栏目分类
新闻中心
超声医学科成功独立开展肾囊肿超声介入治疗
来源: 发布时间:2023/5/22 作者:诸建梅 陈钦 高兴 阅读数:6407
近日,我院超声医学科介入团队成功独立完成了超声引导下经皮肾囊肿穿刺硬化治疗。此前该手术均由临床科室与超声医学科合作完成,此次手术超声科介入团队打破了先前的技术瓶颈,独立完成该手术,标志着我院超声介入诊疗迈上了新的台阶。
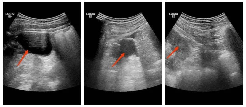
高兴副主任医师、陈钦主治医师进行右肾囊肿经皮肾穿刺抽液硬化治疗
患者,朱XX,男,在外院体检时,超声提示发现右肾多发囊肿,最大直径大于5cm,急需手术治疗。为此该患者专程来我院就诊,经超声医学科介入团队陈钦主治医师会诊,建议患者先完善检查,判断囊肿分级,我院超声医学科高兴副主任医师、陈钦主治医师带领的超声介入团队认真研判,确认患者可进行超声引导下经皮肾囊肿穿刺硬化治疗。手术过程仅用了15分钟便顺利完成,术后复查囊肿暂时已闭合,患者术后恢复良好,对我院治疗效果非常满意。
上图箭头可示术中右肾囊肿已消失
什么是肝肾囊肿
肝、肾囊肿是临床常见病,多数较小的囊肿(<5cm)无症状,发病慢,无需临床治疗,每年复查一次超声即可。若囊肿较大,有症状如局部胀痛不适且不断增大者,则应治疗。
超声引导下穿刺抽液硬化治疗
的优点是什么
临床常规是外科手术治疗,多为囊肿开窗引流术,难以完全消除囊肿壁的分泌作用,复发率高、创伤大。超声引导下穿刺抽液硬化治疗肝、肾囊肿具有操作简单、创伤小、疗效好,并发症少等突出特点、已成为临床首选的治疗方法。硬化治疗使囊腔缩小或闭合,从而达到临床治愈目的。除此之外,超声引导下穿刺抽液硬化治疗手术时间短,术后仅需留院观察30分钟即可出院,大大缩短了患者的治疗时长,为广大患者提供了更方便的治疗选择。
目前超声医学科介入超声开展的项目
超声医学科介入超声诊疗流程
1.门诊病人:到超声医学科检查评估-可行介入超声诊疗患者-完善血常规、凝血四项等检查排除禁忌症-预约手术时间-术前谈话、签署知情同意书-术前缴费(部分因术中不确定性可术后加收)-行介入超声治疗-术后观察半小时-无特殊,交代术后注意事项-离院。
2.住院病人:住院部开具超声申请单并致电我科预约。
专家简介
高兴
广东省人民医院河源医院超声医学科副主任、副主任医师
社会学术任职:河源市医学会超声分会副主任委员;广东省基层医药学会超声诊疗专业委员会常委;广东省健康管理会超声医学专业委员会委员。
从事超声诊断工作20年来,在妇科疑难病例、产科复杂胎儿畸形,心血管、超声造影诊断方面有较丰富的经验。熟悉超声引导下穿刺活检、置管引流、硬化治疗等。主持及参与多项市级科研立项,发表论文多篇。
门诊时间:周一至周五全天
陈钦
广东省人民医院河源医院超声医学科主治医师
2015年毕业于贵州医科大学医学影像专业;参加工作7年余,于2019年至中山大学第三医院进修超声介入与造影;能熟练行肝脏、甲状腺等脏器超声造影检查;能独立熟练行腹腔积液、胸腔积液穿刺引流,超声引导下PTCD术、PTGD术,颈内静脉、腋静脉、股静脉穿刺置管;肝肿瘤、腹腔肿瘤等穿刺活检;肝肾囊肿、甲状腺囊肿等硬化治疗;熟练掌握肝肿瘤、甲状腺肿瘤等超声引导下消融治疗;于2016年评为本院优秀住院医师,于2022年评为先进个人;参与发表论文两篇。
门诊时间:周一至周五全天
陈俏伟
广东省人民医院河源医院超声医学科医师
2016年毕业于广东医科大学超声影像专业;从事超声诊断工作六年余。于2022年-2023年在中山大学附属第八医院进修超声介入与造影技术,于2023年参加过国家卫健委举办的“肿瘤微创介入专项能力培训班”。熟练掌握肝胆胰脾、浅表器官(甲状腺、乳腺、淋巴结)、肾脏、妇科等超声造影检查及活检穿刺;熟练行胸腹腔穿刺置管引流、深静脉置管、经皮经肝胆管穿刺及胆囊穿刺术、囊肿抽液及硬化治疗。熟练掌握超声引导下肿瘤消融治疗。于2017年评为“优秀住院医师”。参与发表论文一篇。
门诊时间:周一至周五全天








