栏目分类
新闻中心
新技术助力我院泪道诊疗实现精准治疗新突破
来源: 发布时间:2025/5/14 作者:曹泽刚 阅读数:3271
莫名流泪未必是多愁善感,可能是眼睛"下水道"——泪道系统出了问题。持续性溢泪症状,尤其遇风加剧,往往提示泪道阻塞等疾病,建议尽早就诊眼科检查泪道功能。
泪道疾病主要是指泪道发生阻塞(包括上下泪小点狭窄或膜闭,泪小管阻塞、泪总管阻塞、鼻泪管阻塞)和细菌感染时、甚至极少见的泪道肿瘤,引起患者眼红、溢泪、眼分泌物增多的一类疾病。泪道疾病的病人长期流泪,不仅影响视力,严重还会影响外观。
为进一步提高我院在泪道疾病方面的诊疗技术水平,眼科派出科室泪道专科医师赴中山大学眼科中心进修泪道专科半年,学习期间,在中山大学眼科教授的指导下独立完成数十例泪囊鼻腔吻合手术及相关泪道手术。近期,在严格评估术前检查及手术适应症后,我院眼科曹泽刚副主任医师成功实施了泪囊造影CT检查技术、泪囊鼻腔吻合术(经鼻镜)、泪小点成形术、泪小点肿物切除术、新型鼻泪管支架吻合外伤性泪小管断裂等手术,取得良好的术后效果。
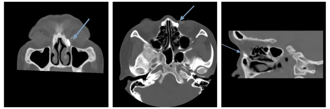
泪囊造影CT
泪囊造影CT具有全面无创评估泪道系统及邻近组织结构的优点,图像分辨率高,对泪道全程对比剂显影清晰,有利于判断和评估完全阻塞和部分阻塞及阻塞部位,已成为术前评估、疗效和预后预测以及术后复查的常用方法
泪囊鼻腔吻合术
泪囊鼻腔吻合术后:泪囊吻合形态良好,术后患者溢泪明显缓解,该手术同时也是河源市首台由眼科医生完成的泪囊鼻腔吻合手术(经鼻镜)。
泪小点成形术
▲术前下泪小点完全闭锁,患者持续溢泪
▲术后泪小点形成,形态良好,患者溢泪完全缓解
新技术的成功开展标志着我院眼科在泪道疾病的治疗上有了突破性的进展,能为以流泪为主要表现的泪道疾病患者提供更加便捷、更高质量的医疗服务。
专家简介
董欣然
省医派驻专家、眼科副主任、浙江大学医学博士
社会学术任职
• 广东省健康管理学会眼科专业委员会委员
• 广东省眼健康协会整形美容专业委员会委员
• 广东省女医师协会老年病防治专委会委员
从事眼科临床工作10年余,对屈光不正、白内障、眼表疾病、青光眼、眼底病、泪器疾病与眼整形、眼眶病的诊治具有丰富的临床经验。尤其擅长各种复杂泪道疾病微创综合手术、眼部医学美容整形手术、复杂白内障手术等。曾赴日本大阪大学医学部、美国布朗大学医学院留学、进修访问。参与国家自然科学基金项目3项,主持广州市科技计划项目1项。
门诊时间:每周二全天
李仁芳
眼科主任、主任医师
曾先后以第一完成人获市厅级科技进步奖四次,获国家医学发明专利一项,在国家级等专业杂志发表论文近二十篇。2017年入选广东省岭南名医录。擅长手术有:白内障超声乳化联合人 工晶体植入术,准分子激光手术,抗青光眼术,眼底激光光凝术,泪道再通术,眼外伤修复术,眼部肿瘤切除术,玻璃体切除术,斜视矫正术,角膜缘干细胞移植治疗相关眼表疾病手术,眼部整形、美容术等等。此外,尤其精通少年儿童视力问题的诊治,可为高难度近视、远视、散光及斜弱视患儿进行个性化屈光矫正。
门诊时间:每周一上午、周三下午、周日全天
沈华墨
眼科主任医师
从事眼科临床工作近20年,眼科临床经验丰富,擅长白内障超声乳化摘除联合人工晶体植入术、抗青光眼手术、眼前段及眼后段激光手术、眼部整形手术、泪道手术,眼外伤手术,擅长糖尿病性视网膜病变、视网膜静脉阻塞、老年性黄斑变性等眼底病的药物及激光治疗。
门诊时间:请在河源市人民医院官网或官方微信公众号上提前查询
曹泽刚
眼科副主任医师
2008年毕业后一直从事眼科临床与教学工作,具有扎实的理论基础、丰富的临床经验,曾于中山大学眼科中心进修眼底外科、眼整形与泪道专科。擅长白内障、青光眼、斜视、上睑下垂、泪道阻塞、眼底疾病、各种眼外伤的手术。对青少年近视防控也有深入的研究。目前完成各类眼科手术超10000例。
门诊时间:请在河源市人民医院官网或官方微信公众号上提前查询











