栏目分类
新闻中心
【省医在河源,名医在身边】普通外科联合泌尿外科完成一例经后腹膜入路腹腔镜肝肿瘤切除术
来源: 发布时间:2022/9/30 作者:龙志祥 朱共元 阅读数:4946
近日,我院普通外科在学科带头人侯宝华教授带领下,联合我院泌尿外科,顺利为一名患者实施了腹腔镜下经后腹膜入路肝肿瘤切除术,术后病人恢复良好,顺利出院。
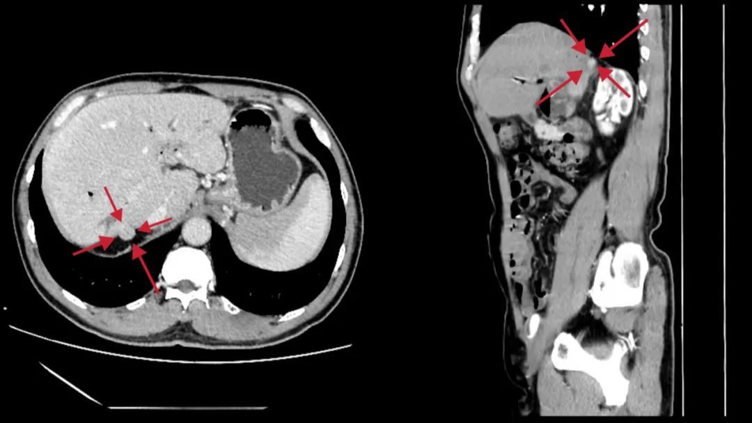
术前的影像学定位
该患者是一名中年男性,体检时发现肝右后叶S7段有一个直径约1cm的肿瘤,增强CT及核磁共振显示肿瘤距离肝右静脉很近。完成术前相关检查后,经院内多学科会诊讨论,认为虽然肿瘤不大,但位置特殊,常规的腹腔镜手术入路显露及操作困难;而传统的开腹手术虽然可以切除肿瘤,但手术切口及创伤会巨大;考虑到肿瘤的位置靠近后腹膜,经我院MDT团队的仔细论证,为患者制定了经右侧腰部后腹膜入路的腹腔镜下肝肿瘤切除手的个体化手术方案。经过充足的准备后,由侯宝华教授主刀,在泌尿外科毕学成主任团队的紧密配合下,顺利地为患者实施了肿瘤切除手术,全程几乎没有出血。术后患者恢复非常顺利。与开腹手术相比,该手术仅在患者右侧腰部留下几个直径0.5cm的小切口,效果非常好。
侯宝华教授在手术中
经后腹膜入路腹腔镜下肝肿瘤切除术,不仅是河源地区首例,填补了我院的空白,国内有关的报道也不多见。经后腹膜入路的腹腔镜手术难度大,对科室间协作要求高。该手术的顺利完成,标志着我院的腹腔镜手术以及多学科协作再上新台阶。
自广东省人民医院专家团队入驻我院一周年以来,我院普通外科面貌焕然一新,迎来了快速发展。在学科带头人侯宝华教授带领下,普通外科已常规开展了各类胃肠肿瘤、肝胆胰、甲状腺的规范化手术,而且开展了腹腔镜下胰十二指肠切除等一系列高难度的复杂手术,填补了河源市的多项空白。咨询电话:3185765、3185763



