栏目分类
新闻中心
小腔镜大神通!胸外科在胸腔镜辅助下成功摘除肺部巨大肿瘤
来源: 发布时间:2023/5/17 作者:彭勇 阅读数:5937
今年3月,我院胸外科成功为一名患者实施了胸腔镜辅助下右上肺巨大肿瘤切除术。本次手术难度极高,由于肿瘤体积巨大,并且暂未确定肿瘤为良性还是恶性,因此又手术增加了许多未知的风险。胸外科团队高度重视,在周密的准备下成功进行了手术,目前患者已经痊愈出院。
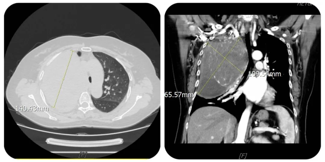
胸部增强CT检查是右上肺巨大肿瘤
三个月前,这名中年女性患者出现了右侧胸痛的情况,在当地医院进行了保守治疗,但效果很不理想。为了完善相应检查和治疗,患者就诊于我院胸外科门诊,张广云主任接诊,详细询问了患者的情况并立即安排相应检查,最终在胸部CT中发现该患者的右上肺有一个非常大的肿瘤,张主任立即建议患者住院手术治疗。
张广云主任为患者施行手术
入院后胸外科再次为患者进行了更详细的检查,增强CT结果显示这名患者的肺部不仅有这个巨大的肿瘤,而且已经出现了支气管狭窄、肺叶不张和胸腔积液等复杂情况,最关键的是需要立即确认这个巨大肿瘤是良性还是恶性的。为此,张主任专门组织了疑难病例讨论,大家一致认为患者右侧胸腔巨大占位,结合穿刺病理,考虑孤立性纤维肿瘤可能性大。但CT影像提示:动脉期可见病灶包绕右上肺动脉,胸膜增厚,不排除恶性肿瘤可能。如果是恶性肿瘤,可能因粘连严重导致胸壁甚至膈肌缺损大,应考虑胸壁、膈肌缺损修补问题,手术难度极大,和患者及家属充分沟通后,决定在全麻下行胸腔镜辅助小切口右上肺肿物切除术。
在胸腔镜的辅助下,张主任顺利分离了肿瘤与肺组织和胸壁的粘连,并完整切下了肿块,肿块约12cm大小,并最终判定为孤立性纤维性肿瘤,排除了恶性肿瘤的情况。
术后患者胸部疼痛症状已明显缓解。术后1天已拔管并下床活动,1周后就痊愈出院了。患者及家属高度赞扬了张主任高超精湛的技术及崇高的医德,对胸外科医疗团队的紧密合作精神表示赞赏,对胸外科医护人员的精心医护及悉心照顾表示感谢。
什么是孤立性纤维瘤
该如何治疗
孤立性纤维瘤,为临床上一种罕见的间叶源性肿瘤,肿瘤多为胸膜紧邻或相交,界限清楚的孤立性肿块,肿块大小不一,临床表现及体征常无症状或症状不明显,肿瘤增大后会引起咳嗽、胸闷、气促、呼吸困难等胸腔压迫症状,偶尔还会伴有发热等不适,甚至有的患者会出现肥大性骨关节病、杵状指、严重性低血糖等伴瘤综合征;而以上症状与肿瘤体积大小成正相关关系,即肿瘤越大,症状越明显。目前为止,确诊孤立性纤维瘤需行病理活检及免疫组化,临床诊断上需与恶性胸膜间皮瘤、后纵隔神经源性肿瘤、前纵隔甲状腺肿瘤及畸胎瘤相鉴别;而完整根治性手术切除瘤体是孤立性纤维瘤最佳的治疗方式,同时也是首选的治疗方式,对于临床预后的评估也同样具有重要意义。临床研究表明,孤立性纤维瘤术后复发及远处转移、淋巴结转移的几率小,远期生存率长,绝大多数患者术后预后良好,但仍然有10%左右的病人属于恶性或潜在恶性,故术后随访不可或缺。
专家简介
张广云
广东省人民医院河源医院胸外科和乳腺外科主任、主任医师
本科学历,毕业于中山医科大学临床医学专业,省医师学会胸外科学会常委,省医学会委员,市医学会乳腺病分会主委,省乳腺外科中西医结合分会常委,市医学会肿瘤学分会常委,河源民主促进会第四支部主委。曾在中山大学肿瘤医院胸外科进修一年,广东省人民医院心研所进修心外科半年。擅长胸腔镜下纵隔肿瘤、肺癌、肺结节、漏斗胸、手足多汗症微创手术、食管癌手术及乳腺癌手术为主的综合治疗。
门诊时间:每周一全天




