栏目分类
新闻中心
神经外科成功施行河源市首例机器人辅助下脑干血肿清除术
来源: 发布时间:2025/6/27 作者:李文生 阅读数:2983
近日神经外科一区医疗团队成功为一名桥脑出血患者进行机器人辅助下立体定向脑干血肿清除术,手术过程微创、高效。
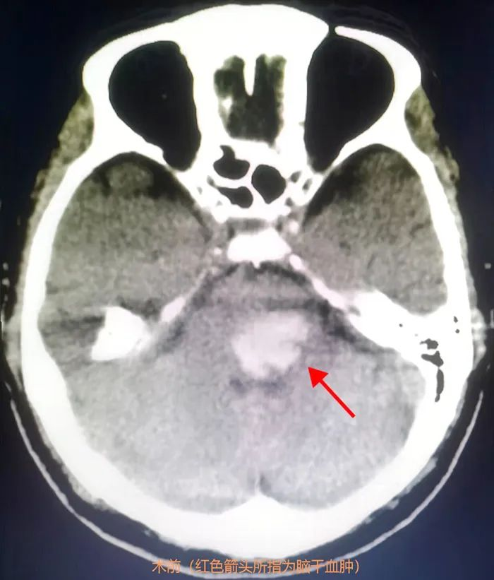
▲患者术前影像
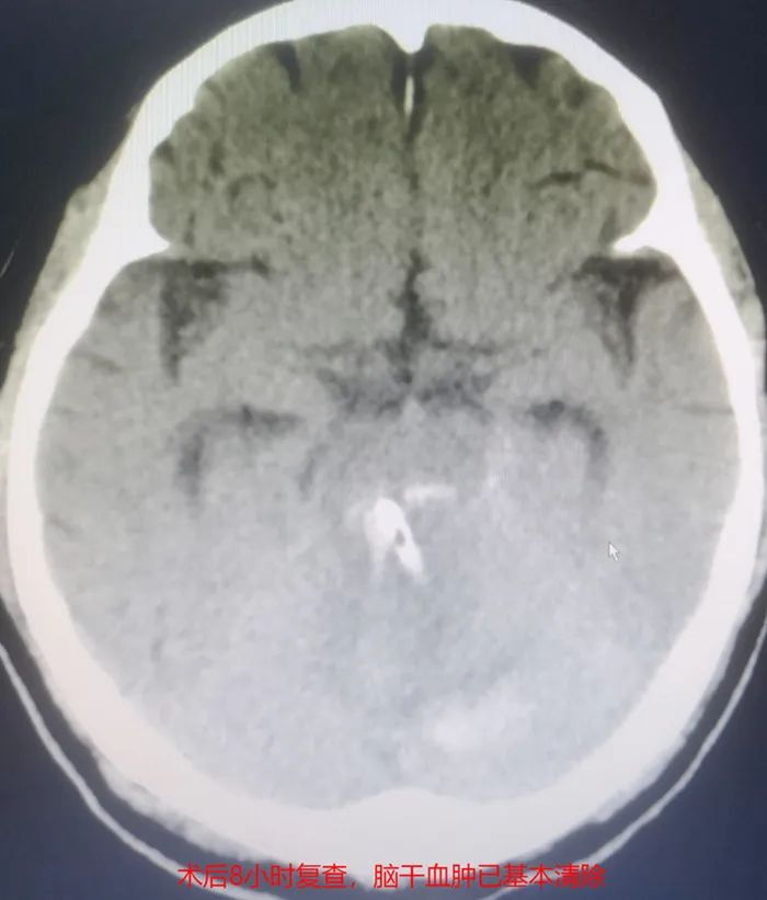
▲患者术后影像
71岁的巫爷爷因突发神志不清伴呕吐至我科住院,行颅脑CT检查提示桥脑出血量约6ml。在神经外科学科带头人王鹏指导下,神经外科杨建雄主任、郑达理副主任医师等神经外科一区团队经过术前讨论分析,结合家属意愿,制定了机器人手术方案,从血肿定位及靶点确定、手术路径规划设计,结合患者的CT影像数据,设计出最优的手术路径,在此基础上进行后期人工微调以进一步减少手术风险和对正常脑组织的损伤,成功为患者实施机器人辅助立体定向脑干血肿清除术。
▲患者手术进行中
术后8小时复查颅脑CT示引流管位置精准、脑干血肿基本清除,48小时内成功拔管。
▲专家团队合影
脑干出血是高血压脑出血中最严重的亚型,其中桥脑出血最为常见,因脑干为人体生命中枢,出血量在5ml以上,死亡率高达90%。既往对于脑干出血多采用内科保守治疗,但死亡率较高。近年来,神经外科手术机器人技术在国内逐渐得到应用,为脑干出血的治疗提供了新的解决方案。手术机器人通过三维重建技术,可以精准地定位血肿位置,实现微创、高效的穿刺引流手术。与传统开颅手术相比,手术机器人辅助下脑干血肿穿刺引流术具有手术时间短、损伤小、精准度高的显著优势,能够有效降低死亡率并改善预后。特别有以下优势:
1.个性化定制。根据患者的具体情况,如血肿位置、大小、形态以及周围结构的特点,拟定个性化的手术路径规划。这有助于确保手术过程中的精准性和安全性,提高手术效果。
