栏目分类
新闻中心
【省医在河源,名医在身边】我院耳鼻咽喉头颈外科成功开展颅底肿瘤手术
来源: 发布时间:2022/7/13 作者:李世祺 阅读数:5343
我院耳鼻咽喉头颈外科在邹恒英主任、朱小燕主任医师的带领下,联合肿瘤科、放射科治疗一例鼻窦癌晚期患者,耳鼻咽喉头颈外科顺利施行鼻内镜下颅底、鼻腔、鼻窦恶性肿瘤扩大切除术,术后转至肿瘤科进一步行放、化疗。鼻咽颅底手术的成功开展,标志着我院耳鼻咽喉头颈外科在鼻内镜下鼻腔、鼻窦肿瘤手术技术取得了又一大突破。
今年4月份,一名患者因鼻塞30余年、右侧面颊部麻痹、右眼复视10天来到耳鼻咽喉头颈外科门诊就诊,通过CT检查,考虑为鼻窦恶性肿瘤,遂收入院行进一步诊治。
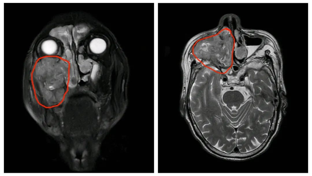
入住我院耳鼻咽喉头颈外科后,进行了一系列的检查,重点是病理活检及影像学检查,病理结果提示肿瘤性质为低分化鳞状细胞癌,而患者的影像学检查提示肿瘤侵犯范围大,突破了鼻腔鼻窦,累及了前颅底,翼腭窝、颞下窝,突破右侧眼眶底,向后侵犯鼻咽部侧壁。这意味着如果要用传统的手术方式切除肿瘤,必须行上颌骨全切,势必要牺牲患者的视力、正常的鼻腔功能及咀嚼、进食能力,并且会导致难看的颜面部畸形,术后生存质量极差。
术前MRI(所圈范围内为肿瘤病灶)
为了控制肿瘤的生长并最大程度地提高患者的生活质量。邹恒英主任与朱小燕主任医师联合肿瘤科吴昆鹏医师、放射科黎艳副主任医师展开病例讨论,确定了手术切除+放、化疗的治疗方案。
因颅底神经血管丰富、肿瘤较大、压迫正常组织,导致血管神经血管改变正常走行,耳鼻咽喉头颈外科手术团队经过多次讨论,考虑术中可能出现问题,术前都做了充分的准备,手术当天,在邹恒英主任指导下,朱小燕主任医师带领耳鼻咽喉头颈外科手术团队进行了手术,在鼻内窥镜下暴露肿瘤,应用低温等离子手术系统逐步切除肿瘤,虽然手术中出现多次动脉性出血,都在极短的时间内得到了控制,手术进行完成。术后患者恢复良好,转往肿瘤科进一步的放、化疗。
术后复查
鼻腔鼻窦癌以手术切除和放疗为主,可配合化疗、靶向药物、生物免疫治疗及中医中药治疗。早期鼻腔鼻窦癌,主张进行手术将其根除。对于中晚期患者,传统的经鼻外根治性手术难以切除,且术后生活质量较差。目前主张手术切除+放、化疗治疗,可一定程度地控制肿瘤生长,提高存活率及生存质量。
颅底其解剖结构复杂,含有重要的血管、神经及脑组织的功能区,其位置位于头颅最深部,手术进路选择很难,因其风险大、创伤大,过去曾被视为手术禁区。而随着技术的发展,特别是鼻内镜手术技术的飞速发展,使得鼻内镜下鼻颅底手术得以实现。在鼻内窥镜下,通过鼻腔自然通道入路充分暴露肿瘤病变进行手术,同时具有手术创伤小、手术时间短,术后并发症少、患者恢复快等优点。未来,团队将继续深造,进一步扩展治疗范围,让河源颅底肿瘤患者得到更好的医疗服务。 耳鼻咽喉头颈外科咨询电话:3185514



