栏目分类
新闻中心
【承载省医水平 技术不断进步】呼吸与危重症医学科介入团队成功实施支气管镜激光消融术
来源: 发布时间:2024/12/6 作者:张雯 阅读数:5307
呼吸与危重症医学科介入团队于近日完成了一项高难度的激光消融手术,这是省医专家罗少华主任离任后,科室介入团队独立完成的一例复杂的支气管镜下激光消融手术,真正做到“人走技术在”,实现了省医帮扶我院的预期目标。
一名73岁的男性因“活动后气促2月余,加重10天”入院。此前,患者在南方医科大学南方医院被诊断为左肺上叶肺门处纵膈型肺癌,肿瘤已侵犯左主支气管等关键结构,导致严重的气道阻塞。虽然患者年纪较大且病情复杂,呼吸与危重症医学科介入团队仍决定挑战困难,经过科室的会诊和充分讨论,决定行激光消融手术,对患者实施了气管镜下气管病损激光烧灼术及支气管镜下支气管活检,以缓解患者的气道阻塞状况。
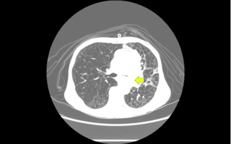
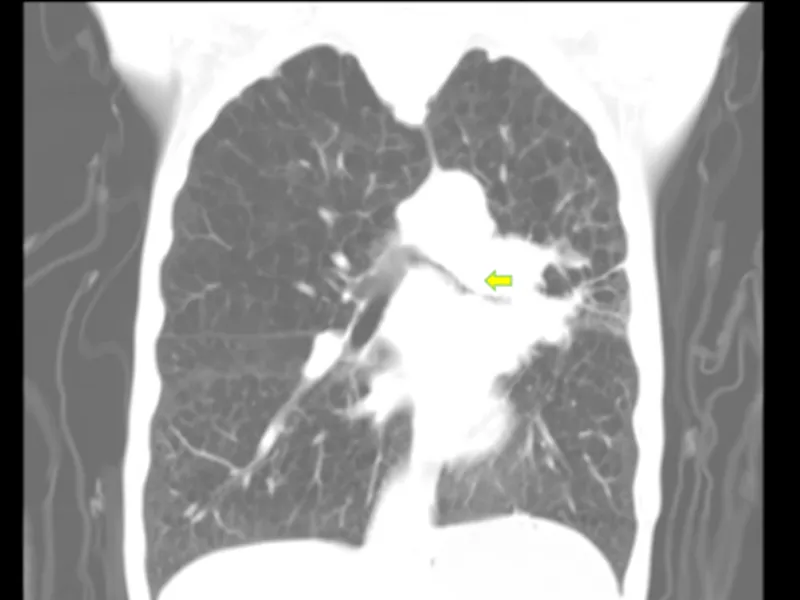
▲左肺门-纵隔肿块(黄色标记狭窄区域)
术中发现左主支气管黏膜严重肿胀、增粗,左肺上叶支气管被新生物完全堵塞,左肺下叶支气管极重度狭窄。手术团队运用激光技术成功消融了管腔内的新生物,扩大了左肺下叶支气管管腔,使得4.2mm的气管镜能够自由通过,有效缓解了患者的气道阻塞症状。
▲呼吸与危重症医学科介入团队在手术中
术后,患者的气促症状显著减轻,精神状态和生活质量均有所改善。呼吸与危重症医学科介入团队将继续密切监测患者的恢复情况,并提供必要的支持治疗。此次手术的成功不仅为患者带来了新的希望,也为医院在呼吸疾病治疗领域积累了宝贵的经验。
▲呼吸与危重症医学科介入团队
在省医专家罗少华主任三年来的精心指导和帮助下,我院呼吸与危重症医学科不断追求技术创新,开展了众多呼吸介入技术,显著提高了我院在呼吸疾病治疗方面的专业实力。呼吸与危重症医学科介入团队将为广大患者提供更安全、更有效的治疗方案,共同迈向更加健康的未来。
专家简介
时丰
省医派驻专家、呼吸与危重症医学科副主任、人事科副科长
主治医师、医学博士
从事介入微创治疗临床工作12年。擅长肿瘤和常见疾病的介入微创治疗,尤擅长肺部肿瘤的微创治疗和肝脏肿瘤的综合治疗。《中华介入放射学杂志》通讯编委,主持国家自然科学基金、广州市科技基金等科研项目。作为第一作者或通讯作者于Radiology (IF 19.7)、Internal Journal of Surgery (IF 15.3)等国际专业权威杂志发表十余篇。
门诊时间:每周四全天
杨龙峰
呼吸与危重症医学科副主任兼呼吸二区主任、主任医师
擅长对肺癌、肺结节、慢阻肺、哮喘、肺心病、肺部感染性疾病、呼吸衰竭、间质性肺病、胸膜疾病等呼吸系统疾病的诊治和呼吸介入诊疗技术。
门诊时间:每周一全天
刘国栋
呼吸与危重症医学科一区主任、主任医师
从事呼吸内科临床工作二十余年,具有深厚的专业理论知识和丰富的临床经验。擅长对支气管扩张、肺部真菌病、肺脓肿、支气管哮喘、慢性阻塞性肺疾病、肺血管疾病、间质性肺病、肺部肿瘤等呼吸系统疾病进行诊治,在呼吸内科常见病和疑难危重症的诊治方面积累了丰富经验。
门诊时间:每周五全天
陈勇
呼吸内镜中心主任、副主任医师
擅长呼吸内科常见病、疑难病例的诊治,如:慢性咳嗽、上呼吸道感染、慢性阻塞性肺疾病、支气管哮喘、支气管扩张、肺炎、肺部肿瘤、气胸、肺结节、间质性肺炎等;擅长呼吸内镜介入治疗、内科胸腔镜、经皮肺穿刺活检等。
门诊时间:每周日全天









