栏目分类
新闻中心
【微创技术再突破】肝胆胰外科和甲状腺外科成功完成多例全腹腔镜下先天性胆总管囊肿根治术
来源: 发布时间:2025/7/7 作者:李启晋 阅读数:2852
近日,肝胆胰外科和甲状腺外科团队再次成功为一名先天性胆总管囊肿(I型)患者实施了全腹腔镜下胆总管囊肿切除+胆总管-空肠Roux-en-Y吻合术。在省医专家侯宝华、林叶指导下,我科近年来独立开展该类手术已有数十例,该手术的成功再次反映肝胆外科在微创治疗胆总管囊肿领域已达到成熟水平,能为患者提供更精准、更安全的治疗选择。
患者陈女士因腹部不适在外院检查发现胆总管异常,来我院就诊。经CT、MRCP等检查确诊为先天性胆总管囊肿(I型),胆总管呈囊柱状扩张,直径达5cm,伴胆汁淤积,考虑到囊肿癌变风险及反复感染可能,肝胆外科团队为其制定了全腹腔镜下胆总管囊肿切除+胆总管-空肠Roux-en-Y吻合术的微创治疗方案。
▲术前增强CT检查图片及报告
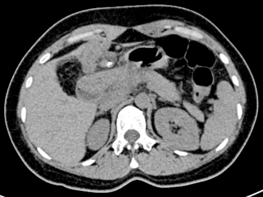
手术过程顺利,术中精准剥离囊肿并重建胆道,出血量不足50ml。得益于腹腔镜技术的精细化操作,陈女士术后第一天即可下床活动,胃肠功能恢复迅速,术后三天拔除引流管。病理检查排除恶变,印证了手术时机的科学性。住院期间,医护团队通过加速康复外科(ERAS)理念管理,结合早期肠内营养支持及阶梯式镇痛方案,术后第五天各项指标均正常,切口愈合良好,顺利出院。
▲术后复查CT检查图片及病理报告
如今,陈女士已回归正常生活,定期随访显示胆肠吻合口通畅无狭窄。这个案例也印证了成人先天性胆管囊肿通过规范化手术可获得根治性疗效,微创技术与围术期管理的进步正不断改写这类疾病的治疗体验。
先天性胆总管囊肿(CDC)是一种较为少见的胆道系统先天性疾病,若未及时治疗,可能导致反复胆管炎、肝硬化甚至癌变。随着腹腔镜技术的进步,微创手术已成为该病的首选治疗方式。
疾病科普
什么是先天性胆总管囊肿。先天性胆总管囊肿是指胆总管局部或弥漫性囊状扩张,根据Todani分型可分为5种类型,其中I型最为常见,占全部类型50%-80%。其发病机制主要与以下因素相关:1.胰胆管合流异常:胰管与胆管在十二指肠壁外汇合,导致胰液反流入胆管,破坏胆管壁结构,引发扩张。2.胆管壁先天性发育缺陷:胆管壁缺乏正常弹力纤维和肌层,在胆汁压力作用下逐渐扩张。3.遗传因素:部分病例有家族聚集倾向,可能与基因突变相关。
流行病学特点。1.女性发病率高于男性(约3:1)。2.约80%在儿童期发病,但20%可至成年才被发现。3.亚洲人群发病率显著高于欧美。
胆总管囊肿的临床表现。患者症状因年龄而异,典型表现包括:1.儿童患者:腹痛(右上腹隐痛或绞痛);黄疸(胆汁排出受阻);腹部包块(可触及囊性肿物);陶土样大便(胆道梗阻导致胆汁无法进入肠道)。2.成人患者:反复胆管炎(发热、寒战、黄疸);胰腺炎发作(胰液反流引起);癌变风险,未经治疗者,成年后胆管癌风险高达10%-30%。
