栏目分类
新闻中心
超声医学科成功开展超声引导下淋巴结穿刺活检术
来源: 发布时间:2023/5/30 作者:陈俏伟 高兴 阅读数:8082
近日,我院超声医学科介入团队成功为两名淋巴结肿大查因的患者进行了超声引导下颈部与腋窝处淋巴结的穿刺活检术。超声医学科超声介入团队致力于提高自身业务水平,为河源地区患者带来更安全创伤小的介入诊疗技术。本着不断探索、勇攀高峰的学习精神,超声医学科介入团队经过不懈的努力,成功独立完成了超声引导下的介入诊疗。
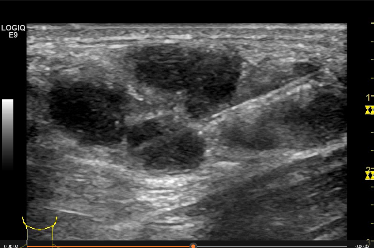
术前超声造影评估淋巴结坏死区域
这两位患者中,一位是因为腋下有肿物前来我院就诊;另一位是因为颈部出现肿物想完善检查和治疗。超声检查均提示为多发淋巴结肿大。门诊医生看过超声结果后,表示可以做超声引导下穿刺活检对淋巴结肿大病因进行进一步的明确诊断,所以两位患者来到我科了解相关内容。我科介入团队医师接诊两名患者后,通过分析常规超声结果,针对淋巴结可能存在坏死灶的情况,建议患者先做超声造影。造影评估发现,淋巴结内存在多处坏死,因此在术中介入团队医师们精准地避开了淋巴结的坏死区域,在尽量减少穿刺次数避免损失的原则上取出了有意义的组织。超声介入团队的陈俏伟医师、陈钦主治医师和徐小嫣护理师在超声医学科负责人高兴副主任医师的现场指导下,成功做到了术前有效评估,术中安全疼痛感轻微,术后无并发症。
超声引导下淋巴结穿刺活检术中
术中超声实时监测图像
超声介入即在超声引导下进行一系列的有创操作,包括:肿物的穿刺活检、胸腹腔穿刺置管等。
优点:
(1)在于能够实时监测穿刺针的方向及进针路径,能够准确地避开大血管及危险脏器结构;
(2)能够尽量减少或避免术后的出血及并发症的发生。
术前超声造影作用:
(1)可以判断肿物性质,有利于对肿物良恶性的鉴别。
(2)可以评估肿物的坏死区域及范围,指导穿刺路径及穿刺部位,提高了取材的阳性率,提升了诊断的检出率与准确率。
我院超声医学科近年来,一直致力于超声介入方面的研究,并派出多名医师前往省内知名医院进行介入知识的进修学习,也先后成功独立开展了多例介入操作,包括:淋巴结穿刺活检、囊肿硬化治疗等。超声介入的准确性及安全性不言而喻。我科也将不断精进技术,努力为患者提供更安全优质的服务。
目前我科已开展:各部位的超声引导下穿刺活检术。
超声医学科介入超声诊疗流程:
1、门诊病人:到超声医学科检查评估-可行介入超声诊疗患者-排除禁忌症后完善血常规、凝血四项等检查-预约手术时间-术前谈话、签署知情同意书-术前缴费-行介入超声诊疗操作-术后观察半小时一无特殊,交代术后注意事项-离院。
2、住院病人:住院部开具超声申请单并致电我科预约。
专家简介
高兴
广东省人民医院河源医院超声医学科副主任、副主任医师
社会学术任职:河源市医学会超声分会副主任委员;广东省基层医药学会超声诊疗专业委员会常委;广东省健康管理会超声医学专业委员会委员。
从事超声诊断工作20年来,在妇科疑难病例、产科复杂胎儿畸形,心血管、超声造影诊断方面有较丰富的经验。熟悉超声引导下穿刺活检、置管引流、硬化治疗等。主持及参与多项市级科研立项,发表论文多篇。
门诊时间:周一至周五全天
陈钦
广东省人民医院河源医院超声医学科主治医师
2015年毕业于贵州医科大学医学影像专业;参加工作7年余,于2019年至中山大学第三医院进修超声介入与造影;能熟练行肝脏、甲状腺等脏器超声造影检查;能独立熟练行腹腔积液、胸腔积液穿刺引流,超声引导下PTCD术、PTGD术,颈内静脉、腋静脉、股静脉穿刺置管;肝肿瘤、腹腔肿瘤等穿刺活检;肝肾囊肿、甲状腺囊肿等硬化治疗;熟练掌握肝肿瘤、甲状腺肿瘤等超声引导下消融治疗;于2016年评为本院优秀住院医师,于2022年评为先进个人;参与发表论文两篇。
门诊时间:周一至周五全天
陈俏伟
广东省人民医院河源医院超声医学科医师
2016年毕业于广东医科大学超声影像专业;从事超声诊断工作六年余。于2022年—2023年在中山大学附属第八医院进修超声介入与造影技术,于2023年参加过国家卫健委举办的“肿瘤微创介入专项能力培训班”。熟练掌握肝胆胰脾、浅表器官(甲状腺、乳腺、淋巴结)、肾脏、妇科等超声造影检查及活检穿刺;熟练行胸腹腔穿刺置管引流、深静脉置管、经皮经肝胆管穿刺及胆囊穿刺术、囊肿抽液及硬化治疗。熟练掌握超声引导下肿瘤消融治疗。2017年评为“优秀住院医师”。参与发表论文一篇。
门诊时间:周一至周五全天
图/文 陈俏伟 高兴







