栏目分类
新闻中心
【省医在河源,名医在身边】神经外科一区完成首例内镜下脑内血肿清除术
来源: 发布时间:2022/3/29 作者:叶志其 阅读数:6166
近日,神经外科一区完成首例高血压性脑出血内镜下脑内血肿清除术,目前患者正在进一步康复治疗中。
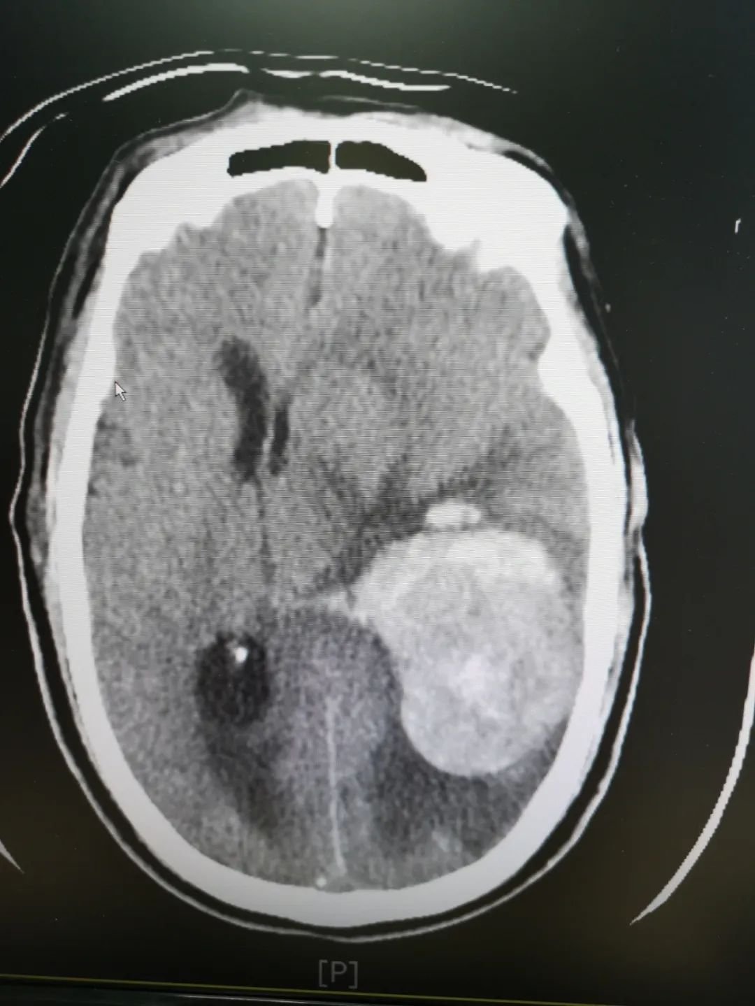
患者,张叔,72岁,长期罹患高血压,未坚持服药,且是一位独居老人。自2022年3月13日始,家属连续2天都无法联系上他,回家后才发现张叔已经处于昏迷状态,遂紧急送当地医院就诊,因病情危重,立即通过卒中中心绿色通道转诊我院。来院时患者有呼吸困难、已处于休克状态,予以气管插管、呼吸机辅助通气、扩容补液等紧急救治后,完善头颅CT检查提示“左侧颞顶叶急性脑出血(血肿量约75ml)伴少量破入脑室,大脑镰下疝形成”。神经外科杨建雄科主任、叶志其副主任迅速组织手术团队展开病情讨论。大家认为:患者高龄,脑出血量多,大脑镰下疝形成,伴低容量性休克,需纠正休克后紧急手术干预,术式选择颅内压监测、内镜下清除血肿,能减少术中出血,迅速降低颅内压力。所有术前准备有条不紊、火速进行,患者由卒中中心救治团队以最快的速度护送手术室进行手术治疗。
术前头颅CT提示左侧颞顶叶急性脑出血
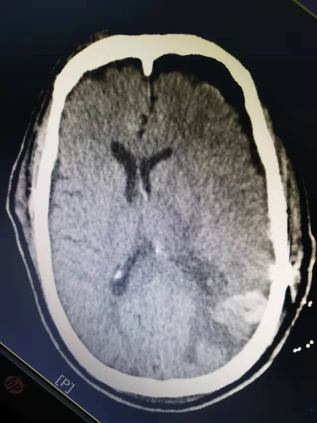
叶志其主任医师带领叶衍宏医师为患者精准施术,首次采用小骨窗内镜下清除血肿,术中血肿清除满意,止血彻底,颅内压力迅速下降至正常水平;目前,张叔正在康复治疗中。
小手术切口
内镜下清除脑内血肿
术后CT血肿清除满意
高血压性脑出血发病率很高,常发生于50~70岁年龄段,春冬季易发,主要表现为突发的头痛、呕吐、肢体偏瘫、意识障碍等。该病具有起病急、病情发展快和病死率高的特点,是我国人口中主要的致死和致残原因之一,目前急性期治疗包括内科治疗和外科治疗。而外科治疗方式有:1、开颅血肿清除术(必要时去除骨瓣);2、立体(方体)定向下钻孔引流术,术后反复血肿腔注射尿激酶促血块溶解排出;3、内镜下脑血肿清除术;内镜下脑内血肿清除术只需小骨窗开颅,将内镜置入颅内,最大限度清除血肿,手术时间短,术中术后并发症减小到最低,是一种微创的治疗方式。脑出血内镜手术方面适应症为:脑内、脑室内自发性脑出血,高血压性脑出血,排除动脉瘤或血管畸形;幕上血肿在30ml以上,脑疝前期,不需要去除骨瓣减压。
我院神经外科一区能根据患者个体情况,术前精准评估,差异化选择手术方式,开展多模态精准治疗高血压性脑出血。
神经外科咨询电话(一区:3185794,二区:3185676)






