栏目分类
新闻中心
【省医在河源,名医在身边】神经内科多个罕见疾病病例报道发表于国际期刊
来源: 发布时间:2023/1/30 作者:张文胜 何伟亮 阅读数:5791
在与省医合作共建高水平医院的契机下,我院不断巩固临床和科研的根基,积极开展全院临床大培训和科研知识技能培训系列相关活动,神经内科团队充分调动医护的学习积极性,定期开展业务学习,组织疑难病例讨论,促进临床科研转化,近期在国际期刊上发表了多篇罕见疾病病例报道,形成了积极向上、不断进取且浓厚的临床和科研氛围。
病例1:《Streptococcus suis meningitis complicated with acute cerebral infarction: A case report》发表于《Heliyon》杂志(IF 3.7)。患者是一名62岁的男性,因“头痛、发热8天,加重5小时”到我院就诊。患者头痛剧烈,出现肢体瘫痪,伴有呕吐、双耳听力障碍。完善脑脊液化验提示猪链球菌感染,颅脑MR提示多发急性腔隙性脑梗死。经治疗后,患者头痛完全缓解,四肢肌力恢复正常后出院。本病例的罕见之处在于患者无高血压病、糖尿病等脑梗死的常见危险因素,无其它风湿、免疫、血液系统疾病等导致脑梗死的少见危险因素,科室充分讨论后认为出现急性脑梗死病因为猪链球菌感染,即炎症性因素导致急性脑梗死。
病例1文章在《Heliyon》杂志发表
ABC:治疗前颅脑MR FLAIR序列DEF:治疗后颅脑MR FLAIR序列GHI:治疗前颅脑MR DWI、MRA序列
病例2:《Long-segment spinal cord infarction complicated with multiple cerebral infarctions: a case report》发表于《BMC Neurology》杂志(IF 2.9)。患者是一名65岁男性,因“双下肢无力11小时”到我院就诊。患者在卸重物时突然出现胸部、背部和上肢剧烈疼痛,随后出现双下肢瘫痪。入院后完善脊髓MR检查提示C7至T6水平脊髓梗死,颅脑MR检查提示双侧基底节区、放射冠区多发急性脑梗死,经过积极治疗后,患者双下肢肌力逐渐恢复,出院后3个月随访时患者可借助助行器行走。本病例的罕见之处在于患者脊髓梗死的节段长,累及C7至T6节段,目前国际上暂未见报道过累及8个脊髓节段的梗死,同时本例患者出现长节段脊髓梗死合并颅内多发急性梗死的病因也值得进一步探讨。
病例2文章在《BMC Neurology》杂志发表
脊髓MR增强提示C7-T6椎体水平的脊髓梗死
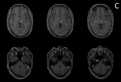
病例3:《Acute cerebral infarction of posterior circulation in a patient with vertebral artery fenestration deformity: A case report》发表于《Heliyon》杂志(IF 3.7)。患者是一名36岁男性,因“头晕、呕吐、行走不稳6小时”入院。外院颅脑MR提示左侧丘脑、左侧枕叶、左侧小脑多发不规则高信号病灶,我院颅脑MR增强检查证实左侧丘脑、左侧枕叶、左侧小脑多发急性脑梗死,头颈部CTA检查提示左椎动脉V2 -V3段开窗畸形。予抗血小板、调脂稳斑等治疗后,患者症状完全缓解,出院3个月随访时患者未出现新发脑梗死。本病例的罕见之处在于患者既往无任何脑梗死相关危险因素,排除了心源性栓塞、风湿免疫、血液系统疾病相关性卒中等其它可能,考虑患者急性脑梗死的病因为左椎动脉V2-V3段开窗畸形。
病例3文章在《Heliyon》杂志发表
颅脑MR增强检查证实左侧丘脑、左侧枕叶、左侧小脑半球多发梗死
我院引进的神经内科高层次人才何伟亮博士、副主任医师指出,在院领导的关心和支持下,神经内科十分注重临床和科研的相互促进,十分重视年轻医生的临床和科研培训,目前神经内科每月定期开展业务学习、科研培训,形成了医护人员一起做好临床工作、一起学习科研知识的良好氛围。
我院副院长、神经内科主任何锦照指出,神经内科将继续奋发图强,加强临床和科研基础培训,充分把握高水平医院建设的机遇,全面提高神经内科临床和科研水平,在推动河源地区神经内科专科全面发展的道路上不断前行。







