栏目分类
新闻中心
【省医在河源,名医在身边】母胎平安——普通外科为一名孕妇成功施行腹腔镜下胰腺巨大肿瘤“拆除”手术
来源: 发布时间:2022/12/22 作者:张杰 徐新强 阅读数:4808
近期,我院普通外科二区在学科带头人侯宝华副院长的带领下,为一名妊娠中期患者完整切除了胰腺上的巨大肿瘤,术后母胎平安,患者恢复良好已出院。
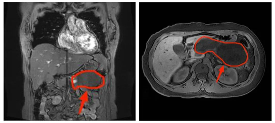
一名34岁女性患者,因“孕15周,腹胀1月余、伴腹痛4天”入院。经核磁共振检查发现胰腺体尾部有一大小约124mm×58mm×56mm的巨大囊性占位性病变。因患者胰腺病灶性质不明,不排除恶性可能,且病灶巨大、已有压迫症状,并随着孕周增加有进一步增大、胰腺炎发作、病灶破裂出血等风险。经普通外科、产科、麻醉科、影像科等多学科会诊后建议手术切除。
术前影像学检查
对于妊娠患者,这类手术有导致胰瘘、腹腔感染、出血、流产等风险,孕妇及胎儿面临的风险都要兼顾。另外,由于膨大的子宫占据了腹腔大部分空间,术中视野比一般情况下减少很多。因此,手术是在狭小的空间既要保证完整切除病灶,又要尽量避免对子宫的刺激,手术难度大。手术由侯宝华教授亲自主刀,在兄弟科室的紧密配合下,顺利地为患者实施了腹腔镜下胰腺肿瘤切除。术后患者恢复非常顺利,母胎平安。目前患者在我院产科医生指导下保胎治疗。
侯宝华教授在手术中
术后大体标本
腹腔镜下为孕妇患者实施胰腺手术,对孕妇、胎儿、医生都是极大的挑战。该手术不仅填补了我院的空白,在河源地区也是首例,而且国内外有关的报道也不多见。自广东省人民医院专家团队派驻我院一年多以来,我院普外科已成功开展了各种腹腔镜下肝胆胰外科四级高难度手术。该手术的成功实施,体现了普外科针对疑难复杂病例的手术水平不断提升,标志着我院的微创手术以及多学科协作再上新台阶,将进一步为河源地区及周边群众的提供更加优质的医疗服务。




