栏目分类
新闻中心
【省医在河源,名医在身边】硬核技术,再创新高——心血管内科何鹏程教授团队“再啃硬骨头”
来源: 发布时间:2023/3/8 作者:罗德谋 刘恒 李樟彬 阅读数:6447
☀硬核技术
2月21日,在院长何鹏程教授的带领下,心血管内科团队再次应用旋磨联合振波球囊技术治疗冠状动脉严重钙化病变,手术获得圆满成功,患者心绞痛症状完全缓解。此次手术的再次成功开展标志着我院冠脉高危复杂钙化病变的介入治疗水平进一步跃升。
☀病例简介
66岁的陈伯,因反复出现胸痛不适1年,行冠状动脉造影显示右冠状动脉为慢性闭塞病变(CTO),且血管全段均严重钙化,介入难度极高。陈伯慕名来我院求医。经过周密的术前准备,院长何鹏程教授带领心血管内科团队首先顺利的开通患者右冠状动脉慢性闭塞(CTO)病变,继而针对患者冠脉特点进行科学研判,认为患者血管虽然顺利的再通,但是其自身所伴随的全程血管段严重弥漫钙化病变使得单纯“通波仔”(球囊扩张)无法使血管管腔重新恢复,血管支架也难以撑开,介入操作技术难度及风险均极高,较既往的病例更为复杂,堪称树立在冠脉介入医生面前的“珠穆朗玛峰”。经过团队的认真讨论,决定使用冠脉旋磨联合冲击波球囊手术方案,来克服困难和翻过这座“高峰”。
☀手术过程
何鹏程教授带领心血管团队首先使用CTO开通技术,在冠脉微导管的支撑下利用特殊的导引导丝开通完全闭塞的血管段。在开通过程中发现闭塞的血管段和影像学所展示的征象一致:全程钙化明显,导丝和其他手术器械通过血管时所受到的阻力非常大。因此我心血管团队使用冠脉内旋磨技术,利用高速旋转的金属磨头对血管内的“硬石头”进行“抛光打磨”,明显减轻血管内钙化程度;在此基础上,利用冲击波球囊对血管中膜下钙化病变进行超声震波碎裂,进一步减轻血管中层和外层的钙化程度,使原本严重狭窄且钙化严重的病变快速松解扩张,令血管再次“恢复柔顺”,最后顺利植入支架把血管支撑起来,使患者严重钙化血管“重获新生”。对于如此高危复杂的冠心病,团队实施了高质量、高效率的治疗,让家属放心,患者满意。
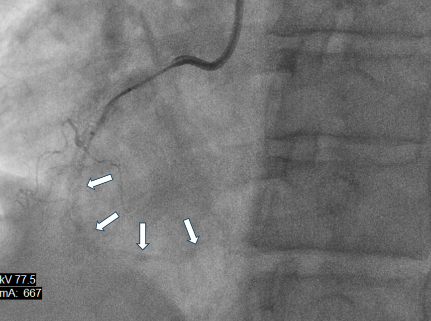
开通过程开始,右冠状动脉全段闭塞且全称弥漫钙化(箭头所指为闭塞血管段,但是由于明显钙化(石头),未用造影剂就已经可以看到血管轮廓)
使用冠脉内旋磨技术减轻腔内钙化负担和改善管腔成型
使用冠脉内冲击波治疗技术减轻血管钙化,利于球囊扩张和植入支架,改善支架支撑力
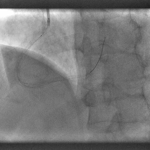
开通后,粗大的右冠状动脉血管显示出来,患者心脏缺血明显改善,心脏“发动机”再次满血运作,图为再次满血运作的血管
患者对心血管内科团队的精心诊治表示感谢
☀手术点评
院长何鹏程教授表示,冠脉钙化病变是冠心病介入治疗的主要挑战之一,属于高危复杂手术,能顺利开展此手术的医院在全国也为数不多。因为阻塞血管的斑块硬度极高,常用的球囊难以有效挤压斑块扩大血管管腔,旋磨术可以有效销蚀钙化斑块,但仅能处理表浅钙化,对于深层钙化无能为力。而血管内冲击波能量钙化碎裂术可以弥补旋磨术的不足,对深层的钙化病变可以起到碎裂作用,两者联合使用,可对钙化病变的处理获得令人满意的结果。我院再次利用冠脉内旋磨联合振波球囊技术这把利剑,处理高危复杂的重度钙化病变,充分展现了心血管内科团队精湛的技术和勇攀高峰的决心。团队将以良好的医德,过硬的技术和优质的服务,承担起守护人民群众心血管健康的重要责任。
