栏目分类
新闻中心
河源地区首例!微波消融技术助力骨科精准治疗动脉瘤样骨囊肿
来源: 发布时间:2025/8/14 作者:曾红生 黄文汉 黄志会 阅读数:3292
省医在河源 名医在身边
近日,20岁的李先生因左足跟活动后反复疼痛半年余后到我院就诊,关节外科和运动医学科医疗团队为李先生进行诊疗,诊断为左跟骨动脉瘤样骨囊肿,并成功为该患者进行了左跟骨病灶微波灭活+病损切刮+骨水泥重建术,术后患者症状明显缓解并功能恢复良好。
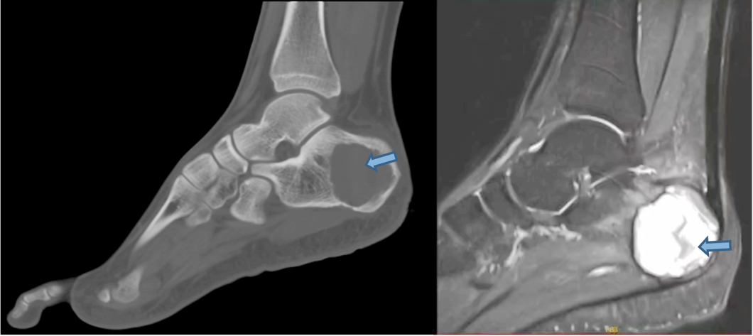
▲左跟骨动脉瘤样骨囊肿,侵袭范围超过跟骨1/2
李先生曾多次外院就诊但症状依旧没有缓解,经多方打听,遂来到我院就诊。关节外科和运动医学科曾红生主任带领的骨肿瘤诊疗团队经全面的专科检查后发现,李先生左跟骨病灶为动脉瘤样骨囊肿,不排除为骨巨细胞瘤合并动脉瘤样骨囊肿,难点在于病灶范围较大(约4×4cm),已累及超过1/2跟骨体积,如何保证在彻夜灭活肿瘤的前提下重建跟骨功能是手术难点。针对患者的复杂情况,省医派驻专家、关节外科和运动医学科副主任黄文汉主持了全科术前讨论,手术团队认为本次手术的风险及难点在于跟骨瘤腔较大且病灶隐匿,如何保证囊肿病灶均得到处理是关键步骤;跟骨为人体负重重要器官,如何重建其功能且实现长期预后良好是一大难点。经过全科细致的讨论,决定为患者施行左跟骨病灶微波灭活+病损切刮+骨水泥人工骨复合体重建术+创面负压吸引术。
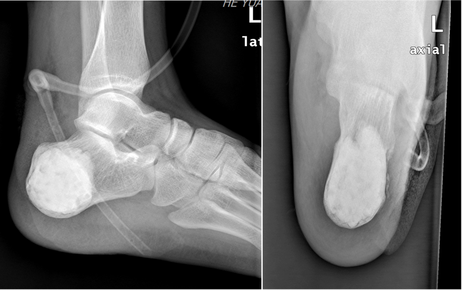
手术中,曾红生主任医师团队首先完整显露患者的左跟骨病灶范围,开窗后使用微波消融灭活瘤腔,进一步减少骨囊肿复发的可能性;其次,使用骨水泥+人工骨+骨修复材料复合体重建跟骨骨缺损。历经2小时,使患者重建了跟骨的解剖形态,使患者恢复了跟骨的承重与运动协调功能,足弓的正常形态和高度得以维持。术后病理证实为动脉瘤样骨囊肿。术后李先生积极进行功能锻炼,在医护工作人员的努力及李先生的配合下,最终康复出院。
▲骨水泥+人工骨复合体重建跟骨形态与功能
动脉瘤样骨囊肿好发于20岁以下青少年,男女无显著差异,好发于长骨干骺端和椎体附件,临床症状一般较轻,主要为局部肿胀疼痛,呈隐匿性发病。病变的诊断要点是病灶内可见液-液平面,这是因血细胞和血浆的分离和沉淀所致,在T2WI上,液面上层为高信号,下层为低信号,T1WI上则相反,上层为低信号,下层为偏高信号。手术治疗是本病的主要治疗方式,传统的单纯刮除、刮除植骨复发率可高达20%-30%,给患者带来沉重负担。微波消融具有灭活囊腔彻底、效率高(瞬时灭活肿瘤细胞)等特点,可最大程度保留骨量,是治疗该疾病的最佳手段。
此次救治是广东省人民医院“组团式”帮扶的缩影。近年来,通过专家驻点、技术平移、远程会诊等方式,河源地区群众“大病不出市”的愿景正逐步实现。省医派驻专家、省医骨肿瘤专家黄文汉通过开展门诊与病房诊疗工作,将“骨肿瘤”这一初看少见实则为常见病的学科在河源地区开展,并在肿瘤科统筹下开设特色的“软组织包块及骨转移瘤”门诊,旨在让河源地区群众在得到省内领先治疗水平的同时最大程度减轻患者就医负担。
