栏目分类
新闻中心
【省医在河源,名医在身边】脊柱外科团队两周内高效完成疑难及微创脊柱手术46台
来源: 发布时间:2022/1/11 作者:易燕斌 古志玲 阅读数:6034
近日,我院脊柱外科团队在学科带头人陈子华主任带领下,2周内高效完成疑难及微创脊柱外科手术46台,其中包括上颈椎畸形手术3台、颈椎病颈前路微创减压融合(ACDF、ACCF) 7 台、腰椎管狭窄症微创腰椎融合(MIS-TLIF)3台、腰椎管狭窄症单侧双通道脊柱内镜下减压融合术(Ulif)1台、腰椎间盘突出症微创椎间孔镜下椎间盘摘除术4台、老年性胸腰椎压缩性骨折微创椎体成形术19台等等,术后疗效获得了患者及家属的一致好评。
脊柱外科天花板——上颈椎骨折脱位
患者何某,中年女性,陈旧性枢椎齿状突骨折并寰枢关节脱位(难复性),入院是四肢不全瘫,生活不能自理;术前经大重量颅骨牵引不能复位(图三),于全麻行单一后路切开松解、寰椎后弓部分切除减压、经自制“Z”形复位棒复位、椎弓根螺钉内固定,术中透视见寰枢关节脱位完美复位,术后患者疾病症状改善。
术前影像:枢椎此状图陈旧骨折并寰枢关节脱位、脊髓明显受压
术中透视:骨折脱位复位满意
术后复查影像检查:脱位复位,椎管明显恢复
个案分享二
内镜下腰椎髓核摘除(PELD)
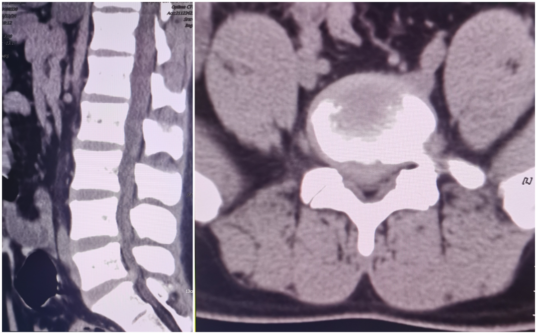
患者叶某,22岁男性,2月前劳动后出现腰部酸胀、麻痛,弯腰困难,站立行走、下蹲时明显,疼痛可向右大腿及小腿后侧及足底放射,平躺休息后缓解,症状反反复复,双下肢肌力感觉基本正常,结合辅助检查,诊断:腰5/骶1椎间盘突出,于局麻下行椎间孔镜下腰5/骶1椎间盘髓核摘除+神经根松解术,术后患者腰背部、右下肢无明显疼痛,术后第一天佩戴腰围下床自由活动。
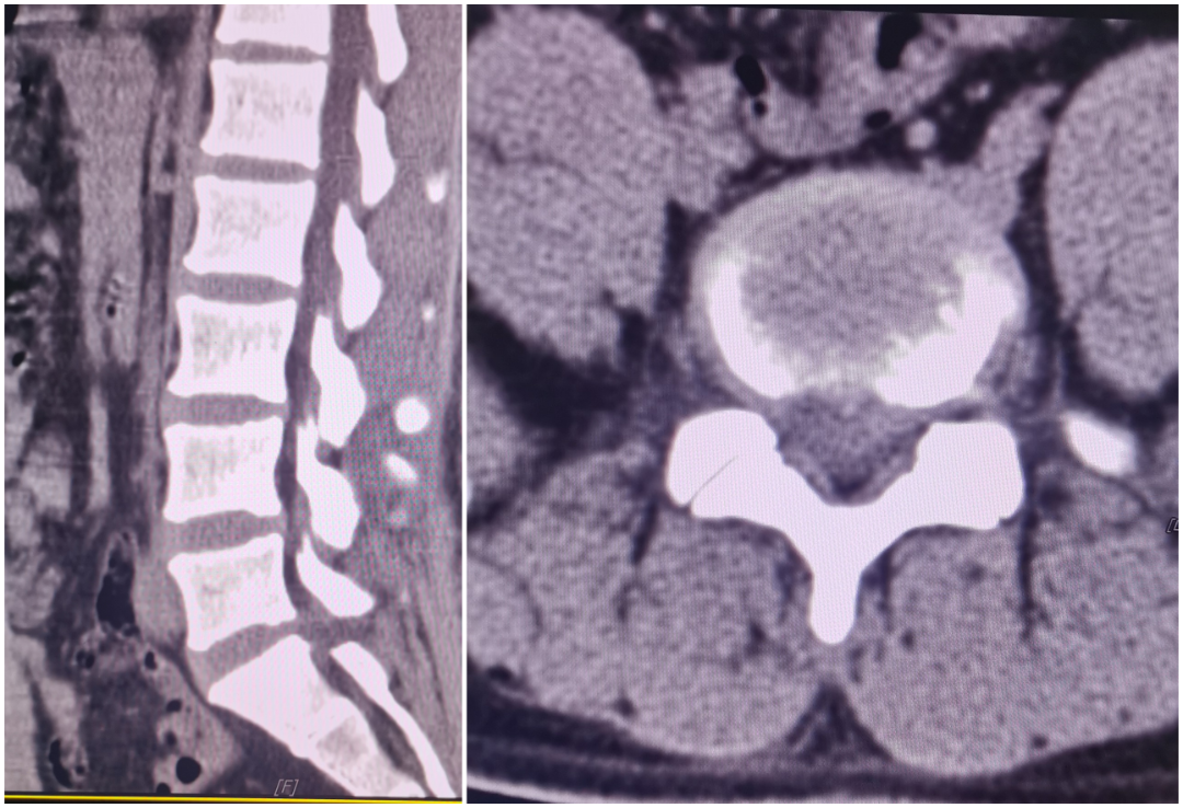
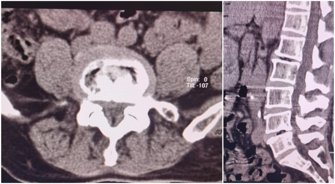
术前CT、MR示:腰5/骶1巨大椎间盘突出
术后复查CT示:椎间盘已完全摘除
术后切口:7mm小切口
个案分享三
颈椎前路微创(ACDF)
