栏目分类
新闻中心
【科普】关于肺癌多发结节手术干预的时机——从一例右上肺多发结节术后病例谈起
来源: 发布时间:2025/3/27 作者:彭勇 阅读数:5453
一、案例分享
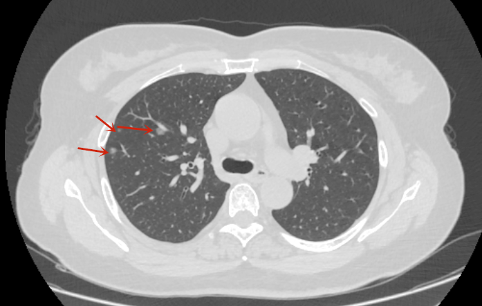
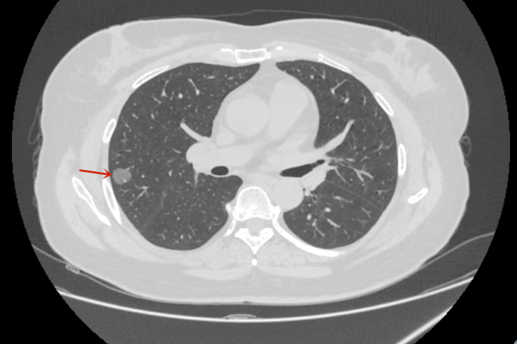
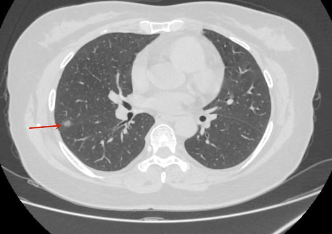
患者张女士在体检中发现右上肺多发结节结节,最大直径约1.2cm,经影像学评估后,医生建议行右上肺叶切除术。术后病理确诊为微小浸润性肺腺癌,属于早期肺癌。目前患者恢复良好,术后无需接受化疗,仅需定期复查。
▲胸部CT是右上肺、右中肺多发肺结节(箭头所示)
▲术后病理报告
这一案例揭示了肺癌多发结节诊疗中的关键问题:何时需要手术?如何平衡治疗效果与生活质量?
二、认识肺癌多发结节
1.肺结节的定义。肺结节是影像学上直径≤3cm的类圆形病灶,可能由炎症、良性肿瘤或肺癌引起。多发结节指肺部存在≥2个结节,需警惕多原发肺癌或转移癌的可能。
2.多发结节更需关注。约10%-20%的多发结节为多原发肺癌,可能与遗传、长期吸烟、空气污染等因素相关。微小浸润性腺癌(如案例中的病理类型)属于早期肺癌,手术治愈率超95%。
三、手术干预的决策关键
1.需要手术的情况。结节直径≥8mm,或随访中体积增大、密度增高(提示恶性可能)。病理明确为浸润性癌,或高危影像特征(如分叶、毛刺、空泡征)。
2.手术方式的选择。肺叶切除术(如案例中的右上肺叶切除):适用于病灶集中、需彻底清除恶性组织的情况,但可能损失部分肺功能。亚肺叶切除(楔形/肺段切除):适合小结节或肺功能较差者,需严格评估病灶位置。
3.特殊人群的考量。高龄、心肺功能差者:可考虑射频消融等微创治疗,降低手术风险。多结节分散者:优先切除风险最高的病灶,其余结节密切随访。
四、术后管理与生活建议
1.术后恢复要点。疼痛管理:微创手术创伤小,术后1-2周可恢复日常活动。肺功能锻炼:通过深呼吸、爬楼梯等训练促进肺扩张。
2.长期随访计划。每3-6个月复查胸部CT,持续5年。警惕新发结节,早发现可再次微创干预。
3.生活方式调整。戒烟并远离二手烟、厨房油烟。均衡饮食,适当运动(如散步、太极),过度避免焦虑。
五、患者常见疑问解答
1. “切了肺叶,会影响呼吸吗?”人体有5个肺叶,切除1叶后剩余肺组织可通过代偿维持功能,多数患者日常活动不受限。
2. “多发结节会复发吗?”早期肺癌(如微小浸润腺癌)复发率极低,但需定期复查以监测其他结节变化。
3. “术后需要化疗吗?”微小浸润腺癌无需化疗,若病理提示高危因素(如脉管侵犯),医生会个性化制定方案。
六、专家提醒
多学科诊疗(MDT):胸心外科和乳腺外科、影像科、肿瘤科联合评估,制定最优方案。通过科学诊疗与规范随访,多数肺癌多发结节患者可获得长期生存。正如案例中的张女士,早期发现、精准干预是战胜疾病的关键。
专家简介
张广云
胸心外科和乳腺外科主任、主任医师
曾在中山大学肿瘤医院胸外科进修一年,广东省人民医院心研所进修心外科半年。擅长胸腔镜下纵隔肿瘤、肺癌、肺结节、漏斗胸、手足多汗症微创手术、食管癌手术及乳腺癌手术为主的综合治疗。
门诊时间:每周一全天
邬艺忠
胸心外科和乳腺外科主任医师
胸外科和乳腺外科临床工作10余年,临床经验丰富,擅长胸腔镜下纵隔肿瘤、肺癌、肺结节、漏斗胸、手足多汗症微创手术治疗,以及胸外伤等抢救治疗。
门诊时间:请在河源市人民医院官网或官方微信公众号上提前查询
江振强
胸心外科和乳腺外科副主任医师
胸外科和乳腺外科临床工作10余年,2019年在广州医科大学附属第一医院胸外科进修一年,擅长肺部肿瘤、肺小结节、纵膈肿瘤、食管肿瘤、手汗症、自发性气胸、乳腺癌、乳腺良性肿瘤等疾病的微创治疗,在国内期刊发表论文10余篇。
门诊时间:请在河源市人民医院官网或官方微信公众号上提前查询








