栏目分类
新闻中心
【省医在河源,名医在身边】 神经外科一区手术治愈脑脓肿一例
来源: 发布时间:2022/5/7 作者:叶志其 阅读数:6024
近期,神经外科一区手术治愈一例由外院转来的脑脓肿患者,获得家属高度赞誉。
患者贺某某,男,27岁,由于一次外伤在当地医院治疗,诊断考虑:1、脑挫裂伤,2、颅底骨折并脑脊液漏;病情好转出院后2周患者出现头痛、头晕、胡言乱语,再次到当地医院行颅脑MRI检查考虑脑内血肿形成而转至我院,紧急启动绿色通道为患者完善检查,入住神经外科一区。
神经外科一区科主任杨建雄查房后指出:患者有明确外伤,颅底骨折并脑脊液漏病史,当地医院MRI考虑左额叶脑内血肿,要警惕脑脓肿可能,予脱水降颅压,完善颅脑MRI增强扫描。在等候检查过程中,患者病情加重,我院放射科紧急安排患者连夜检查,结果提示:1、左侧额叶脑脓肿(左侧额窦来源)并破入脑室及蛛网膜下腔,继发性化脓性脑膜炎;2、双侧额窦、筛窦、左侧上颌窦及蝶窦炎瘂,左侧额窦脓肿。MRI阅片提示脑内脓肿有如鸡蛋大小,杨建雄主任立刻组织神经外科一区手术团队紧急开展术前讨论、设计手术及治疗方案,决定采用方体定向下脑脓肿穿刺引流术、腰大池引流术,术后抗感染治疗。
手术团队精准穿刺脓肿腔
术中抽出大量脓液
做好术前准备后,叶志其主任医师、李文生主治医师为患者精准施术,准确穿刺脓肿腔,抽出25ml的黄色粘稠脓液。脓液细菌培养结果为:峡炎链球菌,对头孢曲松、青霉素、万古霉素、利奈唑胺等药物敏感,遂根据药敏试验结果确定静脉抗感染方案并联合鞘内给药抗感染治疗。
因腰大池引流患者需要卧床,神经外科一区护理团队每日需要细致地为患者翻身拍背、监测体温变化、根据引流液量调整引流管高度等,患者经历了剧烈头痛、寒颤、高热等一系列的临床症状后,病情逐渐好转,引流液渐渐由脓液变成清亮脑脊液,脑脊液常规检查各项指标恢复正常,脑脊液细菌培养无细茵生长。经过神经外科一区医护团队的精心照料,患者得以康复,患者家属也特地通过微信文字表达了感激。
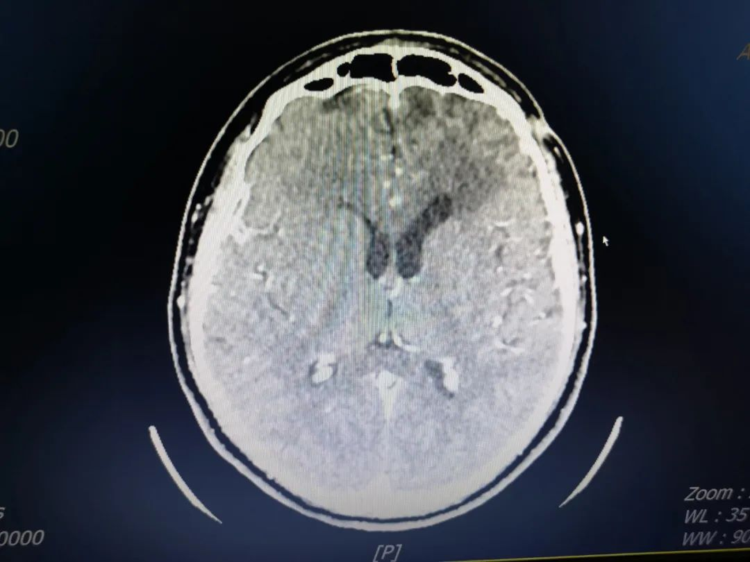
术前MRI增强示左额叶脓肿
术后CT增强示左额叶脓肿消失
患者家属通过微信文字表示感谢
脑脓肿是指化脓性细菌感染引起的化脓性脑炎、慢性肉芽肿及脑脓肿包膜形成,少部分也可是真菌及原虫侵入脑组织而致。脑脓肿在任何年龄均可发病,以青壮年最常见,引起脑脓肿的原因有:1、中耳炎、乳突炎、鼻窦炎、颅骨骨髓炎及颅内静脉窦炎等化脓性感染病灶可直接向脑内蔓延,形成脑脓肿;2、由于来自远隔身体其他部位的感染灶流经动脉的炎性栓子传入而形成及脓肿:如肺炎、肺脓肿、脓胸、支气管扩张、细菌性心内膜炎等;3.外伤性脑脓肿,为化脓性细菌直接由外界侵入脑内所致。清创不彻底、不及时,有异物或碎骨片存留于脑内,可在数周内形成脓肿;4.隐源性脑脓肿:指病因不明,临床上无法确定其感染源。可能原发感染灶和脑内继发病灶均较轻微或机体抵抗力强,炎症得到控制,未被发现,但细菌仍潜伏于脑内,一旦机体抵抗力下降,即可发病。脑脓肿除细菌感染外还有真菌、原虫、寄生虫等引起的脑脓肿。近年来因免疫功能损害引起的脑脓肿的报道日渐增多。
脑脓肿的临床表现可因脓肿形成的快慢、大小、部位与病理发展阶段的不同而不同。一般患者多有原发病灶感染史。经过长短不同的潜伏期即出现脑部症状及全身表现,一般发病急,出现发热、畏寒、头痛、恶心、呕吐、乏力、嗜睡或躁动、肌肉酸痛等, 甚至出现失语、运动、感觉障碍、癫痫等,通过血常规、腰椎穿刺行脑脊液检查、颅脑CT或颅脑MRI平扫/增强扫描可以确诊。
神经外科咨询电话:一区:3185794,二区:3185676






