栏目分类
新闻中心
【省医在河源,名医在身边】B超引导下经皮腔内血管成形术(PTA)为血透患者的“生命线”保驾护航
来源: 发布时间:2022/6/8 作者:王晓瑜 阅读数:5777
近期,我院肾内科团队独立开展B超引导下经皮腔内血管成形术(PTA),大大提升了我院肾内科的技术和服务能力。
血液透析是尿毒症患者的主要治疗方式之一,目前,我国大部分的尿毒症患者选择血液透析作为肾脏替代治疗的方式。血液透析治疗的开展,需要有良好的血管通路(如动静脉内瘘、人工血管动静脉内瘘、中心静脉导管等),因此,可靠的血管通路是血液透析患者的生命线。
然而,很多尿毒症患者因自身血管条件差,并伴随其他多种基础疾病(如糖尿病、血管炎、高凝状态等),长期反复进行血管穿刺,会导致前臂动静脉内瘘血管狭窄、血栓形成、假性动脉瘤及血管瘤样扩张等并发症,其中,前臂动静脉内瘘血管狭窄是最常见的并发症。
动静脉内瘘狭窄的传统治疗方法主要有狭窄段切除+补片术、内膜剥离、内瘘重建等。但这些方法创伤大,限制多。虽然DSA造影下动静脉内瘘球囊扩张术可以很好地将狭窄血管矫正至正常血管管径,但DSA对人体有辐射损伤,而造影剂可能对尿毒症透析患者带来不利影响。因此,B超引导下经皮腔内血管成形术(PTA),即球囊扩张术已经成为治疗血液透析动静脉内瘘狭窄(AVF)的主要技术。
近日,多名合并动静脉内瘘血栓或狭窄的维持性透析患者来我院求治,其中,有1名患者出现前臂动静脉内瘘流出道静脉狭窄并长段血栓形成、血管完全闭塞,无法进行血液透析治疗。在患者入院后,肾内科谢剑腾主任、杨建泉主任医师带领的科室医护团队,对患者进行了细致的评估,并行床边彩超检查,发现患者左前臂动静脉内瘘吻合口、流出道静脉均存在狭窄,且有长段血栓形成(血栓段长度约7cm),经与患者及其家属沟通后,决定为其施行B超引导下前臂动静脉内瘘介入取栓及腔内球囊扩张术,手术当天,历经近4个小时的内瘘介入手术,顺利取出患者前臂动静脉内瘘流出道静脉内长段血栓,并进行了血管腔内球囊扩张术,术后继续予尿激酶持续溶栓治疗,患者前臂动静脉内瘘血流恢复,透析中血流量可恢复230-250ml/min。
