栏目分类
新闻中心
【省医在河源,名医在身边】呼吸与危重症医学科开展首例经硬质支气管镜下气管内异物取出术
来源: 发布时间:2022/3/15 作者:何青梅 阅读数:6276
近日,我院呼吸与危重症医学科在省医呼吸科李静主任的指导下,由省医派驻专家罗少华主任带领多学科协作,开展我院首例经硬质支气管镜气管内异物取出术,经治疗后,患者治愈出院。
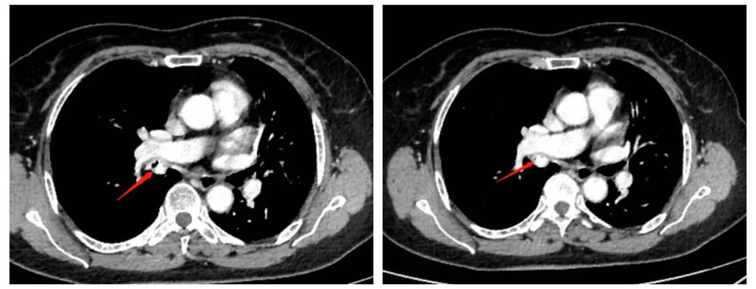
患者余阿姨,70岁,因“咳嗽、气促2月余”入住我院呼吸与危重症医学科。行胸部增强CT扫描示:右肺中、下叶支气管开口处结节状高密度异物存留并阻塞性肺气肿;气管镜示:右中间支气管可见一形状不规则物体,与周围气管粘膜有嵌顿,表面见黄白色坏死物覆盖,堵塞大部分管腔,4.2 mm气管镜无法通过,周围粘膜充血、水肿,触之即有出血;临床诊断右中间支气管异物并阻塞性肺气肿。
罗少华主任查房后指出,患者咳嗽、气促,是气道内异物堵塞管腔所致,结合患者病史、胸部CT及常规气管镜所见,右中间支气管异物体积大,时间长,与周围组织有粘连,异物最近处离右肺动脉不到3 mm,考虑普通气管镜下取异物难度较高,出血风险极大,需多学科协调完成手术。在医务科组织下,省医派驻专家罗少华主任及麻醉科王志鹏主任牵头,邀请放射科刘向华主任、胸外科江振强主任进行多学科会诊。会诊后,达成共识:患者适合在手术室全麻下行硬质支气管镜下异物取出术;术中出血风险大,需备球囊封堵止血或开胸止血。硬质支气管镜为四级手术,风险较高,遂邀请国内知名呼吸介入专家省医呼吸科李静主任亲临现场指导。
胸部箭头指向为支气管异物
气管镜示:右中间支气管可见一形状不规则物体,堵塞大部分管腔
经过术前充分准备,在李静主任的指导下,呼吸科与麻醉科通力合作,罗少华主任带领气管镜室团队在全麻下为患者行经硬质支气管镜困难异物取出术,镜下见右中间支气管内异物,使用异物钳将之顺利取出,置入软式可弯曲支气管镜,原异物嵌顿处支气管粘膜肿胀,肉芽增生,未见活动性出血;异物大小约1.2×0.8×0.5 cm,灰黄质硬,病理提示为骨组织(补充病史,患者2月余前进食排骨时曾有剧烈呛咳),手术实施过程顺利,右中间支气管恢复畅通。术后患者咳嗽、气促缓解,恢复良好,已出院。
术中的李静主任及罗少华主任
左图为异物取出后的右中间支气管,右图为取出的骨性物体
侯宝华副院长(右三)、李静主任(左三)、罗少华主任(右二)、王志鹏主任(左二)及手术团队
罗少华主任介绍,硬质支气管镜已有100多年历史,远早于可弯曲支气管镜的面市,其价值在于作为介入通道,允许纤支镜及其他器械进入气道内,直视下进行支架释放或取出、消融、冷冻、球囊扩张、取异物、止血等操作,对于许多胸部疾病(如气道异物、狭窄、气管支气管软化、中心气道阻塞等)的治疗都具有重要价值。硬镜的操作,均需要对患者进行全麻,良好的气道管理、严密监测和及时复苏,为硬镜及相关手术提供了重要的安全保障,省医派驻专家麻醉科王志鹏主任,对此拥有丰富的经验。
在罗少华主任带领下,我院呼吸与危重症医学科已经开展了多项呼吸介入手术,而硬质支气管镜术为气道狭窄或异物等患者的治疗提供了新的方法和手段,填补了我院该技术领域的空白。
专家简介
罗少华
主任医师,硕士研究生,在读博士
在广东省人民医院工作至今,长期从事呼吸内科方面的诊疗工作。对于肺部阴影、肺部结节、淋巴结肿大等征象,具有敏锐的鉴别能力,熟练掌握呼吸科常见疾病(如哮喘、慢阻肺、支扩、肺部肿瘤、胸腔积液、气胸、间质性肺病等)的诊治,对少见/罕见病也有着丰富的临床诊疗经验,擅长以呼吸内镜介入为主的多种技能及肺部肿瘤的全程综合管理(如气道支架植入、球囊扩张、活瓣肺减容、冷冻肺活检、热凝切、EBUS-TBNA、气道瘘封堵、硬质气管镜、内科胸腔镜、经皮肺穿刺活检术、输液港植入术等)。主持或者参与国家级或省级医学研究课题多项,发表论文十余篇。
省基层医药学会呼吸病专委会常委兼秘书
省基层医药学会肺癌专委会常委
省临床医师协会肺血管及介入专委会常委
省精准医学应用学会肿瘤综合治疗分会常委
省精准医学应用学会抗感染分会委员
中国呼吸肿瘤协作组南区(泛大湾区呼吸肿瘤联盟)委员
第六届“羊城好医生”
民进广东省委会社会服务工作委员会副主任
出诊时间:每周二、四上午







