栏目分类
新闻中心
再创佳绩!口腔科成功完成多例儿童全麻舒适化口腔治疗
来源: 发布时间:2025/6/24 作者:谭晓颖 阅读数:3356
继今年2月成功完成本市首例儿童全麻舒适化口腔治疗后,我院口腔科再创佳绩!在医护团队的通力协作下,近日又成功为两名幼龄患儿(分别为4岁、7岁)实施了全麻下舒适化口腔综合治疗。这标志着该项技术在我院实现了规范化应用,为儿童口腔健康诊疗提供了更安全高效的解决方案,开启了儿童牙科无痛诊疗的新篇章。
技术升级:破解儿童看牙“恐惧症”难题
精准化诊疗方案
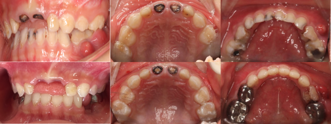
病例一:7岁的孤独症患儿因无法配合常规牙科检查及治疗,目前已经出现牙痛、牙齿松动、进食困难的情况,加上换牙期的到来,儿童常见的新牙已萌,旧牙未脱而出现的“双排牙”(乳牙滞留)更是加剧了家长的担心。
病例二:4岁的患儿从乳牙萌出就开始烂牙,来我科就诊时大牙旁边长“脓包”已经2个星期了,20颗乳牙“无一幸免“均有不同程度的龋坏,严重影响进食及睡眠。当小朋友进入诊室听到牙科高速手机的声音后,诱发了他剧烈的应激反应,变得异常哭闹抗拒,尝试数次都无法配合常规治疗。
两名患儿均存在多颗乳牙龋坏、牙髓感染甚至残根残冠的问题,因年龄小、配合度低,传统门诊治疗难以完成。口腔科多学科联合治疗小组针对不同的情况为每位患儿制定个性化、系统化的全程诊疗方案。病例一由刘钦捷主治医生、谭晓颖医师和黄芬主管护师全程在橡皮障下2小时就完成了全口口腔问题的处理,包括龋齿充填术、活髓切断术、金属预成冠修复术、滞留乳牙拔除术、即刻固定嵌入式间隙保持器的制备及全口涂氟等。病例二由谭晓颖医师和林慧芬主管护师完成,包括一次性根管治疗、前牙美学微创树脂冠修复、金属预成冠修复、窝沟封闭、残根残冠拔除等治疗。这些在门诊需要孩子与家长请假复诊多次的治疗操作,如今只需2至3小时即可完成。
2. 舒适化全程护航
术前:①通过动画视频、游戏互动进行心理疏导,消除患儿紧张情绪及降低焦虑程度;②进行全面而细致的全身健康评估及麻醉风险评估,与麻醉医师共同商讨制定个体化的麻醉方案;③对于存在基础疾病的患儿,邀请相关专科医师进行多学科会诊,全面评估手术耐受性并优化术前准备方案,以确保将手术风险降到最低。
术中:①根据术前评估结果,由专业麻醉团队全程监护,选择适合的麻醉诱导及维持方案;②实时监测生命体征并调整用药剂量,严格把握麻醉深度,确保患儿“安全无痛、过程无记忆”。
术后:患儿转入麻醉复苏室内清醒约半小时即送回病房,评估患儿状态后次日即可办理出院。出院时为患儿诊间预约,安排好下次门诊复诊的时间,避免了“抢号困难”、“忘记复诊”的问题。每次复诊旨在定期监督口腔卫生维护状况、作必要的健康指导、为患儿全口牙面涂氟,预防再次发生龋齿。许多家长会担心麻药对孩子的影响,证据显示,全麻仅短暂抑制意识,麻药可在短时间内代谢,正常情况下,单次短时的全麻治疗并不会对儿童的记忆力、大脑智力、体格发育产生负面影响。
▲病例一
▲病例二
家长心声:从焦虑到希望的转变
“带孩子跑过无数次看牙,无论出门前沟通多和谐,都控制不了一到诊室就哭闹,治疗根本没法开始。这次孩子全程没受罪,一次性就解决了20颗坏牙。现在我们和孩子终于可以睡个安稳的觉了!”术后患儿母亲张女士激动地说。
口腔团队对每位患儿定期电话回访,及时跟进出院后的情况,患儿父亲陈先生在电话中表示:“医生护士不仅技术专业,对小朋友更是耐心、贴心、有爱心!现在孩子遇见别人就张嘴介绍自己的金属牙冠和保持器是‘钢铁盔甲’,他的自信与笑容又回来了!”
