栏目分类
新闻中心
胸外科为中央型肺癌患者成功施行左上肺叶支气管袖状切除术
来源: 发布时间:2023/4/2 作者:彭勇 阅读数:8300
近日,我院胸外科成功为一例中央型肺癌患者实施了胸腔镜下左上肺癌支气管袖状切除术、肺动脉血管成形术、肺癌根治术。这一高难度手术为我院胸外科微创手术的发展奠定了新的高度。
51岁男性患者吴某,因“咳嗽、活动后胸闷不适1周”于2022年10月就诊于我院肿瘤科。入院后行支气管镜检查病理提示诊断考虑左上肺中央型浸润性低分化鳞癌。胸外科为患者行了新辅助化疗,方案为:多西他赛+卡铂,化疗5周期后,复查胸部CT提示肿瘤较前缩小。
新辅助化疗前胸部CT检查
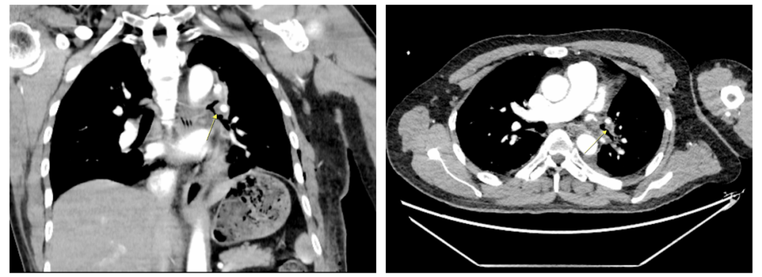
新辅助化疗后胸部CT检查
新辅助化疗后胸部CT检查报告
由于癌灶位于主支气管附近,属于中央型肺癌,手术风险极大。广东省人民医院钟文昭教授和我院胸外科张广云主任仔细评估患者病情后认为患者基础肺功能差,若行左全肺切除恐无法耐受,但若不手术,肿瘤将很快进展危及生命。为了挽救患者,钟文昭教授和张广云主任决定为患者进行左上肺癌支气管袖状切除术和肺动脉血管成形术。该手术虽然难度极大,风险高,但能达到全肺切除相同的手术效果,最大限度切除肺部肿瘤和有效保护肺功能,为患者获得最佳的预后。在麻醉科和手术室的大力配合下,2023年3月,钟文昭教授和张广云主任带领的胸外科团队为患者施行了左上肺癌支气管袖状切除术、肺动脉血管成形术、肺癌根治术,手术十分成功。
肺袖状切除术示意图(左图:袖状切除前,右图:袖状切除后)
广东省人民医院胸外科钟文昭教授指导手术
袖式肺叶切除术,可分为支气管袖状肺叶切除术和支气管袖状肺动脉袖状肺叶切除术。部分肺癌患者癌变位于一个肺叶内,但已侵及局部主支气管或中间支气管,为了保留正常的邻近肺叶,避免作一侧全肺切除术,可以切除病变的肺叶及一段受累的支气管,再吻合支气管上下切端,临床上称为支气管袖状肺叶切除术。如果相伴的肺动脉局部受侵,也可以同时作部分切除,端端吻合,称为支气管袖状肺动脉袖状肺叶切除术。这样尽可能的保留正常邻近肺组织,避免一侧肺全部切除带给患者巨大的心肺功能影响,提高了患者术后生活质量,实现了患者利益的最大化。因为这样的手术方式器械不能替代,完全依靠手工缝合,因此对手术技术要求极高。
近年,胸外科张广云主任团队在广东省人民医院胸外科钟文昭教授团队指导下,联合肿瘤科、麻醉科、手术室的密切配合,持续开展高难度的手术。此例胸腔镜下肺叶支气管袖状切除术是我院新技术项目,手术的成功开展标志着我院胸外科的胸腔镜微创技术迈上新的台阶。
专家简介
钟文昭
广东省人民医院河源医院胸外科客座教授
●胸部肿瘤外科学博士,主任医师
●广东省肺癌研究所所长
●香港中文大学(深圳)、华南理工大学医学院、南方医科大学博士生导师