骨科二区简介
骨科二区(关节外科和运动医学科)拥有一支技术精湛、经验丰富的高素质医护团队。全科现有医师共10人,其中主任医师2人,副主任医师4人,主治医师4人,硕士研究生学历3人。骨关节疾病、运动损伤、小儿骨折、骨病及骨肿瘤是我科主要业务领域。目前可在关节镜下完成大部分关节微创手术,主要擅长治疗膝关节前后交叉韧带断裂、半月板损伤、肩关节不稳、肩袖损伤、肩峰撞击综合征、肩周炎、冻结肩、肩锁关节脱位、踝关节撞击症、髋臼孟唇损伤、踝关节韧带断裂及损伤、关节内骨折等疾病的诊治。在肿瘤诊治方面,涵盖了骨肉瘤、尤文肉瘤、软骨肉瘤等肢体恶性肿瘤的规范化综合治疗、骨盆肿瘤的切除和重建、3D打印假体重建骨缺损和骨肿瘤的微创治疗等。诊疗团队组建了涵盖肿瘤内科、放射科、病理科、放疗科等多学科MDT团队,为骨与软组织肿瘤患者提供规范而又精准的诊疗服务。
专家简介
陈子华
大外科主任、骨科主任、主任医师
1991年毕业,一直从事骨外科工作,擅长各种骨科复杂手术,如:上颈椎复位固定术、脊柱微创手术、复杂骨盆髋臼骨折手术、髋膝关节置换及翻修术等。2018年获得河源市首届拔尖人才称号;获河源市科技进步奖二等奖两项、三等奖两项;负责并参与广东省医学科研基金项目4项,负责主持市级科研项目10余项;撰写优秀论文49篇,其中5篇为国家B类核心期刊,均为第一作者。
门诊时间:请在河源市人民医院官网或官方微信公众号上提前查询
曾红生
关节外科和运动医学科主任、主任医师
2008年毕业于广东医科大学,10多年来从事骨科学的临床与教研工作,拥有扎实的理论基础、极丰富的实践经验和娴熟的手术技巧,熟悉骨科疾病的诊治。擅长髋关节置换、髋关节置换术后髋关节翻修、全膝关节表面置换、膝关节单髁置换、铰链式膝关节置换、肩关节镜微创治疗肩关节运动损伤、膝关节镜微创治疗膝关节韧带半月板损伤等手术及保守治疗、复杂外伤的抢救。
门诊时间:请在河源市人民医院官网或官方微信公众号上提前查询
黄文汉
省医派驻专家、关节外科和运动医学科副主任
香港中文大学矫形及创伤学系博士
主要从事膝关节周围肿瘤的临床与基础研究,骨关节的运动学及生物力学,力学生物学的相关研究。已发表SCI论文15篇,多次受邀参加国内外骨科学术会议。现任Journal of Orthopaedic Surgery Research, Asia-Pacific Journal of Sports Medicine, Arthroscopy, Rehabilitation and Technology, 中华骨科杂志英文版,中华关节外科杂志(电子版)编委,广东省医师协会运动医学医师分会委员,广东精准医学应用学会骨肿瘤分会委员,广东基层医药学会骨肿瘤骨病分会委员。
门诊时间:请在河源市人民医院官网或官方微信公众号上提前查询
黄志会
关节外科和运动医学科主治医师
毕业与南方医科大学南方医院关节运动医学系硕士,有8年骨外科学临床工作经历,多年来从事骨科临床及科研工作。具备扎实的理论基础及熟练的临床操作技能,掌握相关疾病的诊断、鉴别诊断及治疗方案的选择,在核心期刊发表论文多篇。
门诊时间:请在河源市人民医院官网或官方微信公众号上提前查询