让更多孩子告别“看牙难”
据统计,我国3-6岁儿童乳牙龋患率超70%,但传统治疗方式因儿童恐惧、配合度低等问题,导致许多患儿延误治疗。我院口腔科率先开展儿童全麻舒适化治疗技术,已累计为3名患儿解除口腔病痛,填补河源市该领域的技术空白。未来科室将开设专科门诊,逐步向复杂病例(如孤独症儿童、血液病或先心病患儿、牙科恐惧及重度低龄儿童龋患儿)推广,助力实现“健康中国”之儿童口腔健康行动目标。
从“首例突破”到“常态化开展”,口腔科始终以患者需求为导向,用技术革新传递医学温度。未来,我们将继续深耕儿童舒适化诊疗领域,让更多孩子都能拥有健康笑容!
温馨提示
儿童全麻口腔治疗需经专业评估,家长可拨打健康热线:0762-3185968或挂号至口腔科门诊咨询。
专家简介
奉晓斌
口腔科副主任、科室负责人、主任医师
毕业于中南大学湘雅口腔医学院,现任广东省口腔医学会口腔正畸专业委员会委员、广东省口腔医师协会理事、广东省医学美容协会口腔医学分会副会长、广东省口腔数字化材料管理专业委员会常委、广东省口腔感染控制与管理专业委员会常务委员。广东省医师协会口腔医师分会委员。广东省口腔医疗管理分会常务委员、河源市口腔医疗质量控制中心主任。曾在中国人民解放军总医院和北京大学口腔医学院学习,主持科研立项3项,擅长于牙颌面畸形矫治、口腔美学修复、种植牙及自体牙移植、口腔多学科联合治疗等。
门诊时间:请在河源市人民医院官网或官方微信公众号上提前查询
刘钦捷
主治医师
毕业于广州医科大学口腔医学专业,本科学历,现任广东省口腔医学会牙体牙髓专业委员会委员、广东省医学美容协会口腔美容医学分会委员、河源市口腔专业医疗质量控制中心秘书。从事口腔临床工作15年,多次参加国内外知名大师、专家的口腔专业培训,曾受邀到北京、上海、广州等城市做病例分享和专业授课,对牙齿疾患诊治有着较好的新理念与新技术。擅长牙周牙体牙髓根尖周疾病诊治一体化、牙体缺损嵌体/高嵌体修复、牙周炎序列治疗、牙再植、活髓保存、乳牙舒适化治疗、全口多颗种植设计与修复。
门诊时间:请在河源市人民医院官网或官方微信公众号上提前查询
李绵超
主治医师
毕业于井冈山大学,本科。从事口腔颌面外科临床工作19年。曾在中山大学附属口腔医院进修学习。擅长口腔颌面外科各种疾病诊治,如颌面部肿瘤、颌面部骨折、正畸-正颌联合治疗、牙槽外科手术等。
门诊时间:请在河源市人民医院官网或官方微信公众号上提前查询
邓伟明
主治医师
毕业于长治医学院口腔医学专业,现任广东省健康教育协会口腔健康专业委员会常委、广东省医院协会口腔数字化材料技术管理专业委员会委员,隐形矫治认证医师,擅长儿童乳牙及替牙期活动矫治、青少年及成人牙齿拥挤、牙齿前突等矫正治疗。
门诊时间:请在河源市人民医院官网或官方微信公众号上提前查询
谭晓颖
口腔科住院医师
曾于北京大学深圳医院学习,于广州医科大学附属妇女儿童医疗中心完成规范化培训。专注于成人与儿童舒适化治疗及儿童行为管理,乳牙/恒牙龋病牙髓根尖周疾病综合诊治,制定个性化口腔疾病预防保健方案。擅长牙体缺损美学修复、根管治疗、牙齿美白、牙周治疗、各类牙拔除、牙外伤序列治疗、断牙再接术、乳牙间隙管理、活髓保存及血运重建再生技术等。
门诊时间:请在河源市人民医院官网或官方微信公众号上提前查询








