栏目分类
新闻中心
【省医在河源,名医在身边】呼吸与危重症医学科成功开展经支气管冷冻肺活检术
来源: 发布时间:2022/4/4 作者:巫雄辉 阅读数:6465
近日,我院呼吸与危重症医学科在学科带头人罗少华主任带领下,成功为一名弥漫性肺疾病患者施行河源地区首例冷冻肺活检术(TBCB),我院在呼吸介入技术方面又有了新的突破。
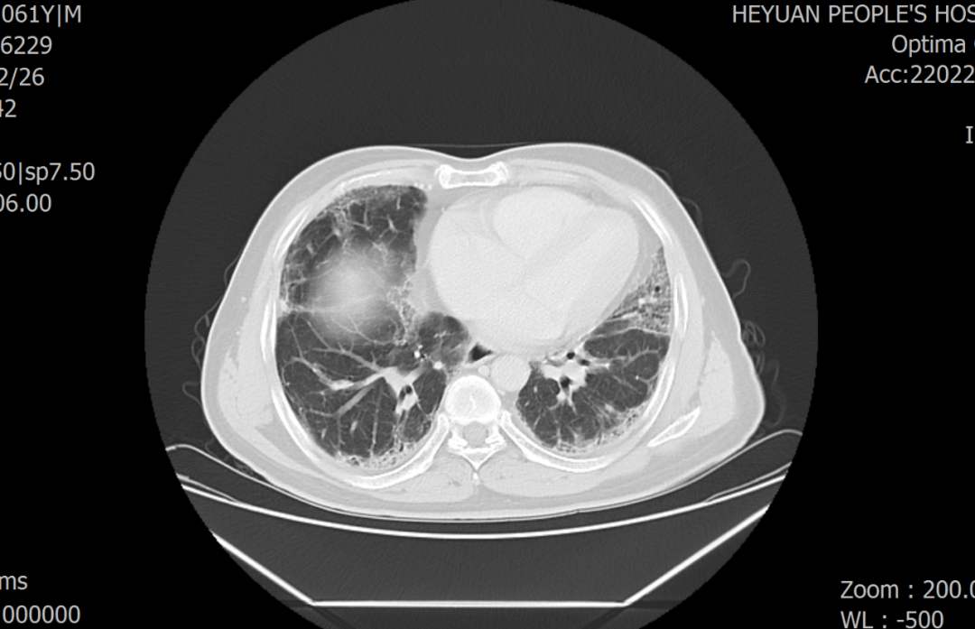
患者蓝某,男,61岁,因“咳嗽、呼吸困难2年余”入院。患者曾多次到广州等地大医院就诊,行胸部HRCT考虑间质性肺炎,但治疗效果不佳。患者呼吸困难症状渐进加重,近几个月来,平地缓慢行走数十米即有明显呼吸困难,严重影响生活质量,遂前来我院求治。罗少华主任查看患者后指出:患者为中年男性,慢性病程,主要症状为咳嗽、呼吸困难,来院时指脉氧饱和度90%(吸入空气状态下),查体提示存在杵状指、双下肺闻及Velcro啰音,胸部CT提示双侧间质性肺炎;但间质性肺炎是一大类疾病的总称,该患者当前影像学及实验室检验无法判断是属于哪一类型间质性肺炎,CT上看蜂窝不显著,有多发磨玻璃影,不符合典型特发性肺纤维化改变,故建议患者行经支气管冷冻肺活检术,了解其病理类型。
患者胸部CT(肺窗)
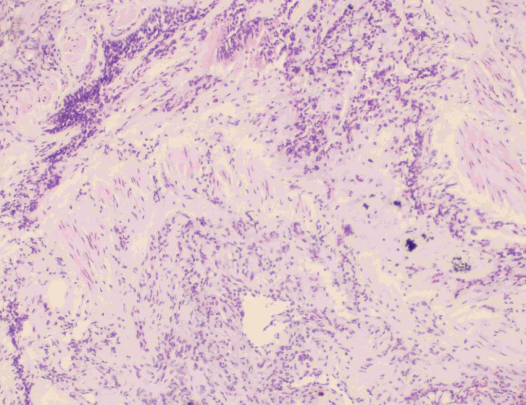
对冷冻肺活检术的必要性和并发症充分知情后,患者及家属签署同意书,罗少华主任带领学科团队在手术室全麻下为患者成功实施了TBCB,取得肺组织标本,术中出血少,患者未出现气胸等并发症,术后恢复良好,经病理确诊为寻常型间质性肺炎,为患者制定精准治疗方案提供了重要的依据。
罗主任在手术中
气管镜下所见(右下角为冷冻探头工作中)
冷冻活检取得的肺组织标本
术后复查胸片,未见气胸、血胸等并发症
肺活检组织病理
罗少华主任介绍,弥漫性肺实质性疾病(DPLD)是一组弥漫累及肺间质和肺泡腔的肺部疾病,在影像学上表现为广泛、多发性肺部病变。其病因复杂,诊断困难。常规外科肺活检是诊断这类疾病的金标准,但因手术创伤大,费用高,受心肺功能限制等因素,临床开展不多。传统的经支气管肺活检术(TBLB)使用普通活检钳,因获取的组织标本小,质量较差,不能充分代表病变的异质性,难以满足病理诊断的需要。而经支气管冷冻肺活检术(TBCB)是将冷冻探头经支气管直达外周肺组织或者结节,利用探头在冷冻过程中的黏附性,将探头周围的组织撕裂,获得肺组织标本的一项新技术,具有创伤小、并发症少、标本大且质量高、费用比外科肺活检显著降低等优点,目前,广泛用于DPLD、肺外周结节的诊断和肺移植术后的监测。我院呼吸呼吸与危重症医学科成功开展经支气管镜冷冻肺活检术,将为河源及周边地区广大呼吸系统疾病尤其是弥漫性间质性肺疾病的患者带来福音。







