栏目分类
新闻中心
我院呼吸与危重症医学科成功治愈罕见肺诺卡菌感染
来源: 发布时间:2024/11/19 作者:张金红 阅读数:5988
75岁的周先生,近期无明显诱因出现反复发热、咳嗽、咳痰,伴右侧胸痛。起初在外院因腰痛住院,经治疗后腰痛症状好转,又开始出现发热,伴咳嗽、咳痰,咳嗽时伴有右侧胸痛,经完善胸部CT等相关检查检验,初步考虑“肺部感染”,经抗感染治疗一周后仍有发热,遂来我院就诊。
患者入院时有发热、白细胞升高(白细胞计数26.37×10^9/L),予派拉西林他唑巴坦抗感染治疗,但是治疗3天后,仍有发热(最高38.8℃),这时,一个关键的结果出来了,痰涂片:革兰阳性直角分枝状菌丝,未端不膨大,弱抗酸染色阳性,形似诺卡菌属。我院医师团队立即改用亚胺培南西司他丁联合复方磺胺甲噁唑抗感染治疗,但患者发热情况未得到改善。
呼吸与危重症医学科一区刘国栋主任医师团队再次对患者的病情进行了深入的分析讨论,从临床症状和检验检查,诊断肺诺卡菌病明确,但经上述治疗仍效果不佳,需要考虑合并其他病原体感染;而病原学检测是确诊肺诺卡菌病的关键,通过痰液、支气管肺泡灌洗液或肺组织活检等样本进行细菌培养和鉴定,可以明确病原体种类,此外,随着分子检测技术的发展,如mNGS(宏基因组下一代测序)等,可以在更短时间内快速检测出病原体,提高诊断效率。因此,针对患者此次病情,我们安排了支气管肺泡灌洗液微生物培养及mNGS样本的送检。结果与我们的预期相符,患者的肺泡灌洗液mNGS提示新星肺诺卡菌、胞内分支杆菌混合感染。
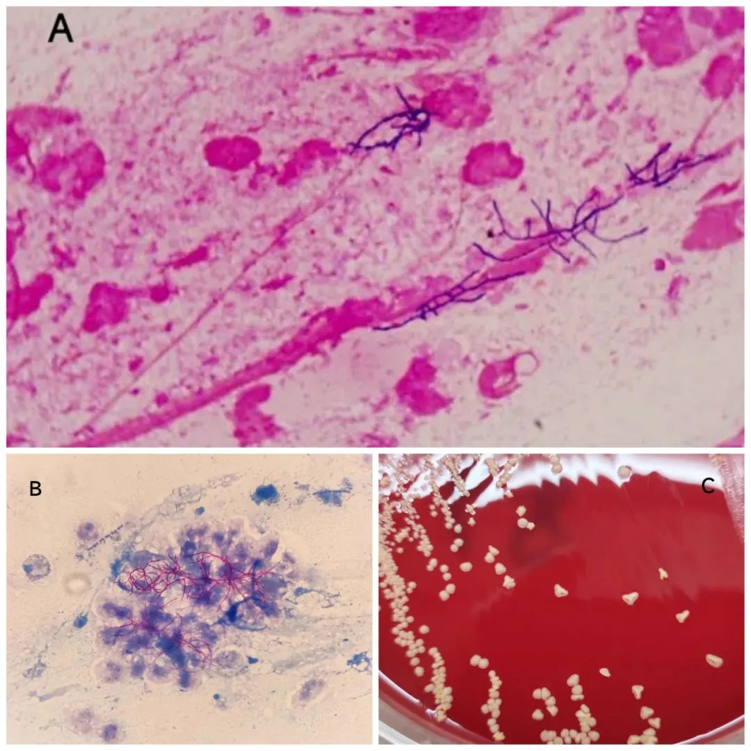
▲A:痰涂片革兰染色G+杆菌;B:弱抗酸染色阳性;C:痰培养3天诺卡菌菌落
最后,医师团队予加用阿米卡星、克拉霉素、利福平、乙胺丁醇;治疗3天后,患者体温终于恢复正常。经过对病情抽丝剥茧,细致分析,即予以规范治疗,患者病情逐渐好转,复查胸片、胸部CT病灶吸收,目前仍在巩固治疗阶段。
▲8月25日胸部CT
▲9月5日复查胸部CT
▲患者入院时白细胞计数变化情况
▲患者入院时中性粒细胞百分比变化情况
▲患者入院时降钙素原变化情况
▲患者入院时超敏C反应蛋白变化情况
在医学领域,肺部感染性疾病种类繁多,其中肺诺卡菌病(PN)和鸟胞内分支杆菌(MAC)感染是两种较为罕见的但值得关注的疾病。当这两种病原体同时侵袭肺部时,治疗难度和复杂性显著增加。
