栏目分类
新闻中心
放射科“一站式”CT助力脑组织保卫战
来源: 发布时间:2023/3/15 作者:李锦华 黎艳 刘向华 阅读数:5651
近日,我院放射科运用新引进的GE 256排Revolution超高端CT为多名急性缺血性脑卒中患者进行了快速多模态一站式卒中CT检查,并准确诊断脑组织的核心梗死区及缺血半暗带(可挽救的脑组织)的范围,为精准血管内治疗提供可靠依据,为抢救大脑赢得了宝贵的时间。
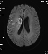
2月16日,72岁的黄先生在家中突发左侧肢体无力伴言语不清,家属将其送至我院急诊科就诊,卒中团队会诊后考虑急性脑卒中,NIHSS评分:20分,并立即护送患者至放射科。放射科医技护启动绿色通道,在3分钟内完成一站式卒中CT检查,并对脑CT灌注(CTP)及CT血管造影(CTA)图像进行快速评估:可见患者双侧颈内动脉及右侧大脑中动脉均闭塞(图1);CTP显示患者右侧大脑半球血流灌注减低(图2),但存在较大面积的缺血半暗带(图3),这提示如果能及时改善血运,可挽救大部分缺血脑组织,显著缩小脑梗死的范围,进而改善患者预后。基于可靠的影像证据,神经内科卒中团队当机立断通过急诊介入手术成功取栓并扩张颈内动脉,患者右侧大脑半球及时恢复了血供。术后第2天患者四肢、言语功能恢复良好,NIHSS评分:7分。术后第3天后MRI复查显示脑梗死范围远远小于术前低灌注区域(图4)。
图1:CTA示双侧颈内动脉及右侧大脑中动脉闭塞
图2:CTP示右侧大脑半球血流灌注减低
图3:CTP示缺血半暗带(绿色)与核心梗死区(红色)
图4:术后第三天MRI复查显示脑梗死范围明显小于术前低灌注面积
我院新引进仪器展示
缺血性脑卒中,即脑梗死,具有高致残率和高致死率,其治疗时间窗很短,每耽误一分钟,患者将会失去190万个脑细胞,可以说“时间就是大脑”。对于大血管急性闭塞导致缺血性脑卒中的患者越早期选择血管内治疗,临床获益就越显著;但治疗前早期、精准的影像学评价取决于是否采取血管内治疗的关键,一方面有助于选择合适的患者,即适应症的选择,尽可能让患者最大获益,避免或减少不良并发症的发生,另一方面有助于指导手术路径,缩短手术时间。我院放射科新启用的超高端CT扫描速度更快、功能更齐全,“一站式”完成卒中CT检查,可快速、准确的评价缺血性脑卒中,为有效的打赢脑组织保卫战提供强力的支撑。另外,该高端CT可完成无限制单心跳冠状动脉CTA检查、一站式全身CTA增强组合扫描、能谱扫描等。我院与广东省人民医院合作共建下,放射科全体医技护齐心协力、勇攀高峰,将以高质量的服务,为患者提供更为精准、全面的检查与诊断,为广大人民群众的生命健康保驾护航。






