栏目分类
新闻中心
肿瘤科通过放化疗治愈一例宫颈癌晚期患者
来源: 发布时间:2023/4/30 作者:娄兰明 阅读数:7337
发现肿瘤即是晚期或术后复发,一直是癌症患者及家属最为担心、害怕的事。甚至有些患者认为一旦复发就相当于宣判死刑,放弃治疗。随着治疗方式的进展,抗癌理念也需要更新,即使确诊肿瘤晚期,传统化疗依然可以让很多患者明显受益,而且目前肿瘤治疗已经迈入靶向治疗、免疫治疗时代,治疗效果越来越好,副反应越来越小,延长患者生命长度和质量真的不再是一句空谈。这里分享肿瘤科通过放化疗,治愈1例晚期宫颈癌患者的病例。
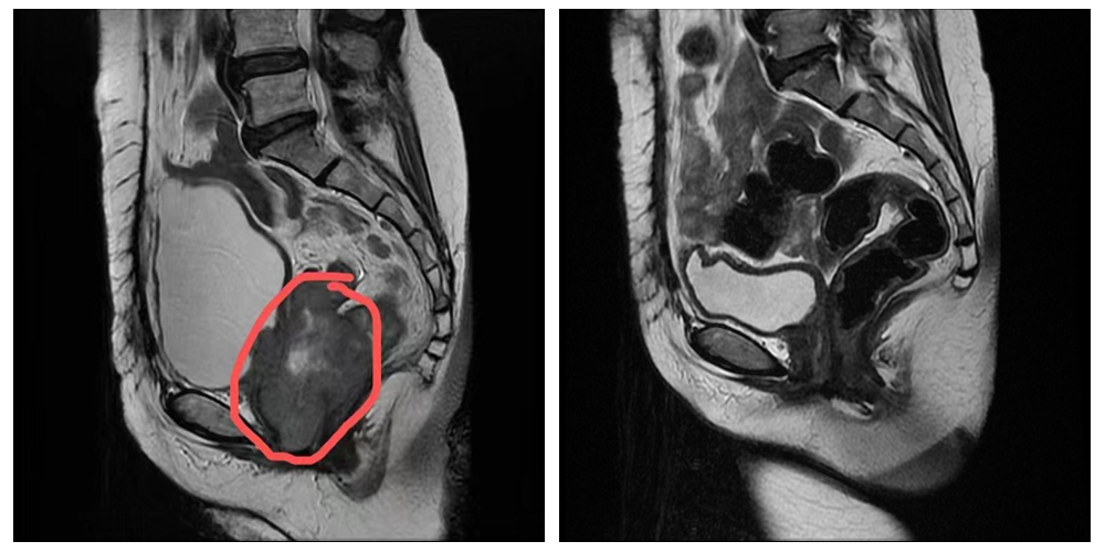
患者郭某,于2020年7月在广州某大医院行宫颈癌根治术,术后患者拒绝行辅助放化疗,在家休养。2021年7月初患者开始出现下腹部疼痛不适,就诊我科门诊行盆腔增强MRI检查:宫颈癌术后复查,宫颈区见团块状肿块(范围约72mm×51mm×55mm);下腹部、盆腔见多发结节状异常信号影,较大者约27mm×22mm。建议患者入院进一步检查及治疗。患者家属经过一周考虑后,联系我科住院进一步治疗。
专家进行会诊
入院后完善检查最终诊断:宫颈癌术后局部复发IV期;下腹部、盆腔多发淋巴结转移瘤。考虑患者为宫颈癌术后局部复发,肿瘤已经侵犯阴道、膀胱三角区、左侧输尿管下段、直肠下段前壁,目前再次手术困难。经肿瘤科团队疑难病例讨论后,决定暂行诱导化疗,待肿瘤缩小后行根治性放疗。于2021年8月4日开始在我科行2程以铂类为基础的联合化疗。之后患者腹痛消失,2021年9月26日复查盆腔增强磁共振,宫颈癌术后复查:原宫颈肿块及盆腔多发淋巴结转移瘤已不可见。疗效评估达到CR(临床完全缓解)。
肿瘤在红圈中所示:
治疗前盆腔磁共振及复查盆腔磁共振:肿瘤已消失
治疗前盆腔磁共振及复查盆腔磁共振:肿瘤已消失
患者继续行4程原方案化疗后,于2022年3月至4月在我科门诊行宫颈癌根治性放疗(50Gy/25次),进一步巩固治疗效果。其后定期复查未见复发。2023年4月在我科复查盆腔增强磁共振,宫颈癌术后复查:未见明确肿瘤复发征象。目前患者病灶消失已持续1年半余,无任何不适症状。
复查盆腔增强磁共振:未见明确肿瘤复发征象
我院肿瘤科是集医疗、科研、教学为一体的肿瘤放疗、化疗、靶向、免疫等综合治疗专业学科。肿瘤科将继续依托省医平台,持续提升我科专业技术水平,坚持恶性肿瘤多学科协助综合治疗模式(MDT),为河源地区肿瘤患者在我院享受广东省人民医院的治疗水平和服务体验提供重要保障。自广东省人民医院与我院开展跨区域“一对一”紧密合作共建工作以来,对肿瘤学诊疗工作给与了大力支持,并计划长期保持多方面多层次紧密合作共建,努力实现与广东省人民医院同质化的诊疗效果。经医院整合肿瘤学各亚学科专家,按照癌种成立多支多学科综合诊疗团队(肺癌团队、乳腺癌团队、消化肿瘤团队、头颈肿瘤团队、妇科泌尿肿瘤团队等),给予每位患者在肿瘤各阶段提供规范化、专业化、个体化的诊疗方案。
专家简介
娄兰明
主治医师、肿瘤学硕士
社会学术任职:广东省临床医学学会肿瘤免疫治疗专业委员会青年委员;广东省医学教育协会肿瘤学专业委员会委员;河源市抗癌协会恶性肿瘤多学科联合诊疗(MDT)专委会委员;河源市抗癌协会委员;河源市肿瘤防治联盟秘书长。
从事恶性肿瘤的化疗、靶向治疗以及生物免疫治疗,尤其在肝癌、结直肠癌、宫颈癌、卵巢癌等腹部、盆腔肿瘤的综合治疗方面有着丰富的临床经验。