肺诺卡菌病是由诺卡菌属(Nocardia)的细菌引起的肺部化脓性肉芽肿性病变。诺卡菌广泛存在于土壤、水域和空气中,人主要通过吸入菌丝片段而感染。该疾病常见于免疫功能低下的患者,如淋巴瘤、器官移植和艾滋病患者等,但免疫功能正常者也可感染,多合并结核、支气管扩张或尘肺、糖尿病和营养不良等肺部结构异常或慢性消耗性疾病?。胞内分支杆菌又称为鸟胞内分支杆菌(MAC),属于非结核分枝杆菌,其感染可引起人畜共患性传染病,可侵害多种组织器官,包括肺、骨髓、淋巴结、皮肤软组织和播散性病变,以MAC肺病最常见。其临床表现多样,易与肺结核等疾病相混淆。当肺诺卡菌病与鸟胞内分支杆菌感染同时发生时,其临床症状和影像学表现可能更加复杂和难以区分。两者均可引起咳嗽、咳痰、发热、呼吸困难等症状,且肺部CT检查可能显示多种病变,如斑片影、结节影、空洞等。由于两种病原体的致病机制和临床表现存在重叠,因此诊断时需要综合考虑多种因素。
针对肺诺卡菌病和鸟胞内分支杆菌感染,药物治疗是主要手段。对于PN,磺胺类药物是首选治疗药物,如复方磺胺甲噁唑。对于MAC感染,则常采用大环内酯类抗生素、利福平或乙胺丁醇等药物进行治疗。当两种病原体同时感染时,可能需要联合使用多种抗生素进行治疗。
总之,肺诺卡菌病合并鸟胞内分支杆菌感染是一种复杂的肺部疾病,早期诊断和及时有效的治疗,有助于改善预后,但对于病情严重或伴有基础疾病的患者,预后可能较差。因此,加强免疫力、避免接触可能的病原体来源(如避免在污染的土壤环境中工作、保持良好的个人卫生)对于高危人群尤为重要。
专家简介
时丰
省医派驻专家、呼吸与危重症科副主任、人事科副科长
主治医师、博士研究生
从事介入微创治疗临床工作12年。擅长肿瘤和常见疾病的介入微创治疗,尤擅长肺部肿瘤的微创治疗和肝脏肿瘤的综合治疗。《中华介入放射学杂志》通讯编委,主持国家自然科学基金、广州市科技基金等科研项目。作为第一作者或通讯作者于Radiology (IF 19.7)、Internal Journal of Surgery (IF 15.3)等国际专业权威杂志发表十余篇。
门诊时间:每周四全天
杨龙峰
呼吸与危重症医学科呼吸二区主任、主任医师
擅长对肺癌、肺结节、慢阻肺、哮喘、肺心病、肺部感染性疾病、呼吸衰竭、间质性肺病、胸膜疾病等呼吸系统疾病的诊治和呼吸介入诊疗技术。
门诊时间:每周一全天
刘国栋
呼吸与危重症医学科一区主任、主任医师
从事呼吸内科临床工作二十余年,具有深厚的专业理论知识和丰富的临床经验。擅长对支气管扩张、肺部真菌病、肺脓肿、支气管哮喘、慢性阻塞性肺疾病、肺血管疾病、间质性肺病、肺部肿瘤等呼吸系统疾病进行诊治,在呼吸内科常见病和疑难危重症的诊治方面积累了丰富经验。
门诊时间:每周五全天
陈勇
呼吸内镜中心主任副主任医师
擅长呼吸内科常见病、疑难病例的诊治,如:慢性咳嗽、上呼吸道感染、慢性阻塞性肺疾病、支气管哮喘、支气管扩张、肺炎、肺部肿瘤、气胸、肺结节、间质性肺炎等;擅长呼吸内镜介入治疗、内科胸腔镜、经皮肺穿刺活检等。
门诊时间:每周日全天












