栏目分类
新闻中心
【省医在河源,名医在身边】呼吸与危重症医学科罗少华:成功开展河源首例胸腔镜下胸膜粘连激光烙断术
来源: 发布时间:2023/2/28 作者:张雯 阅读数:7114
近日,在省医派驻学科带头人罗少华主任带领下,我院呼吸与危重症医学科成功开展河源地区首例胸腔镜下胸膜粘连激光烙断术。
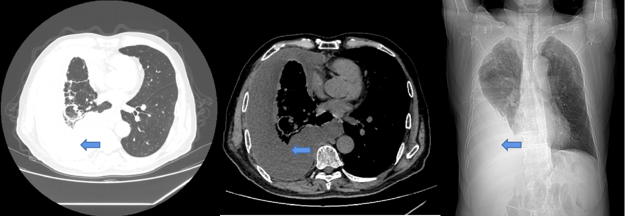
一名71岁男性患者,今年2月因“咳嗽、气促1月余”入住呼吸与危重症医学科,胸部CT显示:(图1)。胸腔积液超声(图2)显示胸水常规提示渗出液。
图1:胸部CT及胸片见右侧胸腔积液(蓝色箭头为胸腔积液)
图2:胸腔积液超声下见单侧胸腔积液伴包裹(蓝色箭头处见包裹)
结合患者病史、胸部CT及胸腔积液超声及胸腔积液性质,罗少华主任查房后指出,患者反复咳嗽及气促,是胸腔积液压迫所致,结合胸腔积液性质,结核性胸膜炎可能大,为减轻胸腔积液压迫,充分释放积液,解除胸腔积液黏连,可行胸腔镜下胸膜活检明确病理+胸膜黏连烙断术+胸腔闭式引流术+胸腔内药物注射,诊断与治疗“一站式”解决。
罗少华主任带领呼吸内镜介入团队,为患者行经胸腔镜下胸膜活检术+胸膜黏连烙断术(见图3-5),过程顺利,呼吸困难明显减轻,术后予以胸腔闭式引流术+胸腔内纤溶性药物注射,复查胸片及胸腔积液超声,包裹性胸腔积液情况明显减轻(见图6)。
图3:罗少华主任与呼吸内镜介入团队在手术中
图4:术前见包裹性胸腔积液情况(蓝色箭头下白色为纤维包裹)
图5:术中胸腔镜下行胸膜粘连激光烙断术
图6:术后见胸膜粘连被激光烙断
图7:术后胸片及胸腔积液超声提示包裹性积液明显减少(蓝色箭头区域未见明显包裹)
罗少华主任介绍,结核性胸膜炎是一种最常见的肺外结核表现,急性起病,咳嗽和胸痛,可伴有发烧、盗汗、体重减轻和呼吸困难。病情严重程度因积液量而异。由于传统抗结核药物的局限性,结核性胸膜炎形成的包裹性胸腔积液,治疗周期长,治疗效果欠差,目前针对包裹性胸腔积液的治疗主要是胸腔内注射纤溶性药剂如尿激酶等,但面对较厚的纤维包裹,纤维性药剂治疗效果有限。胸膜烙断术(Pleurectomy)是一种切除部分胸膜的手术,减少胸前积液产生,这种手术有助于防止液体聚集在受影响的区域,相对新颖、安全、简便、有效。本例患者,联合术后胸腔内纤溶性药物使用,使用胸膜烙断术,显著改善了包裹性胸腔积液的情况,减轻了呼吸困难,收到了良好效果。
我院呼吸与危重症医学科诊治疾病不仅覆盖常见病、多发病,而且兼顾少见或罕见病,以呼吸内镜介入技术为重要诊治手段,不断开拓、进取,服务于更多有需要的患者。胸腔镜下胸膜烙断术,为结核性胸膜炎的患者治疗提供了新的方法和手段,填补了河源地区该医疗技术领域的空白,为河源及周边地区患者提供了便利。
专家简介
罗少华
广东省人民医院河源医院呼吸与危重症医学科学科带头人 主任医师 硕士研究生 在读博士
在广东省人民医院工作至今,长期从事呼吸内科方面的诊疗工作。对于肺部阴影、肺部结节、淋巴结肿大等征象,具有敏锐的鉴别能力,熟练掌握呼吸科常见疾病(如哮喘、慢阻肺、支扩、肺部肿瘤、胸腔积液、气胸、间质性肺病等)的诊治,对少见/罕见病也有着丰富的临床诊疗经验,擅长以呼吸内镜介入为主的多种技能及肺部肿瘤的全程综合管理(如气道支架置入、球囊扩张、活瓣肺减容、冷冻肺活检、热凝切、EBUS-TBNA、气道瘘封堵、硬质气管镜、内科胸腔镜、经皮肺穿刺活检术、输液港植入术等)。主持或者参与国家级或省级医学研究课题多项,发表论文十余篇。
省基层医药学会呼吸病专委会常委兼秘书
省基层医药学会肺癌专委会常委
省临床医师协会肺血管及介入专委会常委
省精准医学应用学会肿瘤综合治疗分会常委
省精准医学应用学会抗感染分会委员
中国呼吸肿瘤协作组南区(泛大湾区呼吸肿瘤联盟)委员
第六届“羊城好医生”
民进广东省委会社会服务工作委员会副主任委员
出诊时间:每周二、四上午









