栏目分类
新闻中心
神经外科成功施行桥小脑角区巨大脑膜瘤切除术
来源: 发布时间:2023/3/22 作者:叶衍宏 叶志其 阅读数:6242
【省医在河源,名医在身边】近日,我院神经外科一区医疗团队成功为一名患小脑幕脑膜瘤患者进行切除手术,患者恢复良好,治疗效果满意。
59岁的邹阿姨因2周前开始出现突发剧烈头痛到我院就诊,行核磁共振增强扫描检查提示桥小脑角区巨大肿物。
红色箭头为肿物,黄色箭头显示脑干受压变形,蓝色箭头显示有梗阻性脑积水
入院后进行头颅MRV检查(红色箭头提示右侧横窦受压缩小)可见肿瘤侵犯右侧横窦及乙状窦
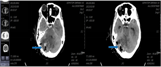
神经外科杨建雄主任、叶志其主任医师等带领神经外科一区团队经过术前病例分析,制定了详细的治疗方案,同时告知患者及家属,患者诊断考虑CPAP区巨大脑膜瘤,上顶小脑幕,内压脑干,已形成梗阻性脑积水,若不及时手术可能随时出现脑疝危及生命,且肿瘤血供丰富,肿瘤侵犯右侧横窦及乙状窦,术中出现大出血可能,做好手术备血。术中需仔细操作,减小损伤,注意保护瘤周正常脑组织,防止术后发生严重的脑水肿。在患者及家属同意的前提下,同时在省医神经外科周东主任医师的指导下,采用右侧旁正中入路切口,在显微手术下完美将肿瘤完全切除,术后复查头颅CT(蓝色箭头为残留术腔,肿瘤完全切除)。
蓝色箭头为残留术腔,肿瘤完全切除
术后邹阿姨头痛缓解,精神状态好,四肢活动良好,无任何神经功能障碍。术后病理结果提示:非典型脑膜瘤(WHO II级)。患者目前积极康复治疗中。
我院专家了解患者恢复情况
脑膜瘤是常见的良性颅内肿瘤,约占颅内肿瘤的15%—20%。其好发于成年人,老年人与儿童较少,女性发病率稍高于男性。疾病早期患者常常只有轻微头痛,呈间歇性。但经数月、数年,肿瘤长得较大时随着颅内压力增高,头痛转为经常性,程度亦有所加重,或伴有视力下降及精神症状。当颅内压力增高到相当严重时,患者视力会明显下降乃致失明,眼底检查可见视神经乳头高度水肿或继发性萎缩。若肿瘤位于重要功能区时,可较早地出现神经系统定位症状,如癫痫、对侧肢体肌力减退、感觉障碍或共济失调等。故凡成年人出现上述症状或体症,应及时就诊并进一步检查以明确诊断,适时手术治疗。
专家简介
周东
广东省人民医院神经外科主任
广东省人民医院河源医院神经外科客座教授
主任医师 医学博士 博士研究生导师
熟练掌握显微外科、神经内镜等微创技术,擅长成人胶质瘤、脑膜瘤、听神经瘤、三叉神经痛、面肌痉挛和儿童颅咽管瘤、髓母细胞瘤、胶质瘤、脊柱裂等疾病的外科手术治疗,在新生儿、婴幼儿脑积水、成人复杂脑积水等方面有独到见解。