诊断方法。超声检查:初筛手段,可发现胆管扩张。MRCP(磁共振胰胆管成像):无创、高分辨率,可清晰显示囊肿范围及胰胆管合流情况。CT三维重建:评估囊肿与周围血管的关系,制定手术方案。
胆总管囊肿的治疗。手术是唯一根治手段,最新指南(2024)明确指出:一旦确诊,应尽早手术,以避免胆管炎、肝硬化、癌变等严重并发症。相对于传统开放手术,腹腔镜微创手术有创伤小、恢复时间快、并发症发生率低等优势,目前已成为首选,尤其适用于儿童及年轻患者。
▲手术胆肠吻合示意图
我院肝胆外科的技术优势。这类手术的成功,体现了我院肝胆外科团队在微创胆道手术领域的领先水平:成熟的腹腔镜技术:已完成数十例同类手术,无严重并发症。多学科协作(MDT):联合麻醉科、影像科、重症医学科,确保手术安全。快速康复外科(ERAS)理念:优化围手术期管理,早期恢复饮食,缩短住院时间。
先天性胆总管囊肿虽属良性疾病,但潜在风险高,早诊断、早手术是关键。腹腔镜微创手术以其创伤小、恢复快的优势,已成为治疗金标准。我院肝胆外科将持续优化技术,为更多患者提供高质量的诊疗服务。
温馨提示:若您或家人出现反复腹痛、黄疸、不明原因胆管扩张,请及时至肝胆外科就诊,早发现、早治疗可显著改善预后!
专家简介
林叶
广东省人民医院肝胆外科主任医师、医学博士
我院肝胆胰外科和甲状腺外科客座教授
德国圣约瑟夫纪念医院访问学者,20年来致力于肝胆胰脾疾病的治疗,尤其擅长于原发性肝癌、肝血管瘤、肝门部胆管癌、中下段胆管癌、肝内外胆管结石、门脉高压、脾脏疾病、胆囊癌、胆囊结石、胆囊息肉、先天性胆总管囊肿的外科治疗,熟练掌握肝胆胰脾外科各种复杂的手术。近年主持广东省自然科学基金、广东省医学科研基金以及广州市科技计划项目等3项。以第一作者及通讯作者发表SCI论文20余篇。荣获2022年 “羊城好医生”称号。
门诊时间:请在河源市人民医院官网或官方微信公众号上提前查询
徐新强
肝胆胰外科和甲状腺外科主任、主任医师
临床医学腹腔镜专业硕士
主要从事肝胆、甲状腺、胃肠外科临床和研究工作,熟练掌握普通外科常见疾病(甲状腺、肝胆、胃肠肿瘤)的腹腔镜微创技术。
门诊时间:每周三全天
廖亚帝
省医派驻专家、肝胆胰外科和甲状腺外科副主任、肿瘤学博士
毕业于中山大学,肿瘤学博士。专业特长:从事肝胆外科专业15年,具有丰富的临床经验,擅长肝良、恶性肿瘤、肝脓肿、胆囊结石、胆总管结石、脾肿瘤等疾病的诊治。擅长腹腔镜微创手术、肝胆肿瘤综合治疗以及超声引导下肿瘤消融手术和各类穿刺置管术。
门诊时间:每周二全天
宁海文
肝胆胰外科和甲状腺外科主任医师
2004年毕业于南华大学临床医学系。毕业后于三级医院工作十二年。2014-2015年于中山大学第一附属医院胃肠中心、肝胆外科、血管甲状腺乳腺外科进修,并先后于南方医学习腹腔镜及ERCP技术。擅长胃肠、肝胆、甲状(旁)腺等普外疾病的微创治疗。
门诊时间:每周二全天
李启晋
肝胆胰外科和甲状腺外科主治医师
临床医学本硕连读(7年制)医学硕士,主要从事普外科多发病及疑难病的诊治,尤其擅长对于肝胆胰脾、甲状腺等良恶性疾病的综合治疗,发表医学论文多篇。
门诊时间:每周四全天、每周六隔周全天