专家简介
何鹏程
医学博士,主任医师,博士研究生导师,广东省人民医院河源医院院长、党委副书记,广东省人民医院心内科副主任
学术任职
美国心脏病学会 Fellow(FACC)
欧洲心脏病学会 Fellow(FESC)
亚太心血管介入学会 Fellow(FAPSIC)
美国心血管造影和介入学会 Fellow(FSCAI)
亚太心血管介入治疗大会课程 副总监
国家心血管病专业质控中心 委员
中国医师协会心血管内科医师分会 青年委员
中国心胸血管麻醉学会精准医疗分会青年委员会 副主任委员
广东省医学会心血管病学分会 常务委员 影像学组组长
学术荣誉
临床方面
2019年 获广东医院最强科室(心内科)“实力中青年医生”称号
2018年 获“广东省岭南名医”称号
2016年 获中国青年医师冠脉分叉病变大赛全国总冠军
2015年 获欧洲介入心脏病大会(EuroPCR)挑战性介入治疗病例
2013-2015年连续3年 获中国介入心脏病学大会(CIT)挑战性介入治疗病例
2013年 获中国长城国际心血管会议英语临床病例比赛十佳病例
2012年 获美国经导管心血管治疗年会(TCT)挑战性介入治疗病例
科研方面
2019年 获第十三届东方心脏病学会议“东方新星提名奖”
2019年 获“广东省杰出青年医学人才”称号
2019年 获“广东省人民医院杰出青年人才”称号
2018年 获“中国介入心脏病大会(CIT)十大青年研究者”称号
2018年 获中国中青年研究基金竞选第二名
科研立项
先后主持国家自然科学基金、中国心血管医师研究基金项目3项,广东省自然科学基金、科技计划项目3项,广州市科技计划项目1项。
学术论文
第一/共同第一作者及通讯/共同通讯作者身份发表SCI论文30余篇(IF>10共5篇),临床研究代表作发表于JAMA Internal Medicine(IF 21.873),基础研究代表作发表于Autophagy(IF 16.016)。
责任担当
广东省第十四届人民代表大会代表
中国人民政治协商会议河源市第八届委员会委员
中国共产党河源市第八次代表大会代表
2022年 中国人民政治协商会议河源市委员会优秀履职委员
2019年 首届全国心血管中青年医师公益之星
2015年 第十七届广东青年五四奖章
2015年 喀什地区优秀援疆干部人才
2015年 喀什地区第一人民医院优秀援疆干部
2014年 广东援疆工作队优秀援疆工作者
2003年 参与感染科一线抗击非典工作,荣立二等功
乐建华
医学硕士,主任医师
心血管内科二区(CCU)主任
内科第一党支部书记
广东省医学会心血管病分会 委员
广东省胸痛中心协会 委员
广东省康复医学会心血管病分会 理事
中国农村卫生协会高血压专业分会 委员
广东省中西医结合分会心血管分会 委员
广东省精准应用学会心脏康复分会 常委
罗德谋
医学博士,广东省人民医院心内科 主治医师
广东省人民医院河源医院心血管内科 主治医师
广东省介入性心脏病学会心脏超声分会委员
广东省生物医学工程学会心脏重症与康复技术分会委员
广东省老年保健协会会员
广东省老年保健协会冠心病精准治疗与心脏康复专业委员会委员
广东省中西医结合学会心律失常分会委员
中国医疗保健国际交流促进会心血管病分会委员
河源市医学会心血管病分会秘书等学术职务。










