栏目分类
新闻中心
【省医在河源,名医在身边】呼吸与危重症医学科诊治一例罕见病“卡塔格内综合征”(镜面人)
来源: 发布时间:2022/1/1 作者:巫雄辉 阅读数:7623
近日,我院呼吸与危重症医学科团队在省医河源医院罗少华主任医师带领下诊断罕见病“Kartagener’s syndrome(卡塔格内综合征)”一例,经治疗患者病情好转出院。
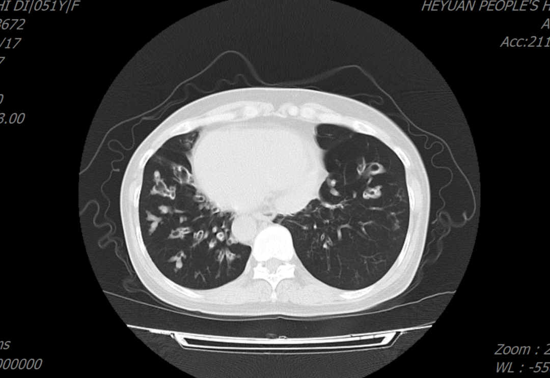
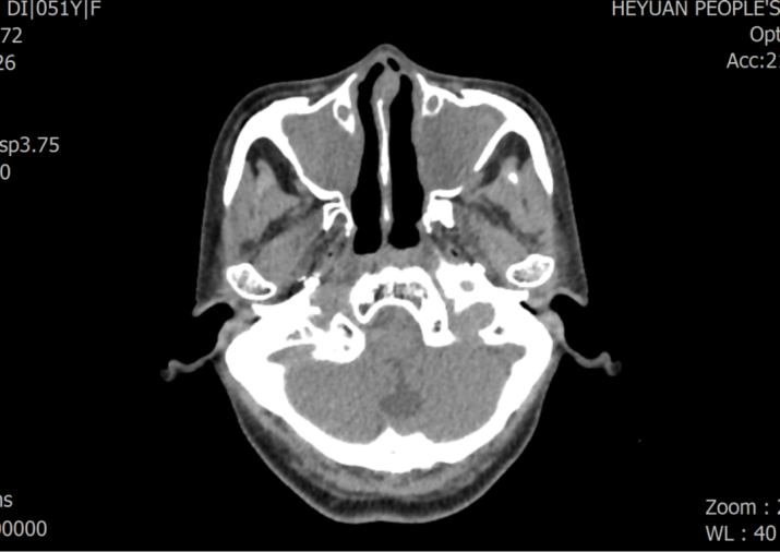
患者周某某,女,51岁,因“反复咳嗽、咳痰30余年,加重5天”入住我院呼吸与危重症医学科,胸部CT示双肺支气管扩张、右位心;入院诊断:支气管扩张症并感染。罗少华主任医师查房分析患者病情指出,患者双肺支气管扩张,右位心伴全内脏转位,需考虑罕见病——“卡塔格内综合征”,结合后续的完善鼻窦CT:双侧筛窦、上颌窦、蝶窦、右侧额窦炎,符合“卡塔格内综合征”的诊断标准。经规范治疗,患者病情好转,予做好健康宣教后出院。
罗少华主任医师查房
患者胸部CT表现为双肺支气管扩张
X线影像示右位心表现
鼻窦CT见双侧筛窦、上颌窦、蝶窦、右侧额窦炎,双侧乳突炎
罗少华主任介绍,卡塔格内综合征为一种少见的常染色体隐性遗传病,患者被称为“镜面人”,其临床发病率为1/4万~1/ 5万。属于原发性纤毛运动障碍(primary ciliary dyskinesia,PCD)中的一种亚型,约占PCD的50%,由支气管扩张-内脏转位-鼻窦炎三联征组成,如只具备前2项者则称为不完全型。少数患者可能同时存在生殖系统和耳蜗纤毛功能不全导致不孕症和传导性耳聋,但其发生率相对低, 未被列入诊断基本条件。
全内脏反位模式图,俗称“镜面人”
卡塔格内综合征临床上主要表现为以反复呼吸道化脓性感染、咯血为特征的支气管扩张症状,目前尚无根治方法,且无有效的促进纤毛清除功能恢复的药物,故主要是对症治疗,包括药物治疗和手术治疗。接受规范的抗生素及祛痰治疗,体位引流及适当的运动有利于痰液排出,必要时借助纤维支气管镜促进痰液的排出,预防支气管扩张。手术治疗主要包括慢性鼻窦炎、慢性中耳炎、不育以及某些伴有严重心肺结构和功能异常的患者,如反复支气管扩张大咯血病灶局限于一个段或叶者,可行肺段或叶切除。其他通过鼓膜置管、鼓膜修补术、鼻内镜手术、肺叶移植等也可以取得良好的治疗效果。
专家简介
罗少华
主任医师、硕士研究生、在读博士
在广东省人民医院工作至今,长期从事呼吸内科方面的诊疗工作。对于肺部阴影、肺部结节、淋巴结肿大等征象,具有敏锐的鉴别能力,熟练掌握呼吸科常见疾病(如哮喘、慢阻肺、支扩、肺部肿瘤、胸腔积液、气胸、间质性肺病等)的诊治,对少见/罕见病也有着丰富的临床诊疗经验,擅长以呼吸内镜介入为主的多种技能及肺部肿瘤的全程综合管理(如气道支架植入、球囊扩张、活瓣肺减容、冷冻肺活检、热凝切、EBUS-TBNA、气道瘘封堵、硬质气管镜、内科胸腔镜、经皮肺穿刺活检术、输液港植入术等)。主持或者参与国家级或省级医学研究课题多项,发表论文十余篇。
省基层医药学会呼吸病专委会常委兼秘书
省基层医药学会肺癌专委会常委
省临床医师协会肺血管及介入专委会常委
省精准医学应用学会肿瘤综合治疗分会常委
省精准医学应用学会抗感染分会委员
中国呼吸肿瘤协作组南区(泛大湾区呼吸肿瘤联盟)委员
第六届“羊城好医生”
民进广东省委会社会服务工作委员会副主任
出诊时间:每周四上午







