栏目分类
新闻中心
【省医在河源,名医在身边】我院首例逆向CTO按“日间手术”成功实施
来源: 发布时间:2022/2/28 作者:朱友植 张惠琪 阅读数:4752
近日,我院首例复杂冠状动脉慢性完全闭塞病变(CTO)逆向介入治疗按“日间手术”成功实施,标志着我院复杂冠状动脉介入治疗技术迈上新台阶。
患者潘先生,曾因心绞痛反复发作住院诊治,行冠状动脉造影检查提示二支血管病变,其中左前降支近段慢性完全闭塞病变,闭塞段病变入口位于分叉处,无残端,曾尝试行冠状动脉介入治疗,正向开通该闭塞血管不成功。
院长何鹏程教授在了解到患者的病情和既往诊治情况后,组织心血管内科团队进行病例讨论,仔细分析患者病情和影像资料,认为该患者存在丰富的右向左侧支循环供应闭塞的左前降支中远段,适合采用逆向介入治疗。结合患者及家属的意愿,尽量缩短患者住院时间,最大化减少住院费用,决定以“日间手术”方式采用高技术含量的逆向技术开通闭塞血管。按照我院心脏介入日间手术流程,潘先生在办理住院当天安排手术。
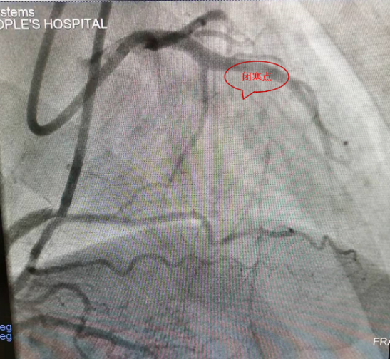
开通血管前造影图像
逆向导丝通过病变进入正向指引导管
术中,何鹏程教授细致阅读对侧造影影像,在密密麻麻细小的侧支血管中,快速精准选择好合适的侧支入路,导丝逆向通过慢性闭塞病变顺利送达正向指引导管,成功开通闭塞血管。经冠状动脉介入术后次日,患者病情稳定办理出院。
开通血管后造影图像
冠状动脉慢性完全闭塞性病变(Chronic Total Occlusion,CTO),是指冠状动脉慢性完全闭塞,闭塞时间等于或大于3个月的病变。因其闭塞时间长,闭塞段病变会变得极为坚硬,血管走行不可见,在心血管介入领域属于治疗难度最大的复杂冠脉病变,一直是心血管介入医生的重大挑战,是目前冠脉介入治疗需要攻克也正在被攻克的最后“堡垒”。
何鹏程教授指出,CTO逆向技术的开展,意味着我院心血管内科介入水平又上一台阶,在我院心血管介入历程中具有里程碑意义;心血管内科作为我院核心发展科室,开通闭塞血管将提高更多冠脉慢性闭塞患者的生存率,在不断提升的技术中,让广大群众在河源也能享受省一流的医疗服务。
相关链接
1.日间手术:日间手术是指对符合一定适应症的患者在24小时至48小时内完成检查、预约、手术、术后观察、康复出院等环节。与“普通病房”相比,“日间病房”主要是 “短平快”式的新型医疗服务模式。
2.优势:缩短住院等候时间和治疗时间,减轻家属病房陪同等方面的不便;降低医疗费用,根据各类医保政策按照普通住院病人标准进行报销;提高医疗资源利用率;缩短平均住院日,从而增加了手术室利用率,让公共医疗资源为更多的患者服务。
3.日间手术安全吗?我院拥有一套完善的心脏介入日间手术流程,对医生、患者、病种进行严格筛选,术前、术中和术后的各个环节均有严格的制度保障,确保日间手术的规范执行。医院心血管内科近年来冠脉介入年治疗量900余例,急诊绿色通道流程顺畅,从患者首次进入医院大门到开通闭塞血管时间(DTB)最快缩短至18分钟。术前严格的筛选、评估及细致的患者宣教,术中精湛的介入技术是手术成功的关键,术后执行严格的出院标准并密切随访,进行个性化指导。