2.路径优化。在保证避开重要结构的前提下,结合手术导航与注册,尽量选择距离血肿中心最短、操作最便捷的路径。这有助于缩短手术时间,提高手术效率。
专家简介
王鹏
副院长、神经外科学科带头人
主任医师、医学博士、教授、硕士研究生导师
擅长显微手术治疗颅内和椎管内各种肿瘤如脑膜瘤、胶质瘤、颅咽管瘤、听神经瘤、转移瘤、海绵状血管瘤、神经鞘瘤、室管膜瘤、胆脂瘤、血管母细胞瘤等。在三叉神经痛、面肌痉挛的微血管减压术、复杂脑积水等疾病的外科治疗上具有丰富的临床经验。先后于2015年至美国Barrow神经科学研究所,2017年至北京宣武医院系统学习神经脊柱脊髓显微外科技术,专长于脊髓脊柱疾病的显微手术治疗。擅长微创治疗椎管内外各种肿瘤、椎间盘突出、椎管狭窄、Chiari畸形、脊髓空洞症、脊髓栓系综合征等脊柱脊髓疾病。长期专研于脑胶质瘤的基础及临床研究。
门诊时间:每周四上午
杨建雄
神经外科主任兼一区主任、主任医师
颅脑损伤、脑肿瘤、脑血管、先天畸形等神经外科疾病的诊治,对重型颅脑损伤、高血压脑出血微创手术治疗等有丰富的临床经验。近30年来一直致力于颅脑创伤、颅内肿瘤、脑出血等神经外科疾病的基础研究和临床救治工作,多次获得市科学技术进步奖:一等奖1次、二等奖2次、三等奖1次;发表专业学术论文10多篇,参与了经典神经外科手术系列丛书《高血压脑出血微创治疗学》学术专著编写。中国医师协会认证的神经外科专科医师。荣获“岭南名医”称号。
门诊时间:每周二上午
郑达理
神经外科副主任医师
本科毕业于广州医科大学,从事神经外科工作近20年。曾先后到南部战区总医院、广州三九脑科医院神经外科进修。擅长颅脑损伤、脑血管病、神经系统肿瘤等疾病的诊治,对重型颅脑损伤、高血压脑出血、颅内肿瘤等疾病的外科治疗有丰富的临床经验。熟悉神经显微镜、神经内镜等治疗技术。曾主持及参与多项河源市科学技术新项目的开展,发表专业著作1本及论文10余篇。
门诊时间:每周三上午