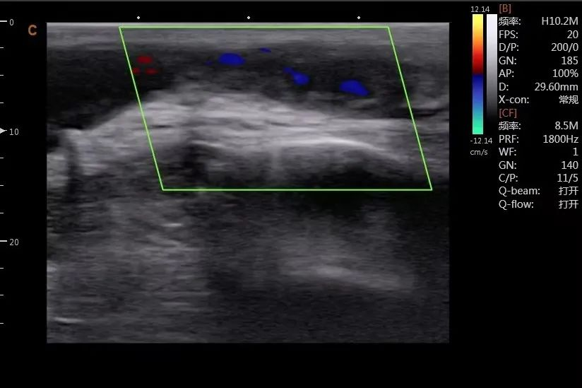
病例1:患者动静脉内瘘流出道静脉狭窄并血栓形成,术前超声探查未见明显血流信号
病例1:术中取出动静脉内瘘流出道静脉内大量血栓
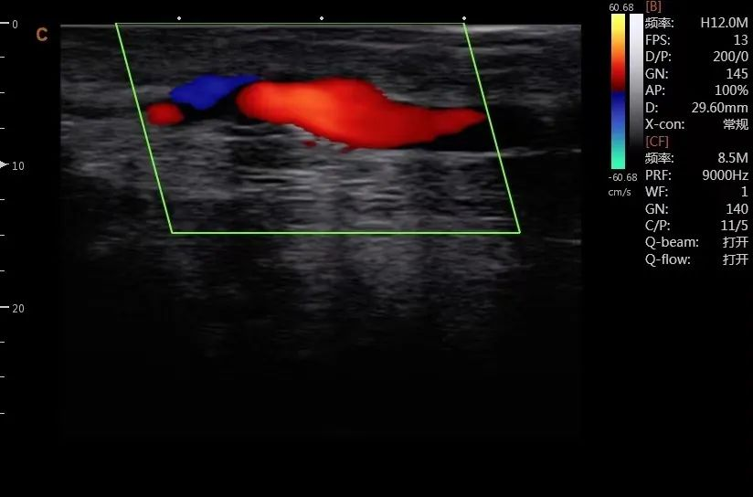
病例1:术后动静脉内瘘流出道静脉血流恢复,血流量230-250ml/min
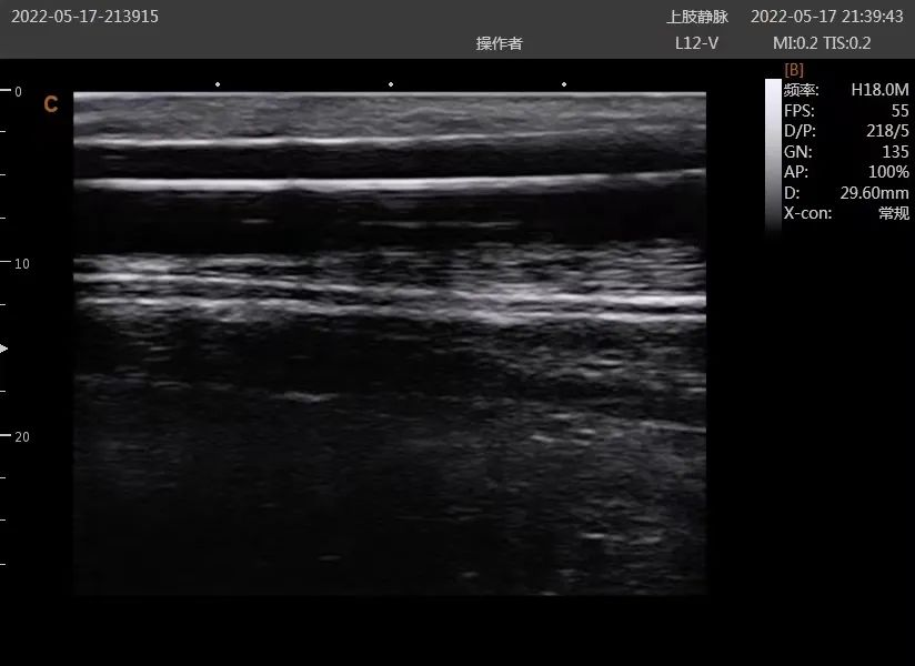
病例2:术前B超提示动静脉内瘘流出道静脉狭窄,血管内径1.8mm
病例2:术后B超探查,动静脉内瘘流出道静脉内径为5mm
超声引导下球囊扩张术是指超声引导下球囊扩张治疗透析患者动静脉内瘘血管狭窄是在超声的引导下经皮穿刺血管,送入球囊扩张导管,对血管的狭窄部分进行扩张,从而使狭窄部位矫正至正常血管腔内径,使得原有珍贵内瘘血管资源得以继续保留,具有精准、微创、安全、有效、操作简便等优点,为血透患者的生命线保驾护航。
B超引导下经皮腔内血管成形术(PTA)
在院领导的大力支持和广东省人民医院肾内科介入肾脏病团队的前期技术指导下,此次我院肾内科团队独立开展B超引导下经皮腔内血管成形术(PTA),为众多尿毒症透析通路并发症患者切实解决了问题,让患者在家门口就享受到微创的医疗技术和服务。
肾内科将继续秉承慢性肾脏病全生命周期管理和优质服务的理念,打造以肾脏病理诊断、慢性肾脏病随访管理为基础,透析治疗技术与透析通路中心并驾齐驱,为河源地区肾脏病患者做好最优医疗技术服务。
科室咨询电话:3185402







