栏目分类
新闻中心
团队协作解除颅内危机,妙手摘除巨大富血流肿瘤
来源: 发布时间:2024/10/8 作者:叶衍宏 阅读数:3661
66岁的吴阿姨突发头晕摔伤倒地,在当地医院完善颅脑CT检查发现颅腔左额部有一巨大的肿瘤,吴阿姨及家人对此忧心忡忡,颅内巨大占位成了一家人的“头”等难题。经过多方打听,患者家属得知我院神经外科有省医派驻专家王鹏,遂到我院神经外科就诊。
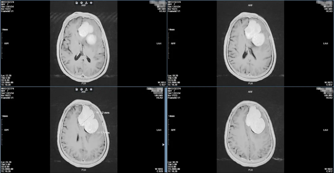
▲肿瘤大小约78mm×47mm×43mm
▲脑血管造影显示肿瘤血供丰富
▲介入栓塞责任动脉
经过详细的颅脑增强磁共振检查发现吴阿姨为左侧额部巨大镰旁脑膜瘤,必须要尽快手术治疗,但肿瘤位于功能区旁且体积巨大,血供丰富,手术难度大、风险高,稍有不慎即可引起患者肢体偏瘫、失语、昏迷甚至危及生命可能。我院神经外科学科带头人王鹏副院长组织了术前多学科讨论,因肿瘤血供丰富,体积巨大,直接手术治疗面临术中失血多、手术时间长等困难,最终决定由神经外科介入团队先行介入栓塞治疗后再进行开颅脑膜瘤切除术。
▲患者手术进行中
术前与吴阿姨及家属充分沟及取得同意后,神经外科团队在王鹏副院长的带领下,由介入团队在全麻下先行经导管颅内血管栓塞术,后行开颅左额部镰旁巨大脑膜瘤切除术,术中在显微镜下,王院长带领神经外科团队成功全切肿瘤。
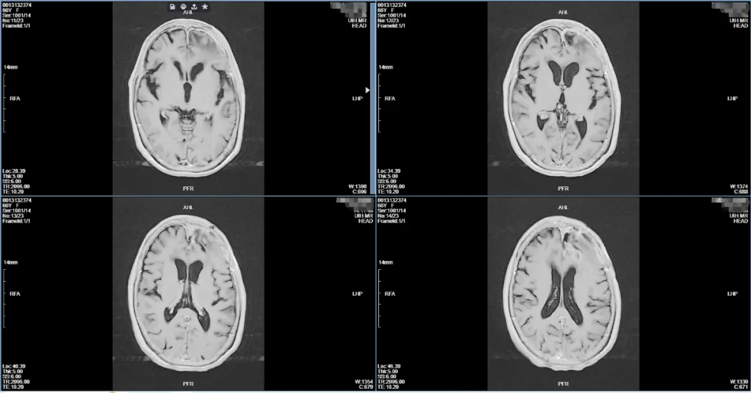
▲术后复查肿瘤全切,脑结构恢复正常
术后吴阿姨恢复良好,无言语功能障碍及偏瘫,患者及家属对手术结果非常满意。
疾病小科普
脑膜瘤是常见的良性颅内肿瘤,约占颅内肿瘤的15%—20%。其好发于成年人,老年人与儿童较少,女性发病率稍高于男性。疾病早期患者常常只有轻微头痛,呈间歇性。但经数月、数年,肿瘤长得较大时随着颅内压力增高,头痛转为经常性,程度亦有所加重,或伴有视力下降及精神症状。当颅内压力增高到相当严重时,患者视力会明显下降乃致失明,眼底检查可见视神经乳头高度水肿或继发性萎缩。若肿瘤位于重要功能区时,可较早地出现神经系统定位症状,如癫痫发作引起晕厥、对侧肢体肌力减退、感觉障碍或共济失调等。故凡成年人出现上述症状或体症,应及时就诊并进一步检查以明确诊断,适时手术治疗。
专家简介
王鹏
副院长、神经外科学科带头人
主任医师、医学博士、教授、硕士研究生导师
擅长显微手术治疗颅内和椎管内各种肿瘤如脑膜瘤、胶质瘤、颅咽管瘤、听神经瘤、转移瘤、海绵状血管瘤、神经鞘瘤、室管膜瘤、胆脂瘤、血管母细胞瘤等。在三叉神经痛、面肌痉挛的微血管减压术、复杂脑积水等疾病的外科治疗上具有丰富的临床经验。先后于2015年至美国Barrow神经科学研究所,2017年至北京宣武医院系统学习神经脊柱脊髓显微外科技术,专长于脊髓脊柱疾病的显微手术治疗。擅长微创治疗椎管内外各种肿瘤、椎间盘突出、椎管狭窄、Chiari畸形、脊髓空洞症、脊髓栓系综合征等脊柱脊髓疾病。长期专研于脑胶质瘤的基础及临床研究。
门诊时间:每周四上午
杨建雄
神经外科主任兼一区主任
主任医师
专业专长:颅脑损伤、脑肿瘤、脑血管、先天畸形等神经外科疾病的诊治,对重型颅脑损伤、高血压脑出血微创手术治疗等有丰富的临床经验。近30年来一直致力于颅脑创伤、颅内肿瘤、脑出血等神经外科疾病的基础研究和临床救治工作,多次获得市科学技术进步奖:一等奖1次、二等奖2次、三等奖1次;发表专业学术论文10多篇,参与了经典神经外科手术系列丛书《高血压脑出血微创治疗学》学术专著编写。中国医师协会认证的神经外科专科医师。荣获“岭南名医”称号。
门诊时间:每周二上午
叶志其
神经外科一区副主任兼神经外科二区负责人
主任医师
专业专长:对神经外科常见疾病的诊治有丰富的临床经验,如:脑肿瘤、颅脑损伤、脑出血、三叉神经痛、面肌痉挛、颅内感染、各种先天畸形等,对重型颅脑损伤的手术救治、高血压脑出血的各种手术治疗有深度造诣和独到见解,能开展脑肿瘤、三叉神经痛、面肌痉挛等疾病在显微镜或神经内镜下微创手术。
门诊时间:每周一上午









