栏目分类
新闻中心
【省医在河源,名医在身边】呼吸与危重症医学科罗少华:成功开展河源首例硬质支气管镜下硅酮支架置入术
来源: 发布时间:2022/11/14 作者:何青梅 阅读数:5357
近期,在省医派驻学科带头人罗少华主任带领下,经特聘省医客座教授李静主任指导,我院呼吸与危重症医学科成功开展河源地区首例经硬质支气管镜气管内硅酮支架置入术。
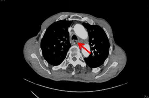
一名60岁男性患者,今年9月底因“咳嗽、咳痰10天”入住我院,1年前在外院确诊食管恶性肿瘤(中分化鳞癌),行放化疗,胸部增强CT显示:胸上段食管癌并食管-气管瘘,右肺及左肺下叶炎症(图1)。(2022-09-26)支气管镜(图2):距离隆突约3.0cm处可见一类圆形瘘口,有黄脓痰粘附,予吸净分泌物后见瘘口处粘膜充血、水肿、溃烂,直径约4mm,4.2 mm外径的电子支气管镜不能通过。(2022-10-17)支气管镜(图3)显示瘘口周围有新生物,活检病理证实为鳞癌。
图1:胸部CT(箭头指向为食管气管瘘口)
图2:支气管镜下见瘘口(2022-09-26)
图 3:支气管镜下见瘘口周围新生物(2022 -10-17)
结合患者病史、胸部CT及常规气管镜所见,罗少华主任查房后指出:患者进食、饮水呛咳,是食管癌进展导致食管气管瘘、食物从瘘口进入气管所致;其咳嗽、咳痰,跟吸入性肺炎有关;为了将食管气管瘘进行封堵、隔绝,置入气管内支架的适应征明确。考虑患者食管癌进展快速,选用支架类型及手术的方式非常关键,在罗主任主持下,邀请省医呼吸科李静主任、省医派驻专家麻醉科王志鹏主任参与MDT,经充分讨论,决定予全麻+肌松,高频通气下行硬质支气管镜,Y形硅酮支架置入术。
李静主任现场指导,呼吸与危重症医学科和麻醉科通力合作,罗少华主任带领呼吸内镜介入团队,为患者行经硬质支气管镜下气管支架置入术,过程顺利,支架位置固定良好,完全覆盖瘘口(见图5)。
图4:术前,李静主任(前排居中)、罗少华主任(前排右一)仔细查看患者资料
图5:支架位置良好,完全覆盖瘘口
图6:罗主任呼吸内镜介入团队在手术中
罗少华主任介绍,置入支架治疗良恶性气道狭窄,是目前公认较好的气道疾病解决方案之一。硅酮支架的组织相容性更好,对人体气道的刺激性相对较小,适用于以下良恶性气道疾病:气道瘘的封堵、瘢痕狭窄、气管肿瘤内生或外压性狭窄、吻合术或移植术后的气管狭窄等。而本例患者食管气管瘘位于气管下段,Y型硅酮气管支架可以更好固定,不易脱位,乃最佳选择。
依托省医强力支持,在罗主任带领下,我院呼吸与危重症医学科已经开展了多项呼吸内镜介入手术,而硬质支气管镜下气管支架置入术为气道狭窄的患者治疗提供了新的方法和手段,填补了河源地区该医疗技术领域的空白,为河源及周边地区患者提供了极大便利。
专家简介
罗少华
广东省人民医院河源医院呼吸与危重症医学科学科带头人,主任医师,硕士研究生,在读博士在广东省人民医院工作至今,长期从事呼吸内科方面的诊疗工作。对于肺部阴影、肺部结节、淋巴结肿大等征象,具有敏锐的鉴别能力,熟练掌握呼吸科常见疾病(如哮喘、慢阻肺、支扩、肺部肿瘤、胸腔积液、气胸、间质性肺病等)的诊治,对少见/罕见病也有着丰富的临床诊疗经验,擅长以呼吸内镜介入为主的多种技能及肺部肿瘤的全程综合管理(如气道支架置入、球囊扩张、活瓣肺减容、冷冻肺活检、热凝切、EBUS-TBNA、气道瘘封堵、硬质气管镜、内科胸腔镜、经皮肺穿刺活检术、输液港植入术等)。主持或者参与国家级或省级医学研究课题多项,发表论文十余篇。
省基层医药学会呼吸病专委会常委兼秘书省基层医药学会肺癌专委会常委省临床医师协会肺血管及介入专委会常委省精准医学应用学会肿瘤综合治疗分会常委省精准医学应用学会抗感染分会委员中国呼吸肿瘤协作组南区(泛大湾区呼吸肿瘤联盟)委员第六届“羊城好医生”民进广东省委会社会服务工作委员会副主任罗少华主任医师门诊出诊时间:每周二、四上午







