栏目分类
新闻中心
【科普】肠梗阻导管:肠道“疏通神器”的秘密
来源: 发布时间:2025/6/21 作者:叶君岑 阅读数:3420
肠梗阻的剧痛令人煎熬——腹痛腹胀、恶心呕吐、排气排便停止,如同"生命通道"被骤然封锁。当肠道如同堵塞的管道,食物与气体无法通行,可能危及生命。此刻,肠梗阻导管化身精准疏通的"生命之桥",为患者重获通畅带来希望。
57岁的严女士半月前接受腹部手术后突发剧痛——持续腹胀腹痛、恶心呕吐、排气排便消失。外院急诊初判肠梗阻紧急转至我院,由胃肠外科和疝外科团队接力展开精准施治,为生命通道重启争取黄金时间。
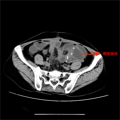
▲腹部CT所见
入院后,完善相关检查,腹部立位平片提示肠管扩张,可见多个液气平面,结合病史考虑术后肠梗阻。经综合评估,决定先行保守治疗,在胃肠外科和疝外科刘奇副主任医师团队协作下,为患者置入肠梗阻导管。置管后,患者腹胀、腹痛症状明显缓解,胃肠减压引流通畅,肠鸣音逐渐恢复。经精心护理及营养支持,患者肛门排气排便恢复正常,复查腹部平片示肠管扩张较前明显改善,无液气平面。病情持续好转,顺利出院。
什么是肠梗阻导管
肠梗阻导管由硅橡胶制成,富于柔韧性。经鼻型肠梗阻导管置入术是指在胃镜或X线引导下,应用导丝将经鼻型肠梗阻导管插至空肠近端或以远的深部小肠,进行全程引流和减压的一种非血管介入技术。经鼻型肠梗阻导管全长约3米,经鼻置入后可以随着肠道蠕动到远端小肠,可行全小肠的持续吸引和减压。尤其对于低位小肠梗阻患者,胃管的引流效果非常有限,而肠梗阻导管可以轻松到达梗阻部位上方,有效吸引肠道内容物,充分减轻肠道压力,加快恢复肠道通畅。
▲经鼻肠梗阻导管
肠梗阻导管的优点
1.单纯性粘连肠梗阻,通过放置肠梗阻导管可有效解除梗阻,避免手术。
2.复杂性或难治性肠梗阻,肠梗阻导管可作为小肠内支架(肠排列导管),预防术后粘连性肠梗阻的发生。
3.晚期肿瘤性梗阻,可以通过肠梗阻导管进行术前和术后的胃肠减压、肠内营养、药物灌注治疗等,有望延长病人的生存时间,改善病人的生活质量。
4.通过肠梗阻导管进行小肠造影检查,不仅能克服传统消化道造影因肠管重叠、肠内容物干扰导致的诊断及定位困难,还可以根据诊断结果进行同步治疗。
▲肠梗阻导管置管后影像所见
肠梗阻导管的工作原理
想象一下,假如肠道是一根被堵塞的水管,而肠梗阻导管就像一个专业的“水管工”。医生会在X光或胃镜的帮助下,将导管精准地放置到肠道的堵塞部位。一旦到位,导管连接到吸引装置,就可以像吸尘器一样,把肠道里的多余液体和气体引流出来。这样,肠道的压力就会降低,腹胀和疼痛也会得到缓解。
更神奇的是,通过这根导管,医生还可以给肠道输送药物或者营养物质,帮助肠道恢复健康。比如,可以注入一些植物油,润滑肠道,让堵塞的食物更容易通过。
肠梗阻导管的“超能力”
肠梗阻导管可不是普通的导管,它有几项“超能力”:
1.避免手术。对于一些单纯性粘连性肠梗阻的患者,肠梗阻导管可以有效解除梗阻,避免了开刀手术的痛苦。这对于害怕手术的患者来说,简直就是福音。
2.快速缓解症状。一旦导管放置好,患者很快就能感觉到腹胀减轻,疼痛也会随之缓解。这种快速的效果,让患者在短时间内就能舒缓痛苦。
3.精准定位。肠梗阻导管还可以帮助医生确定梗阻的具体位置。当导管插入到一定深度遇到阻力时,结合造影检查,医生就能知道堵塞发生在肠道的哪一段,为后续的治疗提供精准信息。
4.多功能用途。除了减压和引流,肠梗阻导管还可以用于术前肠道准备、术后防止粘连、甚至在肿瘤患者中进行营养支持。它就像一个多功能的“瑞士军刀”,在不同场景下都能发挥重要作用。
▲医护团队合影
肠梗阻导管是一种非常神奇的医疗工具,它通过简单的非手术方式,帮助患者疏通肠道,缓解痛苦。它不仅避免了手术的创伤,还能快速缓解症状,精准定位梗阻部位,并且有多种用途。如果你或你的家人不幸遇到肠梗阻的问题,不妨和医生讨论一下,看看肠梗阻导管是否是一个适合的选择。
专家简介
司丕成
普通外科负责人、主任医师
郑州大学外科学硕士研究生学历,毕业从事普外科工作三十余年,擅长胃癌、结直肠癌的外科规范化手术治疗。对胃肠,腹壁疝外科微创外科手术有一定造诣,先后在国家级核心期刊发表论文十余篇,获河源市科学技术进步奖二等奖一项,三等奖两项。
门诊时间:每周三全天、周六上午
罗斌
胃肠外科和疝外科副主任、临床医学博士
毕业于华中科技大学同济医学院临床医学八年制(本博连读),德国HELIOS Kliniken访问学者。从事胃肠道肿瘤研究,以第一作者发表SCI论文三篇,发表中文临床经验总结1篇,主持广州市科技项目一项,参与国家科技部重点研发计划一项,申请国家实用新型专利一项,第一届胃外科精英团队临床技能邀请赛全国冠军。
门诊时间:每周四全天
刘奇
医务科副科长、副主任医师
毕业于广州医科大学,外科学硕士,擅长:结直肠肿瘤、胃肿瘤的腹腔镜手术,复杂性腹壁疝及腹股沟疝的手术治疗,胃肠道恶性肿瘤的综合治疗。率先在河源市开展腹腔镜下胃、空肠造瘘手术,DSA及内镜下肠梗阻导管置入术。
门诊时间:请在河源市人民医院官网或官方微信公众号上提前查询









