅内出血,以及眼上静脉高度充血造成视力下降的风险,这两点是介入手术处理海绵窦区硬脑膜动静脉瘘的主要适应症。根据分级(Barrow、Corgnard分级)及临床症状,有保守治疗、伽马刀、介入治疗等方式,其中介入手术为目前主要的治疗方案。因海绵窦区硬脑膜动静脉瘘血管构筑特点,手术难度及围手术期风险较高;确定供血动脉、瘘口、引流静脉、判断是否存在皮质静脉反流(CVR)、寻找合适通路为手术成功的关键。无论经岩下窦或直接静脉,还是动脉通路,使用弹簧圈联合Onyx胶栓塞为目前首选方案,必要时可采用球囊辅助、避免胶水往动脉弥散或误栓危险吻合支。
专家简介
陈光忠
我院神经外科客座教授
神经介入培训基地主任、医学博士、硕士研究生导师
主要社会任职:
●国家卫健委脑卒中防治专家委员会缺血性卒中外科专家委员会常务委员
●国家卫健委能力建设与继续医学教育中心神经介入专委会委员
●广东省医师协会神经介入医师分会主任委员
●广东省基层医药学会脑血管病介入专委会首届主任委员
●《中国脑血管病杂志》、《介入放射学杂志》编委
擅长脑、脊髓血管疾病的血管内介入治疗和外科手术治疗。尤其对颅内动脉瘤、脑动静脉畸形、硬脑膜动静脉瘘、脑动脉狭窄和颅内静脉窦血栓等脑血管疾病的微创介入治疗及颈动脉狭窄的内膜剥脱和介入、颈动脉慢性闭塞再通的复合手术等具有较深的造诣。
王鹏
副院长、神经外科学科带头人
主任医师、医学博士、教授、硕士研究生导师
主要社会任职:
●广东省人民医院神经外科功能与脊柱脊髓亚专业组组长
●广东省杰出青年医学人才
●中国研究型医院协会脊柱脊髓专业委员会委员
●广东省医学会神经外科分会青年委员会副主任委员
●广东省医学会创伤委员会委员
●广东省医师协会神经外科分会第三届青委会副主任委员
擅长显微手术治疗颅内和椎管内各种肿瘤如脑膜瘤、胶质瘤、颅咽管瘤、听神经瘤、转移瘤、海绵状血管瘤、神经鞘瘤、室管膜瘤、胆脂瘤、血管母细胞瘤等。在三叉神经痛、面肌痉挛的微血管减压术、复杂脑积水等疾病的外科治疗上具有丰富的临床经验。专长于脊髓脊柱疾病的微创手术治疗。
门诊时间:每周四上午
杨建雄
神经外科主任兼一区主任
主任医师
主要社会任职:
●河源市医学会神经外科分会主任委员
●广东省基层医药学会神经外科专委会副主任委员
从事神经外科工作20多年。获得市科学技术进步奖一等奖1次,二等奖2次,三等奖1次。发表专业学术论文10多篇。专长:颅脑损伤、脑肿瘤、脑血管、先天畸形等神经外科疾病的诊治,对重型颅脑损伤、高血压脑出血等有丰富的临床经验。
门诊时间:每周二上午
叶志其
神经外科二区负责人
主任医师、外科第三党支部书记
主要社会任职:
●河源市医学会神经外科分会副主任委员、秘书长
●广东省基层医药学会神经外科专委会常委
对神经外科常见疾病的诊治有丰富的临床经验,如:脑肿瘤、颅脑损伤、脑出血、三叉神经痛、面肌痉挛、颅内感染、各种先天畸形等,对重型颅脑损伤的手术救治、高血压脑出血的各种手术治疗有深度造诣和独到见解,能开展脑肿瘤、三叉神经痛、面肌痉挛等疾病在显微镜或神经内镜下微创手术。
门诊时间:每周四上午
刘胜初
神经外科副主任医师、神经外科介入组长
主要社会任职:
●省基层医药学会脑血管病介入专委会副主任委员
●省精准医学应用学会神经肿瘤分会副主任委员
●省医师协会神经介入分会常委
2012年主导成立神经外科脑血管病介入组,开创性开展脑血管病介入治疗,介入诊疗脑血管病1000余例,多项技术填补河源市空白,获得良好的社会、经济效果。近30年来致力于颅脑损伤、颅内肿瘤、脑出血、脑血管病等神经外科疾病的临床研究和诊疗工作取得了显著成绩。获得河源市科技进步奖一、二、三等奖多次;获得广东省卫生厅科研立项一次,发表论文20余篇。
门诊时间:请在河源市人民医院官网或官方微信公众号上提前查询
钟云天
神经外科副主任医师
2004年广东医科大学临床医学系本科毕业,暨南大学医学院在职研究生结业;专业擅长:颅脑创伤及神经重症的临床救治,脑出血的病因学诊断及手术治疗,脑动脉瘤、脑AVM、DAVF、烟雾病等脑血管病的DSA诊断及相关介入治疗。主持或参与多项市级相关专业的科研立项课题,在省级及国家级刊物上发表专业论文多篇。
门诊时间:每周五下午
叶锦欢
神经外科副主任医师
2007年毕业于中山大学中山医学院临床本科,2019年于广州南方医科大学南方医院神经外科脑血管介入组进修一年。从事神经外科十余年,擅长脑血管疾病、颅脑损伤及神经外科重症等专科疾病的诊治。
门诊时间:每周四下午