患者,叶某,中老年男性,因四肢麻痛、乏力1年余入住我院脊柱外科,查体:颈项部肌肉稍紧张,颈部活动受限,双手及双下肢感觉减退,双手握力约3级,双侧耸肩、肱二头肌、肱三头肌4级,双下肢肌力约4级,四肢肌张力稍高,双侧Hoffman征(+)。结合患者病史及影像学检查,诊断:脊髓型颈椎病,于全麻行微创经颈前路颈5/6、颈6/7椎间盘摘除、椎间融合器融合、钢板螺钉内固定术。患者术后四肢麻痛症状明显改善,术后第3天佩戴支具下床活动。
术前影像学
术后复查、术后切口
个案分享四
腰椎微创融合(MIS-TLIF)
患者陈某,中年女性,反复腰痛9年余,加重伴左下肢放射痛、麻木1月入院,查体:脊柱生理弯曲存在,腰部未扪及台阶感,腰椎间隙稍压痛,椎旁肌压痛及叩击痛,左下肢稍萎缩,左下肢肌力4级,左大腿、小腿外侧及足背外侧感觉麻木,左侧膝反射及跟腱反射减弱,右下肢肌力感觉正常,双下肢肌力正常,结合辅助检查,诊断:腰4/5椎间盘突出症,于全麻行MIS-TLIF入路腰4/5髓核摘除、椎管扩大减压神经根松解、椎间融合器植骨融合内固定术,术后第二天佩戴护具下床活动,恢复良好。
术前影像学
术后影像学检查
个案分享五
UBE镜下融合经皮固定(Ulif)
黄某,71岁男性患者,因反复腰部疼痛3年余,再发加重1周入院,查体:脊柱生理弯曲存在,腰部无明显肿胀,未扪及明显台阶感,下腰段椎间隙压痛,椎旁肌稍压痛及叩击痛,双下肢萎缩,右侧直腿抬高试验及加强试验阳性,右足第1趾背伸及跖屈伸肌力减弱,右大腿外侧、小腿外侧、后侧及足背外侧感觉麻木,左下肢感觉正常,结合辅助检查,诊断:腰椎管狭窄症:腰4/5椎间盘突出,于全麻下行经单侧双通道脊柱内镜下腰4/5椎板开窗减压、腰4/5椎间盘摘除、椎间cage植骨融合、经皮钉棒系统内固定术。患者术后腰部及双下肢麻痛症状明显改善。
术前影像学
术中透视、术后复查
近年来,我院脊柱外科在微创脊柱外科技术(Minimally invasive spine surgery,MISS)上发展迅速,技术水平已经接近、部分达到国内先进水平,陈子华主任带领的脊柱外科团队在微创脊柱外科领域做出的贡献得到了业内同道称赞和认可,我院脊柱外科手术稳步进入微创时代。


















