栏目分类
新闻中心
呼吸与危重症医学科常规开展超声支气管镜引导下经支气管针吸活检(EBUS-TBNA)
来源: 发布时间:2025/8/25 作者:冼宏 阅读数:2721
我院呼吸与危重症医学科成功独立开展超声支气管镜引导下经支气管针吸活检(EBUS-TBNA)技术! 自今年4月该科首次独立完成此项高精尖检查以来,在医院领导的高度重视、科室团队的锐意进取以及兄弟科室的鼎力协作下,现已全面优化EBUS-TBNA操作流程,并实现常态化开展。目前,该项检查流程顺畅、响应迅速,患者可在1至3个工作日内高效完成检查。技术开展以来,我们已取得令人满意的精准诊断成果,赢得了广大患者的信赖与一致好评!
超声支气管镜引导下经支气管针吸活检(EBUS-TBNA)
EBUS-TBNA是2002年在日本开发的新技术,随后迅速在世界范围内推广,2007年被国际肺癌研究协会列为肺癌分期的标准方法,于2008年引入我国,目前在我国市级以上医院广泛普及,是一项成熟有效、安全精准的微创呼吸内镜技术,目前已成为肺门、纵隔及肺内病变诊断的重要工具,同时也是有效的肺癌分期手段,具有微创、安全、高效、舒适的优势。
▲呼吸与危重症医学科呼吸介入团队操作中(冼宏副主任医师)
▲呼吸与危重症医学科呼吸介入团队操作中(何青梅主治医师)
1.微创:经超声支气管镜下,于气管、支气管内行细针穿刺活检,细针直径仅约0.7mm,手术出血量一般在1至10ml。
2.安全:该技术可在实时超声引导下对临近气管或支气管的胸内病变进行穿刺活检,防止误穿血管、心脏。
3.高效:通过超声实时引导穿刺病变组织,做到有的放矢,对于1cm以上病灶,普遍能获得良好的取材效果,对肺癌的诊断率在90%以上。
4.舒适:综合患者临床情况,可采用局麻、镇静、全麻等多种麻醉方式,适用范围广,可以让患者得到更舒适的检查体验。
▲良好的取材效果
另外EBUS-TBNA可经气道和食道2种路径进行目标病变组织的取材,较纵隔镜和C-TBNA(经支气管针吸活检术)的组织取材范围更广。
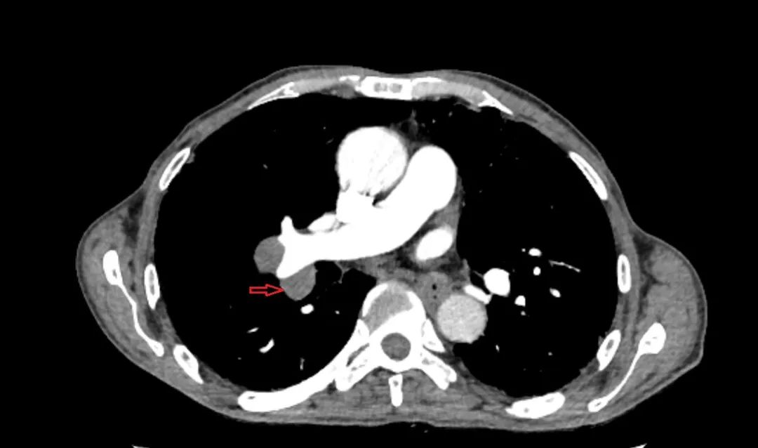
病例一
患者胸部增强CT提示右下肺不规则囊腔,并纵隔、右肺门淋巴结肿大,最大者短径15mm,且紧邻血管。患者肺功能差、心率快,于全麻下成功穿刺取得组织确诊腺癌,术中出血约10ml,术后患者无感明显不适。
病例二
患者胸部增强CT发现右下肺肿物,患者高龄(>80岁)、肺功能差、家属十分抗拒经皮肺穿刺活检,遂于全麻下右下肺肿物穿刺,确诊鳞癌,术后患者无诉不适。
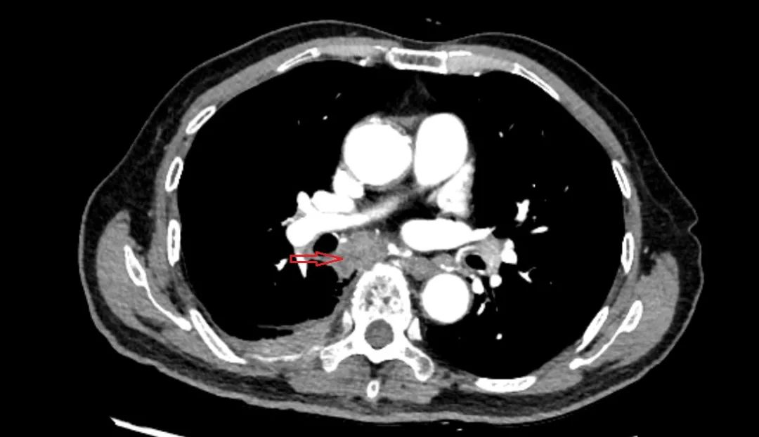
病例三
患者因发现右下肺占位入院,胸部增强CT提示右下肺肿物并纵隔淋巴结肿大,超声支气管镜下见11R淋巴结肿大,紧邻心脏,成功穿刺取得足够标本并确诊鳞癌,术中出血仅约1ml。
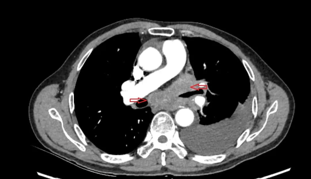
病例四
患者因咳嗽、气促入院,胸部增强CT见左下肺肿物并多发淋巴结肿大,支气管镜见粘膜浸润性改变为主,活检病理阴性,遂行超声支气管镜下7#+10L淋巴结穿刺活检,病理结果证实为鳞癌。
技术传承赋能,守护区域健康
呼吸与危重症医学科近年来在省医专家指导下,逐步构建起以呼吸介入为核心技术的医疗团队。此次EBUS-TBNA的全面开展,不仅为复杂纵隔病变患者提供了“家门口”的精准诊疗方案,更标志着我院呼吸介入技术迈入独立发展新阶段。
未来,科室将继续深化与广东省人民医院的技术协作,同时加强对基层医疗机构的帮扶,推动优质医疗资源下沉,为粤东北地区呼吸疾病患者提供更高效、更安全的医疗服务。
专家简介
杨龙峰
呼吸与危重症医学科副主任兼呼吸二区主任、主任医师
擅长对肺癌、肺结节、慢阻肺、哮喘、肺心病、肺部感染性疾病、呼吸衰竭、间质性肺病、胸膜疾病等呼吸系统疾病的诊治和呼吸介入诊疗技术。
门诊时间:每周一全天
刘国栋
呼吸与危重症医学科一区主任、主任医师
从事呼吸内科临床工作二十余年,具有深厚的专业理论知识和丰富的临床经验。擅长对支气管扩张、肺部真菌病、肺脓肿、支气管哮喘、慢性阻塞性肺疾病、肺血管疾病、间质性肺病、肺部肿瘤等呼吸系统疾病进行诊治,在呼吸内科常见病和疑难危重症的诊治方面积累了丰富经验。
门诊时间:每周五全天
冼宏
呼吸与危重症医学科一区副主任医师
从事呼吸内科临床工作二十余年,专职支气管镜工作10余年,多次在广州医科大学附属第一医院呼吸内科、呼吸介入中心进修,擅长呼吸内镜操作、介入手术。
门诊时间:请在河源市人民医院官网或官方微信公众号提前查询












